| include ("../../include/busok_leftmenu03.php"); ?> |
|
| HOME > Áø·á°ú/ÀÇ·áÁø¼Ò°³ > Áø·á°ú/ÀÇ·áÁø |
 |
| |
 |
|
| |
|
|
| |
|
|
| |
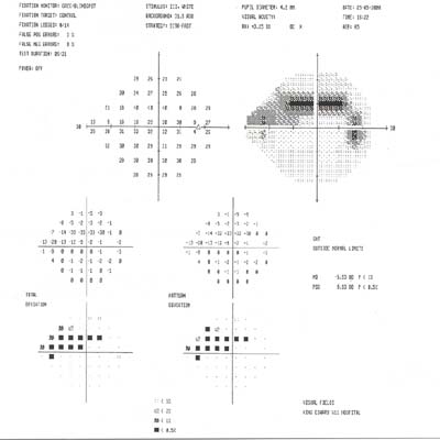
³ì³»Àå |
|
| Ãâó : ¾È°ú - °ûÇü¿ì ±³¼ö ÃÖÁ¾¼öÁ¤ : 2004-11-16 ÀÔ·Â : 2004-11-16 |
| |
|
|
³ì³»ÀåÀ̶õ?
¿ì¸® ´«ÀÌ Á¤»óÀûÀÎ
±¸Á¶¿Í ±â´ÉÀ» À¯ÁöÇϱâ À§Çؼ´Â ÀÏÁ¤ÇÑ
´« ¼ÓÀÇ ¾Ð·Â Áï, ¾È¾ÐÀÌ ÇÊ¿äÇÕ´Ï´Ù.
´«Àº ¿µ¾çºÐÀÌ ÀÖ´Â ¹°(¹æ¼ö)·Î ä¿öÁ®
Àִµ¥ ¾È¾ÐÀº ÀÌ ¹æ¼öÀÇ ¾ç¿¡ ÀÇÇØ °áÁ¤µÇ¸ç
¹æ¼öÀÇ »ý¼º°ú ¹èÃâÀÇ ±ÕÇü¿¡ ÀÌ»óÀÌ »ý°Ü
¹æ¼öÀÇ ¾çÀÌ ¸¹¾ÆÁö¸é ¾È¾ÐÀÌ ³ô¾ÆÁö°Ô
µË´Ï´Ù.
³ì³»ÀåÀ̶õ
´« ¾ÈÀÇ ¾Ð·Â, Áï ¾È¾ÐÀÌ ³ôÀº »óÅÂÀ̸ç
ÀÌ ³ô¾ÆÁø ¾È¾Ð¿¡ ÀÇÇØ ½Ã½Å°æÀÌ ´·Á¼
¼Õ»óÀ» ¹Þ°í ±× °á°ú ½Ã¾ß°¡ Á¼¾ÆÁö°Å³ª
º¯È¸¦ ÃÊ·¡ÇÏ´Â ÁúȯÀÔ´Ï´Ù. ³ì³»ÀåÀº
´ëºÎºÐ ȯÀÚ ÀÚ½ÅÀº Àß ´À³¢Áö ¸øÇÏ´Â
°æ¿ì°¡ ¸¹°í, ¼¼È÷ ÁøÇàµÇ¾î ½Ç¸í¿¡
µµ´ÞÇÏ°Ô µÇ¹Ç·Î Áö¼ÓÀûÀÎ °Ë¾È°ú Ä¡·á°¡
ÇÊ¿äÇÑ ¹«¼¿î º´ÀÔ´Ï´Ù. ¿ì¸®³ª¶ó¸¦ ºñ·ÔÇÏ¿©
±¸¹Ì¿¡¼µµ ³ì³»ÀåÀº ½Ç¸í¿øÀÎÀÇ 3À§ À̳»¿¡
Æ÷ÇԵǸç ÀüüÀα¸ÀÇ ¾à 0.5-1.2 %Á¤µµ°¡
³ì³»Àå ȯÀÚ¶ó°í ÇÕ´Ï´Ù. ¶ÇÇÑ ³ì³»ÀåÀÇ
Á¶±â¹ß°ß ¹× Á¶±âÄ¡·á°¡ ¿©·¯ºÐÀÇ ½Ã·ÂÀ»
À¯Áö½ÃÄÑ ¾ÕÀ¸·ÎÀÇ »ýȰÀ» ¿øÈ°È÷ Çϵµ·Ï
Çϴµ¥ ¸Å¿ì Áß¿äÇÑ °ÍÀÔ´Ï´Ù.
³ì³»ÀåÀÇ
Áõ»ó
³ì³»ÀåÀÇ ÀÚ°¢Áõ»óÀ¸·Î´Â
´ÙÀ½°ú °°Àº °ÍµéÀÌ ÀÖ½À´Ï´Ù.
1.
½Ã·ÂÀÌ ÀúÇÏµÈ °Í °°Àº ´À³¦ÀÌ ÀÖ´Ù.
2.
¸Ó¸®°¡ ¹«°Ì°Å³ª ¾ÆÇÁ´Ù.(µÎÅë)
3.
±âºÐÀÌ ¾ÈÁÁ°í , ¿À½É ¹× ±¸ÅäÁõ¼¼°¡ ÀÖ´Ù.
4. ¾î±ú°¡ °á¸°´Ù.
5. ºÒºûÀ»
º¸¸é ±× ÁÖÀ§¿¡ ¹«Áö°³ ºñ½ÁÇÑ °ÍÀÌ º¸ÀδÙ.
6. ´«ÀÌ ¹«°Ì°í ÇǰïÀ» ´À³¢±â ½±´Ù.
7. ´«ÀÌ ¾ÆÇÁ´Ù.
8. ´«¿¡ À̹°ÁúÀÌ
µé¾î°£ µíÇÑ ´À³¦ÀÌ ÀÖ´Ù. (À̹°°¨)
9.
´«ÀÌ È帮´Ù.
³ì³»ÀåÀÇ
¿øÀÎ
³ì³»ÀåÀº ¾îµÎ¿î ½Ç³»¿¡¼
µ¶¼¸¦ ¸¹ÀÌ ÇѴٰųª, ºÎÀûÀýÇÑ ¿µ¾ç
¼·Ãë µîÀÇ ÀÏ»ó »ýȰ¾ç½Ä¿¡¼ ±âÀεǴÂ
°ÍÀÌ ¾Æ´Õ´Ï´Ù. ¶ÇÇÑ Àü¿°µÇÁöµµ ¾Ê°í
»ý¸íÀ» À§Çù¹ÞÁöµµ ¾ÊÁö¸¸ ´ç´¢º´¼º ¸Á¸·Áõ°ú
´õºÒ¾î °¡Àå ÈçÈ÷ ½Ç¸íÀ» ÀÏÀ¸Å°´Â ¹«¼¿î
¾ÈÁúȯÀÔ´Ï´Ù. ´õ¿íÀÌ ÀÌ·¯ÇÑ ³ì³»ÀåÀº
Çѹø ¹ßº´µÇ¸é ÀÌ¹Ì ¼Õ»óµÈ ½Ã½Å°æÀÌ ´Ù½Ã
º¹±¸µÇÁö ¸øÇϹǷΠÁ¶±â Áø´Ü°ú Á¶±â Ä¡·á°¡
ƯÈ÷ Áß¿äÇÕ´Ï´Ù.
³ì³»ÀåÀÇ
Áø´Ü
³ì³»ÀåÀ» Á¶±â¿¡ Áø´ÜÇÒ ¼ö
ÀÖ´Â ¹æ¹ýÀ¸·Î´Â ¸ÕÀú ¾È¾ÐÀ» ÃøÁ¤ÇÏ¿©
°Ë¾È°æÀ¸·Î ´«¼ÓÀÇ ½Ã½Å°æÀ» °üÂûÇÏ¿©
³ì³»ÀåÀÌ ÀÇ½ÉµÇ¸é ½Ã¾ß°Ë»ç¸¦ ÅëÇÏ¿©
³ì³»ÀåÀ» Áø´ÜÇÏ°Ô µË´Ï´Ù.
´ÜÁö
¾È¾ÐÀÌ ³ô´ÙÇÏ¿© ¸ðµÎ ³ì³»ÀåÀº ¾Æ´Ï¸ç
½Ã¾ß°Ë»ç¿¡¼ Á¤»óÀ̸é À̸¦ °í¾È¾ÐÁõÀ̶óÇϰí,
ÀÌ ¶§´Â Á¤±âÀûÀ¸·Î ½Ã¾ß°Ë»ç¸¦ ÇÏ¿© ³ì³»ÀåÀ¸·Î
ÁøÇàÇÏ´ÂÁö¸¦ °æ°ú °üÂûÇÏ°í ¸¸¾à ³ì³»ÀåÀ¸·Î
ÁøÇàµÇ¸é ÀÌ ¶§ºÎÅÍ ¾È¾ÐÇϰÁ¦¸¦ Á¡¾ÈÇÏ¿©
¾È¾ÐÀ» Á¶ÀýÇÏ°Ô µË´Ï´Ù.

Á¤»ó
½Ã½Å°æ ³ì³»Àå
ȯÀÚÀÇ ½Ã½Å°æ

³ì³»Àå
ȯÀÚÀÇ ½Ã¾ßº¯È (°ËÀººÎºÐÀÌ ½Ã¾ß°á¼Õ
ºÎÀ§)
³ì³»ÀåÀÇ
Ä¡·á
³ì³»Àå Ä¡·áÀÇ ¸ñÀûÀº ³ì³»ÀåÀ»
Ä¡À¯ÇÏ´Â °ÍÀÌ ¾Æ´Ï°í, ¼Õ»ó ÈÄ ³²Àº ½Ã
±â´ÉÀ» Àß À¯Áö½ÃÄÑ ½Ç¸íÀ¸·ÎÀÇ ÁøÇàÀ»
¸·´Â °ÍÀÔ´Ï´Ù.
³ì³»Àå
Ä¡·á´Â ȯÀÚµéÀÇ ´«»óÅ¿¡ µû¶ó¼ ´Ù¸£Áö¸¸
ÀϹÝÀûÀ¸·Î ¾à¹°Ä¡·á, ·¹ÀÌÀúÄ¡·á, ¼ö¼úÀû
¹æ¹ý µîÀÌ ÀÖÀ¸¸ç ¶ÇÇÑ ÀÌµé ¹æ¹ýÀ» °°ÀÌ
½ÃÇàÇÏ´Â °æ¿ìµµ ¸¹½À´Ï´Ù. ³ì³»ÀåÀº ¾à¹°Ä¡·á°¡
°¡Àå ¸¹ÀÌ »ç¿ëµÇ´Â ¹æ¹ýÀ¸·Î Á¡¾È¾à°ú
³»º¹¾àÀÌ Àִµ¥ ÀÌ·¯ÇÑ ¾àÀº ¹æ¼öÀÇ ´«À¸·ÎºÎÅÍ
¹èÃâÀ» µ½°Å³ª ¹æ¼öÀÇ »ý¼ºÀ» °¨¼Ò½ÃÄÑ
¾È¾ÐÀ» ¶³¾î¶ß¸®°Ô µË´Ï´Ù. ÀÌ·¯ÇÑ ¾à¹°Ä¡·á´Â
±ÔÄ¢ÀûÀ¸·Î Áö¼ÓµÇ¾î¾ß È¿°úÀûÀÔ´Ï´Ù.
Ä¡·á¸¦ ÇØ¼ Áõ»óÀÌ ÀÏ´Ü ¾ÈÁ¤µÇ¾ú´Ù°í
ÇÏ´õ¶óµµ Ä¡·á¸¦ ÁßÁöÇÏ¸é ´Ù½Ã ³ªºüÁú
¼ö ÀÖÀ¸¸ç, ³ì³»ÀåÀº °íÇ÷¾ÐÀ̳ª ´ç´¢º´°ú
°°ÀÌ ÀÏ»ýµ¿¾È °ü¸®ÇÏ´Â ÁúȯÀÔ´Ï´Ù. ¸¸¾à
¾à¹°¿ä¹ýÀÌ ³ì³»ÀåÀ» Àß Á¶ÀýÇÒ ¼ö ¾ø´Â
°æ¿ì¿¡ ¼ö¼úÀÌ ÇÊ¿äÇÒ ¼öµµ ÀÖ½À´Ï´Ù.
¾î¶² °æ¿ì¿¡´Â Àý°³¾øÀÌ ·¹ÀÌÀú¸¦ ÀÌ¿ëÇÏ¿©
ÇàÇØÁú ¼ö ÀÖ°í ¾î¶² °æ¿ì¿¡´Â »õ·Î¿î
¹èÃâ·Î¸¦ ¸¸µé¾îÁÖ´Â ¼ö¼úÀÌ ÇàÇØÁú ¼ö
ÀÖ½À´Ï´Ù.
³ì³»ÀåÀÇ
Á¤±â°ËÁø
³ì³»ÀåÀ¸·Î ÀÏ´Ü ³ªºüÁø
½Ã·Â°ú Á¼¾ÆÁø ½Ã¾ß´Â ȸº¹µÇ±â°¡ ºÒ°¡´ÉÇϱâ
¶§¹®¿¡ ³ì³»Àå ¹ß°ß ´ç½ÃÀÇ ½Ã·Â°ú ½Ã¾ß¸¦
Çö»óÀ¯ÁöÇÏ´Â ¹æ¹ýÀÌ ÃÖ¼±ÀÇ Ä¡·á¸ñÀûÀ̹ǷÎ
³ì³»ÀåÀº Á¶±â¹ß°ß°ú Á¶±âÄ¡·á°¡ °¡Àå
Áß¿äÇϹǷΠ40¼¼ ÀÌ»óÀÌ µÇ¸é ¸Å 6°³¿ù¸¶´Ù
¾È°ú¿¡¼ Á¤±â°ËÁø°ú ¾È¾Ðüũ¸¦ ¹Þ´Â
°ÍÀÌ ÁÁ½À´Ï´Ù. |
|
|
|
| |
|
|
| |
¹é³»Àå |
|
| Ãâó : ¾È°ú - Áø°æÇö ±³¼ö ÃÖÁ¾¼öÁ¤ : 2005-02-12 ÀÔ·Â : 2005-02-12 |
| |
|
|
¹é³»ÀåÀ̶õ?
ÇѸ¶µð·Î
¸»ÇÏ¸é ´« ¼ÓÀÇ ¼öÁ¤Ã¼°¡ ȥŹÀÌ µÇ¾î
»ý±â´Â °ÍÀÔ´Ï´Ù.
¼öÁ¤Ã¼´Â
Ä«¸Þ¶óÀÇ ·»Áî¿¡ ÇØ´çÇÏ´Â ºÎÀ§·Î ¹°Ã¼¸¦
±¼Àý½ÃÄÑ Çʸ§¿¡ ÇØ´çÇÏ´Â ¸Á¸·¿¡ »óÀ»
¸Î°Ô ÇØÁÝ´Ï´Ù. Ä«¸Þ¶óÀÇ ·»Áî°¡ È帮¸é
»çÁøÀÌ Èñ¹ÌÇÏ°Ô ÂïÈ÷µíÀÌ ¼öÁ¤Ã¼°¡ Èå·ÁÁö¸é
¹°Ã¼°¡ Èñ¹ÌÇÏ°Ô º¸ÀÌ°Ô µÇ´Âµ¥ À̿Ͱ°ÀÌ
¼öÁ¤Ã¼°¡ Èå·ÁÁö´Â°ÍÀ» '¹é³»Àå'À̶ó ÇÕ´Ï´Ù.



½ÇÁ¦
¹é³»Àå ȯÀÚÀÇ ´«
¹é³»ÀåÀÇ
¿øÀÎ
¹é³»ÀåÀÌ ¹ß»ýÇÒ ¼ö ÀÖ´Â
¿äÀÎÀº ´ÙÀ½°ú °°½À´Ï´Ù.
-
65¼¼ ÀÌ»óÀÇ °í·É
- °¡Á·Áß
¹é³»Àå ȯÀÚ°¡ ÀÖÀ» ¶§
-
´«À» ´ÙÃÆÀ» ¶§
- ´ç´¢°°Àº
Àü½Å Áúȯ
- ½ºÅ×·ÎÀ̵带
Àå±â°£ Á¡¾ÈÇϰųª º¹¿ëÇßÀ» ¶§
-
ÇÞºû¿¡ Àå±â°£ ³ëÃâµÇ¾úÀ» ¶§
-
´« ¼ö¼ú ÈÄ ±× ¿Ü¿¡ ¼±Ãµ¼º ¹é³»Àå(»ê¸ðÀÇ
dzÁø °¨¿°, ´Ù¿îÁõÈıº) µî
¹é³»ÀåÀÇ
Áõ»ó
½Ã·ÂÀÌ ÀúÇÏµÇ¾î »ç¹°ÀÌ »Ñ¿¸°Ô
º¸ÀÌ¸ç ´«¿¡ ¹«¾ð°¡ ³¢¾îÀÖ´Â °Í °°ÀÌ
´À²¸Áý´Ï´Ù.
- ºûÀÌ ÆÛÁ®
º¸À̰ųª ÇÞºû¿¡ ´« ¶ß±â Èûµë
-
¾È°æ µ¾¼ö°¡ ÀÚÁÖ º¯ÇÔ
-
ÇÑ ÂÊ ´«À¸·Î º¼ ¶§ »ç¹°ÀÌ °ãÃÄ º¸ÀÓ
-
ÇÏ¾á »ö±òÀÌ ´©·¸°Ô º¯»öµÇ¾î º¸ÀÓ
-
°£È¤, ¹é³»ÀåÀÌ ³ì³»ÀåÀ¸·Î ¹ßÀüÇϴµ¥
ȥŹµÈ ¼öÁ¤Ã¼°¡ ÆØÃ¢µÇ¾î µ¿°øÀ» ¸·°Ô
µÊÀ¸·Î¼ ¾È¾ÐÀÌ ¿Ã¶ó ¾ÈÅë, µÎÅë, ÃæÇ÷,
½Ã·ÂÀå¾Ö°¡ À¯¹ßµÇ°í ±¸Åä±îÁö »ý°Ü ³»°úÀûÀÎ
ÁúȯÀ¸·Î ¿ÀÀÎÇÒ ¼öµµ ÀÖ½À´Ï´Ù.
¹é³»ÀåÀÇ
Á¾·ù
¹é³»ÀåÀº ¼±Ãµ¼º°ú ÈÄõ¼ºÀ¸·Î
³ª´ ¼ö Àִµ¥ ´ëºÎºÐÀº ÈÄõ¼ºÀ¸·Î ³ªÀ̰¡
µé¸é¼ ³ëÈÇö»óÀÇ ÀÏȯÀ¸·Î ¹ß»ýÇÏ´Â
³ëÀμº ¹é³»ÀåÀÔ´Ï´Ù.
ÀÌ·¯ÇÑ
³ëÀμº ¹é³»ÀåÀº ³ªÀ̰¡ µé¸é¼ ¹ßº´À²ÀÌ
³ô¾ÆÁ® 60´ë¿¡´Â 50%, 70´ë¿¡´Â 70%, 80´ë¿¡´Â
´ëºÎºÐ¿¡¼ ¹ß»ýÇÏÁö¸¸ ÃÖ±Ù¿¡´Â 30-40´ë
ûÀå³â¿¡°Ôµµ µå¹°Áö ¾Ê°Ô ¹ß»ýÇϰí ÀÖ½À´Ï´Ù.
±×¹Û¿¡
´ç´¢º´À̳ª ¾ÆÅäÇǼº ÇǺο° °°Àº Àü½ÅÀûÀÎ
Áúȯ¿¡¼µµ ¹ßº´À²ÀÌ ³ôÀ¸¸ç À̿ܿ¡µµ
¿Ü»ó, ½ºÅ×·ÎÀ̵å Á¦Àç Àå±â»ç¿ë µîÀ¸·Îµµ
¹ß»ýÀ²À» ³ôÀÌ´Â ¿øÀÎÀÔ´Ï´Ù.
¹é³»ÀåÀÇ
Ä¡·á
¹é³»ÀåÀÇ Ãʱ⿡´Â ¾à¹°Ä¡·á·Î
¹é³»ÀåÀÇ ÁøÇà¼Óµµ¸¦ ´õµð°Ô ÇÒ ¼ö ÀÖÁö¸¸
È£Àü½Ãų ¼ö´Â ¾ø½À´Ï´Ù. ±Ùº»ÀûÀÎ Ä¡·á·Î´Â
ȥŹÇÑ ¼öÁ¤Ã¼¸¦ Á¦°ÅÇϰí Àΰø¼öÁ¤Ã¼·Î
´ëüÇÏ´Â °ÍÀÔ´Ï´Ù.
1.
¾à¹°¿ä¹ý
ÀüºÎÅÍ Áö±Ý±îÁö ¿©·¯°¡Áö
¾àÁ¦°¡ »ç¿ëµÇ¾î ¿Ô°í ÇöÀçµµ »ç¿ëµÇ±âµµÇϳª
¹é³»ÀåÀ̶õ °æ°ú°¡ ±æ°í ÁøÇà¼Óµµ°¡ »ç¶÷¿¡
µû¶ó ´Ù¸£°í ¶Ç ÁøÇàÀÌ Á¤ÁöµÇ´Â ¼öµµ
Àֱ⠶§¹®¿¡ °ú¿¬ ¾î¶² ¾àÀÌ ¹é³»ÀåÀÇ
Ä¡·á¿¡ È¿°ú°¡ ÀÖ´Â³Ä ÆÇ´ÜÇÏ´Â °ÍÀº ¾î·Á¿î
ÀÏÀÔ´Ï´Ù. ÇÏÁö¸¸ ´Ù¼öÀÇ Àǻ簡 Ãʱ⿡´Â
¾à¹° ¿ä¹ýÀ» ½ÃµµÇϸç ÀÌ ¹æ¹ýÀÌ ´Ù¼Ò
È¿°ú°¡ ÀÖ´Ù´Â ÆÇ´Ü¾Æ·¡ »ç¿ëµÇ´Â °ÍÀÌÁö
°è¼Ó ÁøÇàµÇ´Â ¹é³»ÀåÀ» ±Ùº»ÀûÀ¸·Î ¸·Áö´Â
¸øÇÕ´Ï´Ù. ¾à¹°À» ¾´ ÈÄ¿¡µµ ¹é³»ÀåÀÌ
ÁøÇàÇÏ¸é °á±¹Àº ¼ö¼ú·Î Ä¡·áÇÏ°Ô µË´Ï´Ù.
2.
¼ö¼ú¿ä¹ý
1) °ú°ÅÀÇ ¼ö¼ú¹æ¹ý
ȥʵÈ
¼öÁ¤Ã¼¸¦ Á¦°ÅÇÏ´Â ¹æ¹ýÀ¸·Î °ú°Å¿¡´Â
¼ö¼ú½Ã ´«À» ¾à 10mm Á¤µµ Àý°³ÇÏ¿© ¼öÁ¤Ã¼
ÀÚü¸¦ ±×´ë·Î Á¦°ÅÇ߱⠶§¹®¿¡ ¼ö¼ú½Ã°£ÀÌ
¿À·¡ °É·È°í, ¼ö¼úÈÄ ¿°ÁõÀÇ À§Çèµµ°¡
³ô¾Æ 3ÀÏ¿¡¼ 7ÀϱîÁö ÀÔ¿øÇÏ¿© Ç×»ýÁ¦¸¦
Á¤¸ÆÅõ¿©ÇÏ¿©¾ß¸¸ ÇÏ¿´½À´Ï´Ù. ¶ÇÇÑ ½Ã·Âȸº¹µµ
2´Þ ÈÄ¿¡³ª ÃÖ°íÀÇ ½Ã·ÂÀÌ ³ª¿À´Â µî ¿©·¯°¡Áö
ºÒÆíÇÑ Á¡ÀÌ ÀÖ¾ú½À´Ï´Ù.
2)
ÃÖ±ÙÀÇ ¼ö¼ú¹æ¹ý
ÃÖ±ÙÀÇ ÃÊÀ½ÆÄ¸¦ ÀÌ¿ëÇÑ
¹é³»Àå ¼ö¼úÀº 3mm Á¤µµ ´«À» ¹Ì¼¼Àý°³ÇÏ¿©
¼ö¼úÀ» ½ÃÇàÇÏ¿© ¼ö¼ú½Ã ÅëÁõÀÌ ¾àÇϱâ
¶§¹®¿¡, ¾È¾àÀ¸·Î Á¡¾È¸¶Ãë·Îµµ ¼ö¼úÀÌ
°¡´ÉÇÏ°í ¼ö¼úÈÄ ÀÏ»ó»ýȰÀ» ¸øÇÏ´Â Àý´ë¾ÈÁ¤ÀÌ
ÇÊ¿ä ¾øÀ¸¸ç ¼ö¼úÈÄ ¿°Áõºóµµµµ ÃÖ¼Ò·Î
ÁÙÀÏ ¼ö Àֱ⠶§¹®¿¡ Åë¿ø¼ö¼úµµ °¡´ÉÇÕ´Ï´Ù.
´Ù¸¸ ¾ÈÀüÇÑ ¼ö¼ú°ú ȸº¹À» À§Çؼ´Â 1~2ÀÏ
Á¤µµ ÀÔ¿øÄ¡·á°¡ ÇÊ¿äÇϱ⵵ ÇÕ´Ï´Ù.
º»¿ø¿¡¼´Â
ȯÀÚ»óÅÂ¿Í ¿©°ÇÀ» Á¾ÇÕÇÏ¿© ÆÇ´ÜÇÏ¿©
´çÀϼö¼ú ¹× 2ÀÏ ÀÔ¿ø ÈÄ 3Àϰ Åð¿øÇÏ´Â
µÎ°¡Áö ÇÁ·Î±×·¥À» ¸ðµÎ ½ÃÇàÇϰí ÀÖ½À´Ï´Ù.
¡Ø
¼ö¼ú ÈÄ ½Ã·Â
¼ö¼ú ÈÄ ½Ã·Âȸº¹ÀÇ Á¤µµ´Â
¼öÁ¤Ã¼»Ó¸¸ÀÌ ¾Æ´Ï¶ó °¢¸·, À¯¸®Ã¼, ¸Á¸·µî
¿ì¸® ´«ÀÇ ¿©·¯°¡Áö ¿ä¼Ò¿¡ ÀÇÇØ °áÁ¤ÀÌ
µË´Ï´Ù. ¿ì¸®ÀÇ ´«¿¡´Â ¸Åü¶ó ÇÏ¿© ºûÀÌ
Åë°úÇØ¾ß ÇÏ´Â ºÎºÐµéÀÌ Àִµ¥ °¢¸·,
Àü¹æ, ¼öÁ¤Ã¼, ÃÊÀÚü µîÀÌ ÀÌ¿¡ ÇØ´çÇϸç
ÀÌµé ¸Åü¸¦ Åë°úÇÑ ºûÀÌ ¸Á¸·¿¡ Á¤È®ÇÑ
»óÀ» ¸Î¾î¾ß ÇÏ°í ¶ÇÇÑ ½Ã½Å°æÀ» ÅëÇØ
³ú¿¡±îÁö Àü´ÞµÇ¾î ³ú¿¡¼ Á¦´ë·Î ÀÎÁöÇÏ¿©¾ß
ºñ·Î¼Ò Àß º¼ ¼ö ÀÖ°Ô µÇ´Â °ÍÀÔ´Ï´Ù.
¹é³»Àå ¼ö¼úÀº ¼öÁ¤Ã¼¿¡¸¸ ÇØ´çµÇ´Â ¼ö¼úÀ̹ǷÎ
¼öÁ¤Ã¼¿ÜÀÇ ´Ù¸¥ ¿øÀο¡ ÀÇÇÑ ½Ã·ÂÀå¾Ö´Â
¹é³»Àå ¼ö¼ú¸¸À¸·Î´Â ȸº¹µÇÁö ¾Ê½À´Ï´Ù.
¹é³»ÀåÀÌ ½ÉÇÑ °æ¿ì´Â ºûÀÌ µé¾î°¡Áö¾Ê¾Æ
ÃÊÀÚü, ¸Á¸·ÀÌ º¸ÀÌÁö ¾ÊÀ¸¹Ç·Î ¼öÁ¤Ã¼¿ÜÀÇ
´Ù¸¥ ºÎºÐÀÇ ÀÌ»ó À¯¹«¸¦ ¼ö¼úÀü¿¡ ¹ß°ßÇÏÁö
¸øÇÒ °æ¿ìµµ ÀÖ½À´Ï´Ù. |
|
|
|
| |
|
|
| |
´ç´¢º´¸·º´Áõ |
|
| Ãâó : ¾È°ú - À¯½Â¿µ ±³¼ö ÃÖÁ¾¼öÁ¤ : 2003-04-27 ÀÔ·Â : 2003-04-27 |
| |
|
|
´ç´¢¸Á¸·º´ÁõÀ̶õ?
´ç´¢¸Á¸·º´ÁõÀº
´«¿¡ Àå¾Ö¸¦ ÃÊ·¡ÇÏ´Â ´ç´¢º´ÀÇ ÇÕº´ÁõÀ¸·Î¼
¾È±¸ÀÇ ÈĹݺο¡¼ ¸Á¸·¿¡ ¿µ¾çÀ» °ø±ÞÇÏ´Â
Ç÷°üÀÇ È²Æó¿¡ ÀÇÇØ ¹ß»ýÇÕ´Ï´Ù. À̵é
¾àÇØÁø Ç÷°üµéÀº »ïÃâ¹°À̳ª ÇǸ¦ ´©Ãâ½Ã۰í
±¹¼ÒÀûÀÎ È®Àå, ºÎ¼Áö±â ½¬¿î Ç÷°ü½Å»ý
µîÀÇ ÀÌ»óÀ» ³ªÅ¸³À´Ï´Ù.
´ç´¢¸Á¸·º´ÁõÀÌ
³ªÅ¸³ª´Â ºóµµ´Â ¿À·§µ¿¾È ´ç´¢º´À» ¾Î°í
Àִ ȯÀÚ¿¡°Ô¼ ³ô°Ô ³ªÅ¸³³´Ï´Ù. 15³â
ÀÌ»ó ´ç´¢º´À» °¡Áø ȯÀÚÀÇ 60%°¡ ¸Á¸·º´ÁõÀ»
º¸ÀÌ¸ç ¾î¸°À̳ª »çÃá±â¿¡ ´ç´¢º´ÀÌ ÀÖ´Â
°æ¿ì(¾à³â¼º ´ç´¢º´) Á¶±â¿¡ ¸Á¸·º´ÁõÀÇ
ºóµµ°¡ ¸Å¿ì ³ô°Ô ³ªÅ¸³³´Ï´Ù.
´ç´¢¸Á¸·º´ÁõÀÇ
Á¾·ù
1.
ºñÁõ½Ä ´ç´¢¸Á¸·º´Áõ
ÃʱâÀÇ ¸Á¸·º¯È·Î¼
´ç´¢¸Á¸·º´Áõ ȯÀÚÀÇ ¾à 90%°¡ ¿©±â¿¡
ÇØ´çÇÕ´Ï´Ù. ´Ù¾çÇÑ ¸Á¸·Ç÷°üÀÇ ÀÌ»ó¼Ò°ß°ú
ÃâÇ÷, ¸Á¸·ºÎÁ¾ µîÀÌ ³ªÅ¸³ª´Âµ¥ ±×´ë·Î
¹æÄ¡ÇÒ °æ¿ì ´ëºÎºÐ Áõ½Ä¼º ´ç´¢¸Á¸·º´ÁõÀ¸·Î
ÁøÇàÇϹǷΠÁ¤±âÀûÀÎ ÁøÂû°ú ÀûÀýÇÑ ½Ã±â¿¡
·¹ÀÌÀú ±¤ÀÀ°í¼úÀ» ½ÃÇàÇØ¾ß ÇÕ´Ï´Ù.
2.
Áõ½Ä¼º ´ç´¢¸Á¸·º´Áõ
´ç´¢¸Á¸·º´Áõ
ȯÀÚÀÇ ¾à 10%¸¦ Â÷ÁöÇÏ¸ç ¸Á¸·¿¡ ºñÁ¤»óÀûÀÎ
½Å»ýÇ÷°üµéÀÌ ³ªÅ¸³ª Áõ½ÄÇÏ°Ô µÇ´Âµ¥
ÀÌ Ç÷°üµéÀº ½±°Ô ÃâÇ÷À» ÀÏÀ¸Å°°í ¶Ç
±× ÁÖÀ§·Î ¸·µéÀÌ ÀÚ¶ó ¸Á¸·À» Àâ¾Æ´ç°Ü¼
¸Á¸·¹Ú¸®°¡ »ý±â±âµµ ÇÕ´Ï´Ù. ½Å»ýÇ÷°üÀÇ
ÃâÇ÷·Î À¯¸®Ã¼ ÃâÇ÷ÀÌ »ý±â¸é ´«¾Õ¿¡ ¶°´Ù´Ï´Â
±×¸²ÀÚ°¡ »ý±â°Å³ª ´«ÀÌ ¾ÆÁÖ º¸ÀÌÁö ¾Ê´Â
Áõ»óÀÌ ³ªÅ¸³ª°í, ÃâÇ÷µÈ ÇÇ´Â ÀÚ¿¬È÷
Èí¼öµÇ±âµµ ÇÏÁö¸¸ Èí¼öµÇÁö ¾Ê°í ¿À·¡
°¡¸é ¸Á¸·¹Ú¸® µî ´õ Å« ÀÌ»óÀ» À¯¹ßÇϱ⵵
ÇÕ´Ï´Ù. Áõ½Ä¼º ´ç´¢¸Á¸·º´ÁõÀ¸·Î ÀÎÇÑ
ÇÕº´ÁõÀÎ °ßÀθÁ¸·¹Ú¸®³ª ¿À·¡µÈ ÃâÇ÷ÀÇ
°æ¿ì¿¡´Â À¯¸®Ã¼ÀýÁ¦¼úÀ» ½ÃÇàÇÕ´Ï´Ù.

ºñÁõ½Ä
´ç´¢¸Á¸·º´Áõ Áõ½Ä¼º
´ç´¢¸Á¸·º´Áõ
´ç´¢¸Á¸·º´ÁõÀÇ
¿øÀÎ ¹× Áõ»ó
´ç´¢¸Á¸·º´ÁõÀº ¸Á¸·¿¡
¿µ¾çÀ» °ø±ÞÇØ ÁÖ´Â ¾ÆÁÖ °¡´Â Ç÷°üµéÀÌ
¸·Çô¼ »ý±â´Â º´ÀÔ´Ï´Ù. Ç÷°üÀÌ ¸·È÷¸é,
¸Á¸·À§¿¡ Çǰ¡ ³ª°Ô µÇ°í, ¸Á¸·ÀÌ º×°í,
¸Á¸·ÀÌ ±¸°ÜÁö´Â ³ª»Û º¯È°¡ ³ªÅ¸³ª°Ô
µÇ´Âµ¥ ÀÌ·¸°Ô µÇ¸é ½É°¢ÇÑ ½Ã·ÂÀå¾Ö°¡
³ªÅ¸³ª°Ô µË´Ï´Ù.
´ç´¢¸Á¸·º´ÁõÀÇ
Áø´Ü
¾È°úÀǻ翡 ÀÇÇÑ ±¤¹üÀ§ÇÑ
¾È°Ë»ç°¡ ´ç´¢¸Á¸·ÁõÀÇ ÁøÇàÀ» ¸·´Â Á¦ÀÏ
ÁÁÀº ¹æ¹ýÀÔ´Ï´Ù. ´ç´¢º´À¸·Î Áø´Ü¹ÞÀº
°æ¿ì ¾È°ú¿¡¼ ¸Á¸·À» °Ë»çÇØ¼ ´ç´¢¸Á¸·º´ÁõÀÌ
ÀÖ´ÂÁö¸¦ È®ÀÎ ¹Þ¾Æ¾ß ÇÕ´Ï´Ù. ¸Á¸·ÁõÀÌ
¾ÆÁ÷ ³ªÅ¸³ªÁö ¾Ê¾ÒÀ¸¸é 6°³¿ù¿¡ Çѹø
Á¤µµ ¸Á¸· °Ë»ç¸¦ ¹Þ´Â °ÍÀÌ ÁÁ½À´Ï´Ù.
ÀÏ´Ü ¸Á¸·ÁõÀÌ ÀÖ´Â °ÍÀ¸·Î Áø´ÜÀ» ¹Þ°ÔµÇ¸é
Á»´õ ÀÚÁÖ, 2 ³»Áö 4°³¿ù¿¡ Çѹø¾¿Àº º´ÀÇ
ÁøÇà¿©ºÎ¸¦ È®ÀÎÇØ¾ß ÇÕ´Ï´Ù. (¾È°Ë»ç°¡
´ç´¢¿Í ´Ù¸¥ ÁúȯÀÇ ¹ß°ßÀ» µµ¿ÍÁֹǷÎ
´ç´¢º´ÀÌ ¾Æ´Ñ »ç¶÷µµ Á¤±âÀûÀÎ °Ë»ç¸¦
ÇØ¾ß ÇÕ´Ï´Ù.)
´ç´¢¸Á¸·º´ÁõÀÇ
Ä¡·á
1.
·¹ÀÌÀú ±¤ÀÀ°í¼ú
·¹ÀÌÀú ±¤ÀÀ°í¼úÀº
ÇöÀçÀÇ ´ç´¢¸Á¸·º´ÁõÀ» ¿ÏÀüÈ÷ Ä¡·áÇѴٴ°¡
½Ã·ÂÀ» ÁÁ°Ô Çϱâ À§ÇØ ½ÃÇàÇÏ´Â °ÍÀÌ
¾Æ´Ï¶ó ¿¹¹æ¸ñÀûÀ¸·Î ½ÃÇàÇÏ´Â °ÍÀÔ´Ï´Ù.
Áï, ºñÁõ½Ä ´ç´¢¸Á¸·º´ÁõÀ» ±×³É ¹æÄ¡ÇÒ
°æ¿ì Áõ½Ä¼º´ç´¢¸Á¸·º´ÁõÀ¸·Î ÁøÇàÇÏ´Â
°æ¿ì°¡ ´ëºÎºÐÀ̰í, ´õ¿í ÁøÇàÇÏ¸é ½Ç¸íÇϰųª
½ÉÇÑ ¾È±¸ÅëÁõÀ» µ¿¹ÝÇÏ´Â ½Å»ýÇ÷°ü³ì³»Àå
µîÀÇ ½É°¢ÇÑ ÇÕº´ÁõÀÌ »ý±æ °¡´É¼ºÀÌ ³ôÀ¸¹Ç·Î
º´ÀÇ ÁøÇàÀ» ¿¹¹æ ȤÀº Áö¿¬½Ã۱â À§ÇØ
½ÃÇàÇϴµ¥, ´ë°³ 1ÁÖ ³»Áö 2ÁÖ °£°ÝÀ¸·Î
ÇÑÂÊ ´«¿¡ 3 - 4ȸ Á¤µµ ½ÃÇàÇÏ°Ô µË´Ï´Ù.
±×·¯³ª ¿ÏÀüÇÑ ¿¹¹æ ¶Ç´Â Áö¿¬Àº È®½ÅÇÒ
¼ö ¾ø°í 1/3 Á¤µµÀÇ È¯ÀÚ¿¡¼´Â Ä¡·áÈÄ¿¡µµ
º´ÀÌ °è¼Ó ÁøÇàÇÒ ¼ö ÀÖÀ¸¹Ç·Î ·¹ÀÌÀú
±¤ÀÀ°í¼ú ½ÃÇà ÈÄ¿¡µµ Á¤±âÀûÀÎ °æ°ú°üÂûÀÌ
ÇÊ¿äÇϸç, °æ¿ì¿¡ µû¶ó Ãß°¡ÀûÀÎ Ä¡·á°¡
ÇÊ¿äÇÒ °æ¿ìµµ ¸¹ÀÌ ÀÖ½À´Ï´Ù.
2.
À¯¸®Ã¼ Àýü¼ú
À¯¸®Ã¼ÃâÇ÷ÀÌ ¼ö°³¿ù
ÀÌ»ó °è¼ÓµÇ°Å³ª ¸Á¸·¹Ú¸®°¡ ÀÖÀ» °æ¿ì
µî¿¡¼´Â À¯¸®Ã¼ÀýÁ¦¼úÀ» ½ÃÇàÇÏ°Ô µË´Ï´Ù.
ÀÌ ¼ö¼úÀº ÀÔ¿øÀ» ÇØ¾ßÇÏ¸ç ½±Áö¾ÊÀº ¼ö¼úÀ̹ǷÎ
¼ö¼ú ÀÚüÀÇ À§Ç輺°ú ½Ã·Âȸº¹ÀÇ Á¤µµ¸¦
Àü¹®ÀÇ»ç¿Í Àß »óÀÇÇÑ ÈÄ °áÁ¤ÇÏ¼Å¾ß ÇÕ´Ï´Ù.
ÀϹÝÀûÀÎ À¯¸®Ã¼¸Á¸·¼ö¼úÀÇ ¿øÄ¢¿¡ µû¶ó
ÇÏ°Ô µÇÁö¸¶, ÀçÃâÇ÷ÀÌ ÀßµÇ°í ´ç´¢¸Á¸·º´ÁõÀ¸·Î
¸Á¸·ÀÇ ±â´ÉÀÌ ¶³¾îÁ® ÀÖ´Â »óÅÂÀ̹ǷÎ
½Ã·Âȸº¹Àº ´Ù¸¥ À¯¸®Ã¼ÀýÁ¦¼úÀÇ °æ¿ì¸¸Å
ÁÁÁö ¾ÊÀ» °æ¿ì°¡ ¸¹À¸¸ç, Àç¼ö¼úÀÌ ÇÊ¿äÇÑ
°æ¿ìµµ ÀÖ°í ¼ö¼úÀÌ ¼º°øÀûÀ̾ú´ø °æ¿ì¶óµµ
¿ª½Ã Æò»ýµ¿¾È Á¤±âÀûÀÎ ¾ÈÀú°Ë»ç¸¦ °è¼Ó
¹Þ¾Æ¾ß ÇÕ´Ï´Ù. |
|
|
|
| |
|
|
| |
¸Á¸·¹Ú¸® |
|
| Ãâó : ¾È°ú - À¯½Â¿µ ±³¼ö ÃÖÁ¾¼öÁ¤ : 2003-05-04 ÀÔ·Â : 2003-05-04 |
| |
|
|
¸Á¸·¹Ú¸®¶õ?
¸Á¸·¹Ú¸®¶õ
¾È±¸ÀÇ ¾ÈÂÊÀ» µ¤°í ÀÖ´Â ¸Á¸·ÃþÀÌ ¾È±¸º®À¸·ÎºÎÅÍ
µé¶ß´Â º´Àû»óŸ¦ ¸»ÇÕ´Ï´Ù. ¸Á¸·Àº ´«ÀÇ
³»º®À» ÀÌ·ç´Âµ¥ ¹Ù±ùÂÊÀÇ ¸Á¸·»ö¼Ò»óÇÇÃþ°ú
¸Æ¶ô¸·¿¡ ºÙ¾îÀÖ½À´Ï´Ù. ¸Á¸·Àº ±× ±â´É»ó
»ö¼Ò»óÇÇ¿Í ºÙ¾îÀÖ¾î¾ß ÇÏÁö¸¸ ¸Á¸·°ú
»ö¼Ò»óÇÇÃþ »çÀÌ´Â ¹ß»ýÇÐÀûÀ¸·Î º¸¸é
ÀáÀçÀûÀÎ °ø°£ÀÌ ÀÖÀ¸¸ç, µû¶ó¼ ½±°Ô
¼·Î ¶³¾îÁú ¼ö ÀÖ½À´Ï´Ù. ÀÌ·¸µí ¾î¶²
¿øÀÎÀ¸·Î ¸Á¸·ÀÌ »ö¼Ò»óÇÇÃþ¿¡¼ ¶³¾îÁö´Â
Áúº´À» ¸Á¸·¹Ú¸®¶ó ÇÕ´Ï´Ù.

¸Á¸·¹Ú¸®
ÃÊÀ½ÆÄ »çÁø
¸Á¸·¹Ú¸®ÀÇ
¿øÀÎ
¸Á¸·¹Ú¸®´Â 10,000¸íÁß 1¸í²Ã·Î
¹ß»ýÇÏ´Â ½É°¢ÇÑ ´«ÀÇ ÁúȯÀÔ´Ï´Ù. ¸Á¸·¹Ú¸®´Â
³ëÈÀÇ °á°ú·Î 40´ë ÈĹݿ¡ Á¾Á¾ ¹ß»ýÇϸç
±Ù½Ã°¡ ½ÉÇÑ »ç¶÷, ¸Á¸·ÀÌ»óÀÇ °¡Á··ÂÀ»
°¡Áø »ç¶÷, ¶Ç´Â ´«¼ö¼úÀ» °æÇèÇÑ »ç¶÷¿¡°Ô¼
Àß ¹ß»ýÇÏ´Â °æÇâÀÌ ÀÖ½À´Ï´Ù. ¾È±¸ÀÇ
¿Ü»ó ¿ª½Ã ¸Á¸·¹Ú¸®¸¦ ÀÏÀ¸Å³ ¼öµµ ÀÖ½À´Ï´Ù.
¸Á¸·¹Ú¸®ÀÇ
Á¾·ù
1.
¿°ø¼º ¸Á¸·¹Ú¸®
¸Á¸·¿¡ ±¸¸ÛÀÌ »ý±â°í
±× ¹ØÀ¸·Î ¾×ü°¡ °íÀÌ°Ô µÇ¾î ¸Á¸·ÀÌ
¶³¾îÁö´Â °ÍÀ¸·Î ´ë·« Àϳ⿡ ¸¸¸í´ç ÇѸí²Ã·Î
¹ß»ýÇÑ´Ù°í ¾Ë·ÁÁ® ÀÖ½À´Ï´Ù. ¸Á¸·ÀÇ ±¸¸ÛÀº
¸Á¸·ÀÚüÀÇ º¯¼º, ¶Ç´Â ´«ÀÇ ¿Ü»ó, ³ëÈ¿¡
ÀÇÇØ »ý±â¸ç, µû¶ó¼ ¿°ø¼º ¸Á¸·¹Ú¸®´Â
°íµµ±Ù½Ã, ¹«¼öÁ¤Ã¼¾È, ¾È¿Ü»ó µî¿¡¼
´õ ÀÚÁÖ ³ªÅ¸³³´Ï´Ù. ƯÈ÷ ¸ðµç ¸Á¸·¹Ú¸®
ȯÀÚÀÇ ¾à 40%°¡ ±Ù½Ã ȯÀÚÀÏ ¸¸Å ±Ù½Ã´Â
¸Á¸·¹Ú¸®ÀÇ Áß¿äÇÑ ¿äÀÎÀÔ´Ï´Ù.
2.
°ßÀμº ¸Á¸·¹Ú¸®
¸Á¸·¿¡ ±¸¸ÛÀÌ ÀÖÁö
¾ÊÀ¸¸é¼ ÃÊÀÚü¸Á¸·ÀÇ °ßÀο¡ ÀÇÇØ ¸Á¸·¹Ú¸®°¡
ÀϾ´Â °ÍÀ¸·Î ´ç´¢º´¼º ¸Á¸·ÁõÀ̳ª
¿Ü»ó¿¡ ÀÇÇØ ÀϾ´Ï´Ù.
¸Á¸·¹Ú¸®ÀÇ
Áõ»ó
Áß³â ¹× ³ë³âÀÇ »ç¶÷¿¡°Ô¼
´«¾Õ¿¡ ±î¸¸Á¡°°Àº °ÍÀÌ ¶°´Ù´Ï°í(ºñ¹®Áõ)
Ç÷¡½Ã ºÒÀÌ ¹øÂ½ÀÌ´Â µíÇÑ(¼¶±¤Áõ) Áõ»óÀÌ
³ªÅ¸³ª´Â °æ¿ì°¡ ÀÖ½À´Ï´Ù. ´ë°³´Â ÀÌ·¯ÇÑ
Áõ»óÀÌ Å« ¹®Á¦°¡ ¾øÀ¸³ª ÀÌ·¯ÇÑ Çö»óÀÌ
°©Àڱ⠹߻ýÇÏ´Â °æ¿ì¿¡´Â µå¹°Áö ¾Ê°Ô
À¯¸®Ã¼ÀÇ ¼öÃàÀ¸·Î ¸»¹Ì¾Ï¾Æ ½ÉÇÏ°Ô À¯ÂøµÈ
¸Á¸·ÀÌ Âõ¾îÁ® ¿°øÀ» ÀÏÀ¸Å°°Ô µË´Ï´Ù.
ÀÌ·¯ÇÑ Áõ»óÀÌ ³ªÅ¸³ª´Â °æ¿ì¿¡´Â °¡´ÉÇϸé
»¡¸® À¯¸®Ã¼ ¹× ¸Á¸· »óŸ¦ °üÂûÇÏ¿©¾ß
ÇÕ´Ï´Ù.
¸Á¸·¹Ú¸®°¡
ÀϾ¸é ÁÖº¯ºÎ ½Ã¾ßÀÇ °á¼ÕÀÌ ³ªÅ¸³ª
¸¶Ä¡ ĿưÀ¸·Î ÇÑÂÊÀ» °¡¸°°Í°ú °°Àº Áõ»óÀ»
´À³¢°Ô µÇ¸ç ´õ¿í ÁøÇà½Ã ½Ã·Â ÀÚüÀÇ
ÀúÇÏ ¶Ç´Â »ó½Çµµ ³ªÅ¸³¯ ¼ö ÀÖ½À´Ï´Ù
¸Á¸·¹Ú¸®ÀÇ
Áø´Ü
¹Ú¸®µÈ ¸Á¸·Àº ´« ¾ÈÀ» µé¿©´Ù
º¸¾Æ¾ß ¾Ë ¼ö ÀÖÀ¸¸ç ÀÌ ¶§¿¡ °Ë¾È°æ,
»ï¸é°æ, ¿©·¯ °¡Áö °Ë»ç¿ë ·»Áî ¹× ÃÊÀ½ÆÄ¸¦
ÀÌ¿ëÇÏ¿© ¸Á¸·¹Ú¸®¸¦ Áø´ÜÇÒ ¼ö ÀÖ½À´Ï´Ù.
¸Á¸·¹Ú¸®ÀÇ
Ä¡·á
¸Á¸·ÀÇ ¿°øÀÌ ¹ß»ýÇßÀ¸³ª
¸Á¸·¹Ú¸®¸¦ ÀÏÀ¸Å°Áö ¾ÊÀº °æ¿ì¿¡´Â Áï°¢ÀûÀÎ
Ä¡·á·Î ¸Á¸·¹Ú¸®¸¦ ¿¹¹æÇÒ ¼ö ÀÖ½À´Ï´Ù.
±×·¯³ª ÀÏ´Ü ¸Á¸·ÀÌ ¹Ú¸®°¡ µÇ¸é ¼ö¼úÀûÀÎ
¹æ¹ýÀ¸·Î¸¸ Ä¡·á°¡ °¡´ÉÇÕ´Ï´Ù.
1.
·¹ÀÌÀú ±¤ÀÀ°í¼ú
¸Á¸·¹Ú¸® ¾øÀÌ ¸Á¸·ÀÇ
¿°øÀÌ ÀÖÀ» ¶§ ·¹ÀÌÀú ±¤ÀÀ°í¼ú·Î ¿°øÀ»
Ä¡·áÇÒ ¼ö ÀÖ½À´Ï´Ù. ¸Á¸·ÀÇ ¿°ø ÁÖÀ§¿¡
·¹ÀÌÀú ±¤ÀÀ°í¸¦ ½ÃÇàÇÏ¿© ¹ÝÈçÀ» ¸¸µé¾î
¸Á¸·ÇϺηΠÀ¯¸®Ã¼ÀÇ ¾×ü°¡ À̵¿ÇÏ´Â
°ÍÀ» ¸·¾ÆÁÝ´Ï´Ù.
2.
³ÃÀÀ°í¼ú
¸Á¸·¿°øÀÌ ÀÖ´Â ºÎÀ§¸¦ ¾ó·Á¼
·¹ÀÌÀú ±¤ÀÀ°í¼ú°ú °°ÀÌ ¹ÝÈçÀ» ¸¸µé¾î
¸Á¸·°ú ±× ÇϺÎÁ¶Á÷ÀÇ À¯ÂøÀ» ÀÌ·ç´Â ¹æ¹ýÀÔ´Ï´Ù.
3.
¼ö¼úÀû ¿ä¹ý
1) °ø¸·µ¹¸¢¼ú
½Ç¸®ÄÜÀ¸·Î
¸¸µé¾îÁø ½ºÆùÁö³ª ŸÀ̾î ȤÀº ¹êµåµîÀ¸·Î
¾È±¸¸¦ ´·¯¼ À¯¸®Ã¼°¡ ¸Á¸·À» °ßÀÎÇÏ´Â
ÈûÀ» °¨¼Ò½ÃŰ°í ¸Á¸·¿°ø ÁÖÀ§¿¡ ³ÃÀÀ°í¼úÀ»
½ÃÇàÇÏ¿© ¸Á¸·¿°ø ÁÖÀ§¿¡ ¹ÝÈçÀ» Çü¼ºÇÏ¿©
¸Á¸·¿°øÀÌ ¿¸®Áö ¾Ê°í ¸Á¸·ÇϺÎÁ¶Á÷°úÀÇ
À¯ÂøÀÌ ÀÌ·ç¾îÁöµµ·Ï ÇÕ´Ï´Ù.
2)
À¯¸®Ã¼ ÀýÁ¦¼ú
À¯¸®Ã¼¿Í ¸Á¸·ÀÌ ¿¬°áµÇ¾î
ÀÖ´Â ²ö°ú ¼öÃàµÈ À¯¸®Ã¼¸¦ Á¦°ÅÇÕ´Ï´Ù.
´ë°³´Â ¼ö¼ú½Ã¿¡ ¾È±¸³»¿¡ °ø±â³ª °¡½º¸¦
ÁÖÀÔÇÏ¿© ¸Á¸·ÀÌ ÀçÀ¯Âø µÇµµ·Ï ÇÏ¸ç °¡½º´Â
2ÁÖÀÏ¿¡¼ ±æ°Ô´Â 1´ÞÀÌ»ó ¾È±¸³»¿¡ ÀÖ°Ô
µÇ¸ç °á±¹ À¯¸®Ã¼³»´Â ü³»ÀÇ ¾×ü·Î ä¿öÁö°Ô
µË´Ï´Ù.
´ëºÎºÐÀÇ
¸Á¸·¹Ú¸®ÀÇ ¼ö¼ú ¼º°ñ·üÀº 80%ÀÌ»óÀÌÁö¸¸
°æ¿ì¿¡ µû¶ó¼´Â ¸Á¸·ÀÇ ÀçÀ¯ÂøÀ» À§ÇÏ¿©
Ãß°¡ÀûÀÎ ¼ö¼úÀÌ ÇÊ¿äÇÒ ¼öµµ ÀÖ½À´Ï´Ù. |
|
|
|
| |
|
|
| |
»ç½Ã |
|
| Ãâó : ¾È°ú - Áø°æÇö ±³¼ö ÃÖÁ¾¼öÁ¤ : 2005-10-07 ÀÔ·Â : 2005-10-07 |
| |
|
|
»ç½Ã¶õ?
Á¤¸éÀ»
º¼ ¶§ µÎ ´« ´Ù Á¤¸éÀ» º¸±â ¶§¹®¿¡ µÎ
´«ÀÇ °ËÀº´«µ¿ÀÚ°¡ ¸ðµÎ ´«°¡¿îµ¥¿¡ ÀÖ´Â
°ÍÀÌ Á¤»óÀÔ´Ï´Ù. ±×·¯³ª Á¤¸éÀ» º¼ ¶§
ÇÑÂÊ´«ÀÇ °ËÀº´«µ¿ÀÚ´Â ´«°¡¿îµ¥¿¡ ÀÖ¾î
Á¤¸éÀ» ¹Ù¶óº¸Áö¸¸, ¹Ý´ëÆí ´«ÀÇ °ËÀº´«µ¿ÀÚ´Â
´«ÀÇ ¾ÈÂÊÀ¸·Î ¶Ç´Â ¹Ù±ùÂÊÀ¸·Î µ¹¾Æ°¡
ÀÖ¾î Á¤¸éÀ» º¸Áö ¸øÇÏ°í ´Ù¸¥ °÷À» º¸´Â°æ¿ì°¡
Àִµ¥ ÀÌ·¯ÇÑ »óŸ¦ »ç½Ã¶ó°í ÇÕ´Ï´Ù.
»ç½ÃÀÇ
¿øÀÎ
»ç¶÷ÀÇ ´«¿¡´Â6°³ÀÇ ¿Ü¾È±ÙÀÌ
´«ÀÇ ¹Ù±ùÂÊ¿¡ ºÙ¾î ¿îµ¿À» Á¶ÀýÇÕ´Ï´Ù.
¸ñÇ¥¸¦ º¸±âÀ§ÇØ , °¢ ´«ÀÇ ¸ðµç ±ÙÀ°Àº
¹Ý´ëÆí ´«ÀÇ »óÀÀÇÏ´Â ±ÙÀ°°ú ±ÕÇü°ú Çùµ¿À»
ÇØ¾ßÇÕ´Ï´Ù.
µ¿¾È±ÙÀÌ
¼·Î Çùµ¿ÇÏÁö ¸øÇÒ¶§ ´«ÀÇ »ç½Ã°¡ ÃÊ·¡µË´Ï´Ù.
Çùµ¿ÇÏÁö ¸øÇÏ´Â ÀÌÀ¯´Â ¸Å¿ì ¸¹À¸¸ç ´ëºÎºÐÀÇ
°æ¿ì¿¡ Á¤È®ÇÑ ¿øÀÎÀ» ¾Ë±â´Â Èûµì´Ï´Ù.
¹àÇôÁö´Â ¿øÀεé·Î¼´Â ´«À» ¿òÁ÷ÀÌ´Â
±ÙÀ°ÀÇ ÀÌ»ó, ³ú¼Õ»ó, ½Å°æ¸¶ºñ, ½ÉÇÑ
¿ø½Ã, ÇÑÂÊ ½Ã·ÂÀÌ ¸Å¿ì ¾ÈÁÁÀº °æ¿ì µîÀÔ´Ï´Ù.
»ç½ÃÀÇ
Á¾·ù¿Í Áõ»ó
1.
°¡¼º³»»ç½Ã
´«Àº Á¤À§À̳ª ¿Ü°ß»óÀ¸·Î
»ç½Ã°°ÀÌ º¸ÀÌ´Â °æ¿ìÀÔ´Ï´Ù.
°Ñ¸ð½ÀÀº
´« ¾ÈÂÊÀÇ ³ÐÀº ´«±¸¼®ÇǺΰ¡ ´«ÀÇ ¾ÈÂÊ
ÈòÀÚÀ§¸¦ °¡¸®±â ¶§¹®¿¡ ´«ÀÇ °ËÀºµ¿ÀÚ°¡
´«ÀÇ ¾ÈÂÊ¿¡ ¸ô·ÁÀÖ´Â °Íó·³ º¸ÀÌ°Ô µË´Ï´Ù.
ÀÌ·¯ÇÑ °ÍÀ» °¡¼º³»»ç½Ã¶ó°í Çϸç, Çѱ¹ÀÎ,
ÀϺ»ÀÎ, Áß±¹ÀÎ °°Àº ¸ù°ñÀÎÁ¾¿¡¼ ¸¹ÀÌ
º¼ ¼ö ÀÖ½À´Ï´Ù. °¡¼º³»»ç½Ã´Â ½ÇÁ¦·Î
´«ÀÌ ¸ô¸° °ÍÀÌ ¾Æ´Ñ Á¤»ó »óÅÂÀ̹ǷÎ
Ä¡·á´Â ÇÊ¿ä¾ø°í ¾ÆÀ̰¡ ÀÚ¶ó¸é¼ ÄàµîÀÌ
³ô¾ÆÁö°í ´«¾ÈÂÊ ±¸¼®ÀÇ ÇǺΰ¡ ÄàµîÂÊÀ¸·Î
´ç°ÜÁö¸é¼ ´«Àº Á¤»ó¸ð½ÀÀ¸·Î µË´Ï´Ù.

2.
³»»ç½Ã
1) ¿µ¾Æ³»»ç½Ã
»ýÈÄ 6°³¿ùÀ̳»¿¡
¹ß»ýÇÑ ³»»ç½Ã¸¦ ¸»Çϸç, À̰æ¿ì ´«ÀÇ
°ËÀº´«µ¿ÀÚ°¡ ¸Å¿ì ½ÉÇÏ°Ô ´«ÀÇ ¾ÈÂÊÀ¸·Î
µ¹¾Æ°¡ ÀÖ´Â °ÍÀÌ ´ëºÎºÐÀÔ´Ï´Ù.
2)
Á¶Àý³»»ç½Ã
º¸Åë 2-3¼¼ °æ¿¡ ³ªÅ¸³ª¸ç
¼Ò¾Æ ³»»ç½ÃÁß °¡Àå ¸¹Àº ºóµµ¸¦ Â÷ÁöÇÕ´Ï´Ù.
½ÉÇÑ ¿ø½Ã°¡ ÀÖ´Â ¾ÆÀ̵鿡¼ ¹ß»ýÇÏ´Â
³»»ç½Ã·Î¼, °¡±î¿î °÷À» º¼¶§¸¸ ´«ÀÌ
¾ÈÀ¸·Î ¸ô¸®´Â °æ¿ìµµ ÀÖ°í º¸´Â°Å¸®¿¡
°ü°è¾øÀÌ Ç×»ó ´«ÀÌ ¾ÈÀ¸·Î ¸ô·ÁÀÖ´Â µÎ°¡Áö
°æ¿ì°¡ ÀÖ½À´Ï´Ù. Á¶Àý³»»ç½ÃÀΰæ¿ì´Â
¾È°æÂø¿ë¸¸À¸·Îµµ »ç½Ã°¡ ±³Á¤µÇ´Â °æ¿ì°¡
¸¹½À´Ï´Ù.
3.
¿Ü»ç½Ã
1) °£Ç漺 ¿Ü»ç½Ã
Çѱ¹,
ÀϺ», Áß±¹µî µ¿¾çÀο¡¼ °¡Àå ¸¹Àº »ç½ÃÀ̸ç
2-3¼¼ ÈÄ¿¡ ³ªÅ¸³³´Ï´Ù. ¾ÆÄ§¿¡ ÀϾ°Å³ª
ÇǰïÇϰųª TV¸¦ Àå½Ã°£ ½ÃûÇÑ ÈÄ ¶Ç´Â
¸ÛÇÏ´Ï ¸Õ °÷À» ¹Ù¶óº¼ ¶§¿Í °°À̰¡²û¾¿
°£ÇæÀûÀ¸·Î ÇÑÂÊ ´«À̹ٱùÂÊÀ¸·Î µ¹¾Æ°¡´Â
»ç½Ã¸¦ ¸»ÇÕ´Ï´Ù. °£Ç漺 ¿Ü»ç½Ã ȯ¾Æµé¿¡°Ô´Â
Ư¡ÀûÀÎ Áõ»óÀ¸·Î ÇÞºû¿¡ ³ª°¡¸é ÇÑÂÊ
´«À» Âô±×¸®°Å³ª ºñºñ´Â Áõ»óÀ» º¸ÀÔ´Ï´Ù.
2)
¿Ü»ç½Ã
Ãâ»ý Á÷Èijª û³â±â ÀÌÈÄ¿¡µµ
¹ß»ýÇÒ ¼ö ÀÖ½À´Ï´Ù. Ç×»ó ÇÑÂÊ ´«ÀÇ °ËÀºµ¿ÀÚ°¡
¹Ù±ùÂÊÀ¸·Î µ¹¾Æ°¡ ÀÖ´Â »ç½Ã¸¦ ¸»Çϸç
´ëºÎºÐÀº °£Ç漺 ¿Ü»ç½Ã°¡ ÁøÇàµÇ¾î À̿Ͱ°Àº
¿Ü»ç½Ã°¡ µË´Ï´Ù. ±Ù½Ã, ³½Ã, ¿ø½Ã°¡
ÀÖÀ¸¸é ¾È°æÀ» Âø¿ëÇÏ¿©¾ß Çϴµ¥, À̶§¿¡´Â
ÀáÀÚ´Â ½Ã°£À» Á¦¿ÜÇϰí´Â Ç×»ó ¾È°æÀ»
Âø¿ëÇÏ¿©¾ß ÇÕ´Ï´Ù.
4.
¸¶ºñ»ç½Ã
¿Ü¾È±ÙÀÇ ¸¶ºñ·Î ¾È±¸¿îµ¿ÀÇ
ºÒÀÏÄ¡¸¦ º¸ÀÌ´Â »ç½Ã°¡ ÀϾ´Âµ¥ ¿øÀÎÀ¸·Î´Â
±³Åë»ç°í µî °¢Á¾ »ç°í¿¡ ÀÇÇÑ ´« ¹× ¸Ó¸®
¿Ü»ó°ú ³úÇ÷°üÀÇ ¼øÈ¯Àå¾Ö ¶Ç´Â ´ç´¢º´,
µÎ°³°³» ¿°Áõ ¹× Á¾¾çµîÀÌ ÀÖ½À´Ï´Ù.
Ư¡Àû Áõ»óÀ¸·Î´Â º¹½Ã, ÀÌ»ó ¸Ó¸®À§Ä¡µîÀÇ
Áõ»óÀÌ ÀÖ½À´Ï´Ù.

³»»ç½Ã
¿Ü»ç½Ã
»ç½ÃÀÇ
Ä¡·á
1.
¾à½Ã Ä¡·á
»ç½Ã°¡ ÀÖ´Â °æ¿ì¿¡ ¹ß»ýÇÏ´Â
¾à½Ã´Â ´«À» »ç¿ëÇÏÁö ¾Ê¾Æ¼ ¹ß»ýÇÏ´Â
°ÍÀ̹ǷΠ¾à½ÃÄ¡·á´Â °Ç°ÇÑ ´«À» °¡·ÁÁÜ(°¡¸²Ä¡·á)À¸·Î½á
¾à½Ã¾ÈÀ» °Á¦·Î »ç¿ëÇÏ°Ô ÇÏ¿© ½Ã·ÂÀ»
ȸº¹½ÃŰ´Â °ÍÀÔ´Ï´Ù. °¡¸²Ä¡·áÀÇ ¹æ¹ýÀº
ÇÏ·çÁß È°µ¿ÇÏ´Â ½Ã°£ÀÇ ÀÏÁ¤½Ã°£ ¶Ç´Â
ÀÏÁÖÀÏ Áß ¼öÀÏÀ» Á¤»ó½Ã·ÂÀ» °¡Áø ´«À»
¾È´ë·Î ¸·¾ÆÁÝ´Ï´Ù. ¾à½ÃÄ¡·á´Â ³ªÀ̰¡
¾î¸±¼ö·Ï Ä¡·áÈ¿°úµµ ÁÁÀ¸¸ç Ä¡·á±â°£µµ
ªÀ¸³ª, ³ªÀ̰¡ ¸¹¾ÆÁú¼ö·Ï ¾ÆÀ̵éÀÇ °ÅºÎ°¨,
Çб³È°µ¿µîÀÇ ÀÌÀ¯·Î Ä¡·á°¡ Èûµé°Ô µË´Ï´Ù.
¾à½ÃÄ¡·á´Â ȯ¾Æ¿Í ºÎ¸ð´ÔÀÌ ÁÁÀº ÇùÁ¶°¡
ÀÖ¾î¾ß ¼º°øÇÒ ¼ö ÀÖÀ¸¸ç, ¾à½Ã´Â °¡¸²Ä¡·áÀ̿ܿ¡
¼ö¼úÀ̳ª ´Ù¸¥ ¹æ¹ýÀ¸·Î´Â Ä¡·á°¡ µÇÁö
¾Ê½À´Ï´Ù.
2.
¼ö¼úÀû Ä¡·á
¾È°æÂø¿ëÀ̳ª ¾à½ÃÄ¡·á°¡
³¡³ ÀÌÈÄ¿¡ ´«ÀÌ ¸¹ÀÌ µ¹¾Æ°¡ ÀÖÀ¸¸é
»ç½Ã±³Á¤¼ö¼úÀÌ ÇÊ¿äÇÕ´Ï´Ù. »ç½Ã±³Á¤¼ö¼úÀº
ÇÑÂÊ ´«¿¡¸¸ Çϰųª ¶Ç´Â ¾çÂÊ´« ¸ðµÎ¿¡
ÇÒ ¼öµµ ÀÖ½À´Ï´Ù. ´«ÀÌ µ¹¾Æ°£ Á¤µµ°¡
½ÉÇϸé ÇѹøÀÇ ¼ö¼ú¸¸À¸·Î ¿ÏÀü±³Á¤Àº
¾î·Á¿ì¸ç, ÇѹøÀÇ ¼ö¼ú·Î ±³Á¤ÀÌ µÈ °æ¿ì¿¡µµ
¼ö°³¿ù¿¡¼ ¼ö³â ÈÄ »ç½Ã³ª Àç¹ßÇÏ´Â °æ¿ìµµ
ÀÖÀ¸¹Ç·Î ¼ö¼úÈÄ Á¤±âÀûÀÎ °üÂû°ú Ä¡·á°¡
ÇÊ¿äÇϸç, À̶§ 2Â÷ ¼ö¼úÀÌ ÇÊ¿äÇÑ °æ¿ì¿¡´Â
2Â÷ ¼ö¼úÀ» ¹Þ¾Æ¾ß ÇÕ´Ï´Ù. |
|
|
|
| |
|
|
| |
°Ç¼º¾È |
|
| Ãâó : ¾È°ú - ¹ÚÀα⠱³¼ö ÃÖÁ¾¼öÁ¤ : 2005-09-13 ÀÔ·Â : 2005-09-13 |
| |
|
|
´«¹°ÀÇ
Á¾·ù
´«¹° Á¾·ù´Â ±âº» ´«¹°°ú
¹Ý»ç ´«¹° µÎ °¡Áö°¡ ÀÖ½À´Ï´Ù. ±âº» ´«¹°Àº
ÇÏ·çÁ¾ÀÏ ÀÏÁ¤ÇÏ°Ô Áö¼ÓÀûÀ¸·Î »ý¼º ºÐºñµÇ¸é¼
´«À» ÃËÃËÈ÷ Àû¼Å ÁÖ°í ´«¾ËÀ»ºÎµå·´°Ô
À±È° ½ÃÄÑ ÁÖ´Â ¿ªÇÒÀ» ÇÏ´Â ´«¹°À̸ç,
ÀÌ¿¡ ¹ÝÇÏ¿© ¹Ý»ç ´«¹°Àº ¾î¶² ÀÚ±Ø(ÅëÁõ,
¸ÕÁö, ¸Å¿î ¸À, ¿¬±â, ³¿»õ, ±â»Ú°Å³ª
½½Ç °¨Á¤, ´«¹° ºÎÁ·À¸·Î ÀÎÇÑ ÀÚ±Ø µî)¿¡
´ëÇÑ ¹Ý»ç ¹ÝÀÀÀ¸·Î ´«¹°ÀÌ ÀϽÃÀûÀ¸·Î¸¸
ºÐºñµÇ´Â ´«¹°ÀÔ´Ï´Ù. ¸¶Ä¡ ÀÔ¼ÓÀÇ Ä§µµ
ÇÏ·çÁ¾ÀÏ ÀÔ¼ÓÀÇ ½Àµµ¸¦ À¯Áö½ÃÄÑÁÖ´Â
±âº» ħ°ú À½½ÄÀ» ¸ÔÀ»¶§¸¸ ºÐºñµÇ´Â ¹Ý»ç
ħÀÌ ÀÖ´Â °Í°ú ¸¶Âù°¡ÁöÀÔ´Ï´Ù.

Á¤»ó
´«¹°¸·ÀÇ ±¸Á¶
Áõ»ó
񃧯
´«¹°ÀÌ ºÎÁ·ÇÏ¸é µû°Å¿ò, ²¨Ä¥°Å¸², »»»»ÇÔ,
°ÇÁ¶ÇÔ, ´ã¹è ¿¬±â¿¡ ¿¹¹ÎÇÔ, ´«¹°ÀÌ ¿ÐĬ
½ñ¾ÆÁü, ½Ç°°ÀÌ ²öÀû²öÀûÇÑ ´«²Å µîÀÇ
ºÒÆíÇÑ Áõ»óµéÀÌ ¹ß»ýÇÒ ¼ö ÀÖÀ¸¸ç, ¶§·Î´Â
¶Ñ·ÇÀÌ Ç¥ÇöÇϱ⠾ָÅÇÑ °æ¿ìµµ ÀÖ½À´Ï´Ù.
¿ÀÈ÷·Á ²¨²Ù·Î ´«¹°ÀÌ ¿ÐĬ ´õ ½ñ¾ÆÁö´Â
Áõ»óÀº ±âº» ´«¹° ºÎÁ·À¸·Î ÀÎÇÑ Àڱؿ¡
ÀÇÇÏ¿© ¹Ý»ç ´«¹° Áõ°¡¿¡ ÀÇÇÑ Çö»óÀ¸·Î
Áø´ÜÀ» ¾î·Æ°Ô ÇÒ ¼öµµ ÀÖ½À´Ï´Ù. ´ëºÎºÐ
¿ÀÈİ¡ µÇ¸é ºÒÆíÇÑ Áõ»óµéÀ» ´õ¿í ½ÉÇϰÔ
´À³¢°Ô µË´Ï´Ù. ÄÜÅÃÆ®·»Áî Âø¿ëÀÚ´Â ·»Á
³¥ ¼ö ¾ø°Ô µÇ´Â °æ¿ìµµ ÀÖ½À´Ï´Ù.
¿øÀÎ
Á¤»óÀûÀ¸·Îµµ
³ªÀ̰¡ ¸¹¾ÆÁü¿¡ µû¶ó ´«¹° ºÐºñ°¡ ÁÙ¾îµé°Ô
µÇ¸ç, ƯÈ÷ Æó°æ±â ÀÌÈÄÀÇ ¿©¼º¿¡°Ô¼
ÈçÈ÷ º¼ ¼ö ÀÖ½À´Ï´Ù. Àü½Å ÁúȯÀ¸·Î ´«¹°
ºÎÁ·»Ó¸¸ ¾Æ´Ï¶ó ÀÔ¼ÓÀÇ Ä§ ºÐºñµµ ÁÙ¾îµé¸ç
°üÀý¿° Áõ»óµµ °ãÃļ ³ªÅ¸³ª´Â °æ¿ìµµ
ÀÖ½À´Ï´Ù. ¿Ü»ó, Àå±â°£ ÄÜÅÃÆ®·»Áî Âø¿ë,
Á¡¾È¾à ³²¿ë, ¾à¹° º¹¿ë(°íÇ÷¾Ð, À§»ê
°ú´Ù, ½Å°æÁõ, ¿ì¿ïÁõ µî¿¡ °üÇÑ ¾à) µîÀÌ
´«¹° ºÎÁ· Áõ»óÀ» ¾ÇȽÃų ¼ö ÀÖÀ¸³ª,
´ëºÎºÐÀÇ °æ¿ì¿¡´Â ´«¹° ºÎÁ·ÀÇ ¿øÀÎÀ»
Á¤È®È÷ ¾Ë ¼ö ¾ø½À´Ï´Ù.
Áø´Ü
´«¹°
ºÎÁ·À»Áø´ÜÇϱâ À§ÇÏ¿© »ö¼Ò¸¦ ÀÌ¿ëÇÏ´Â
°Ë»ç³ª, Á¾ÀÌÁ¶°¢À» ´«¿¡ ³¢¿ö¼ ´«¹°
ºÐºñ·®À» °Ë»çÇÏ´Â ¹æ¹ýÀ» ½ÃÇàÇÕ´Ï´Ù.
½ÇÁ¦·Î Àΰø ´«¹°À» Åõ¾àÇÏ¸é¼ ºÒÆíÇÑÁõ»óÀÌ
°¨¼ÒÇÏ´Â ¹ÝÀÀ µîÀ» °¨¾ÈÇÏ¿© Áø´Ü¿¡ Âü°íÇϱ⵵
ÇÕ´Ï´Ù.
Ä¡·á
¿øÀÎ
Á¦°Å°¡ °¡Àå ÁÁ±â´Â ÇÏÁö¸¸ Ç×»ó °¡´ÉÇÑ
°ÍÀº ¾Æ´Õ´Ï´Ù. Àΰø ´«¹° º¸ÃæÀÌ Ä¡·áÀÇ
±âº» ¿øÄ¢À̸ç, Ä¡·áÀÇ ¸ñÀûÀº ºÒÆíÇÑ
Áõ»óÀÇ ¿ÏÈ¿Í °³¼±ÀÏ »Ó, ¿ÏÄ¡µÇ´Â °æ¿ì´Â
±â´ëÇÏ±â ¾î·Æ½À´Ï´Ù. Àΰø ´«¹° º¸Ãæ
Ƚ¼ö´Â °³Àο¡ µû¶ó °¢°¢ ÇÊ¿äÇѸ¸Å ´Ù¸£¸ç,
ÇÏ·ç ÇÑ µÎÂ÷·Ê ¶Ç´ÂÇѽ𣵿¾ÈÀ̶óµµ
¿©·¯ Â÷·Ê º¸ÃæÇØ¾ß ÇÒ °æ¿ìµµ ÀÖ½À´Ï´Ù.
Àΰø´«¹°ÀÇ Á¾·ù¸¦¼±ÅÃÇϽô °æ¿ì¿¡´Â
½ÇÁ¦·Î Á÷Á¢ ´«¿¡ »ç¿ëÇÏ¿© üÇèÇϸé¼
ÆÇ´ÜÇÏ´Â ¹æ¹ýÀÌ °¡Àå ÁÁ½À´Ï´Ù. ´«¹°
¿¬°íÁ¦¸¦ ÀÚ±â Àü¿¡ »ç¿ëÇÏ¸é ¾ÆÄ§¿¡ ´«
¶ã ¶§ ÆíÇϸç, °¡´ÉÇÑ ÀûÀº ·®À» »ç¿ëÇϸé
»Ñ¿¸°Ô º¸ÀÌ´Â Áõ»óÀ» ÁÙÀÏ ¼ö ÀÖ½À´Ï´Ù.
´«¹°À» º¸Á¸Çϱâ À§ÇÏ¿© ´«¹°ÀÌ ºüÁ® ³ª°¡´Â
±¸¸ÛÀ» ¸·´ÂÄ¡·á¸¦ ¹Þ¾Æº»´ÙµçÁö, ¹æ¾ÈÀÇ
½Àµµ¸¦ ³ôÀ̰ųª, ´«²¨Ç®À» ºÀÇÕÇϰųª,
Ư¼ö ÄÜÅÃÆ®·»Á ³¢¿öº¼ ¼öµµ ÀÖ½À´Ï´Ù. |
|
|
|
| |
|
|
| |
½Ã·Â±³Á¤¼ö¼ú |
|
| Ãâó : ¾È°ú - Áø°æÇö ±³¼ö ÃÖÁ¾¼öÁ¤ : 2006-04-29 ÀÔ·Â : 2006-04-29 |
| |
|
|
½Ã·Â±³Á¤¼ö¼úÀÇ
¸ñÀû ¹× ¸ñÇ¥
·¹ÀÌÀú ¼ö¼úÀÇ ¸ñÀûÀº
´ç¿¬È÷ ¾È°æÀ» ¹þ°í ÁÁÀº ½Ã·ÂÀ¸·Î »ýȰÇÏ´Â
°ÍÀÔ´Ï´Ù. ´ëºÎºÐÀÇ °æ¿ì ¾È°æÀ̳ª ·»Á
³¢Áö ¾Ê°í ÀÏ»ó»ýȰÀ» Àß ÇÒ ¼ö ÀÖ°Ô µÇ¸ç
¼ö¼ú °á°ú¿¡ ¸¸Á·ÇÏ°Ô µË´Ï´Ù. ±×·¯³ª
PRK³ª LASIK »Ó ¾Æ´Ï¶ó ¸ðµç ¼ö¼úÀÌ ¿ÏÀüÇÑ
°ÍÀÌ ¾Æ´Ï¹Ç·Î ȯÀÚµéÀÇ ¿øÇÏ´Â ¹Ù¿¡ µû¶ó
¸¸Á·ÇÏ´Â ¼öµµ ÀÖÁö¸¸ ±×·¸Áö ¸øÇÑ °æ¿ìµµ
»ý±æ ¼ö ÀÖ½À´Ï´Ù. ¼ö¼úÀ» ¹Þ°íÀÚ ÇÏ´Â
ºÐµé¸¶´Ù ¼ö¼ú ÈÄ ¿øÇÏ´Â ¹Ù°¡ ´Ù¸¦ ¼ö
ÀÖÀ¸¹Ç·Î Àü¹®ÀÇ¿Í ÃæºÐÇÑ »ó´ãÀ» ÇϽôÂ
°ÍÀÌ ÁÁ½À´Ï´Ù.
¼ö¼úÀü
±âº»°Ë»ç
1. ½Ã·Â
ÃøÁ¤
2. ¼¼±Øµî Çö¹Ì°æ
°Ë»ç
3. ÀÚµ¿±¼Àý°Ë»ç
¹× °¢¸·¸¸°îµµ °Ë»ç
4.
°¢¸·ÁöÇüµµ °Ë»ç
5. ¾ÈÀú°Ë»ç
6.
°¢¸·µÎ²²°Ë»ç
7. ¾È¾Ð°Ë»ç
8.
µ¿°øÅ©±â °Ë»ç
9. Á¶Àý¸¶ºñ
°Ë»ç
¿¢½Ã¸Ó
·¹ÀÌÀú¶õ?
¾×½Ã¸Ó ·¹ÀÌÀú(Excimer
laser)´Â ¾È°úÀÇ·á¿ë ·¹ÀÌÀú·Î °³¹ßµÈ
¡®Á¦ 3¼¼´ë ·¹ÀÌÀú¡¯ ÀÔ´Ï´Ù. ÀÌ ·¹ÀÌÀú´Â
¾Ë°ï, ºÒ¼Ò È¥ÇÕ°¡½ºÀÇ ¿øÀڿܼ± ½ºÆåÆ®·³¿¡¼
³ª¿À´Â 193nmÀÇ ÆÄÀåÀ» °¡Áø ¹æÃⱤÀ¸·Î¼
ÀÌ ¹æÃⱤÀº Ư¼öÇÑ ±¤ÈÇÐÀû ÀÛ¿ë¿¡ ÀÇÇØ
¿¿¡ÀÇÇÑ ¼Õ»ó¾øÀÌ Á¶Á÷³»ÀÇ ºÐÀÚ°áÇÕ¸¸À»
Á¤È®ÇÏ°Ô ÆÄ±«ÇÔÀ¸·Î½á °èȹµÈ ¾ç¸¸ÅÀÇ
Á¶Á÷À» Á¤È®ÇÏ°Ô ÀýÁ¦, ¿¬¸¶ÇÏ¿© °¢¸·¿¡
¹ÝÈçÀ» ³²±âÁö ¾Ê°í ±Ù½Ã, ³½ÃÀÇ ±³Á¤¿¡
Ź¿ùÇÑ È¿°ú¸¦ ³ªÅ¸³À´Ï´Ù.
ÀÌ·±
·¹ÀÌÀú¸¦ ÀÌ¿ëÇÏ¿© Á¦ÀÏ Ã³À½ ½ÃÇàÇÑ ±¼Àý±³Á¤
¼ö¼úÀ» ÈçÈ÷ ¿¢½Ã¸Ó·¹ÀÌÀú ¼ö¼úÀ̶ó°í
Çϸç Á¤È®ÇÑ ´Ü¾î´Â ±¼Àý±³Á¤ ·¹ÀÌÀú°¢¸·ÀýÁ¦¼ú(PRK)À̶ó°í
ÇÕ´Ï´Ù
¶ó½Ä(LASIK)¼ö¼úÀ̶õ?
LASIK˼
(Laser assisted in situ keratomileusis)¸¦
µû¼ ¸¸µç ÇÕ¼º¾îÀÔ´Ï´Ù. Áï, °¢¸·Àý»è¼ö¼úÀº
°¢¸·¿¬¸¶¼ú(PRK)ÀÇ ´ÜÁ¡À» º¸¿ÏÇØ¼ °³¹ßµÈ
°ÍÀ¸·Î ¶ó½ÄÀº °¢¸·»óÇǸ¦ Á¦°ÅÇÏ´Â °ÍÀÌ
¾Æ´Ï¶ó ¹Ì¼¼°¢¸·Àý»è±â·Î °¢¸·ÀÇ Ç¥ÃþÀ»
µé¾î¼ °¢¸·ÆíÀ» ¸¸µç ÈÄ ·¹ÀÌÀú¸¦ Á¶»çÇÏ¿©
½Ã·ÂÀ» ±³Á¤ÇÏ´Â ¼ö¼úÀÔ´Ï´Ù. ƯÈ÷ °íµµ±Ù½Ã³ª
³½Ã¿¡µµ Ź¿ùÇÑ È¿°ú°¡ÀÖ°í ¾çÂÊ´«À»
Çѹø¿¡ ½Ã¼úÇÒ ¼ö ÀÖ´Ù´Â °Íµµ Å« ÀåÁ¡ÀÔ´Ï´Ù.
´«ºÎ½ÉÀ̳ª
°¢¸·È¥Å¹°°Àº ºÎÀÛ¿ëµµ °ÅÀÇ ¾øÀ¸³ª ÀÌ·±
°¢¸·Àý»è¼ö¼ú(LASIK)Àº °¢¸·¿¬¸¶¼ú(PRK)¿¡
ºñÇØ ÈξÀ °íµµÀÇ ±â¼úÀÌ ÇÊ¿äÇÕ´Ï´Ù.
Àç¼ö¼úµµ ½±°Ô ÇÒ ¼ö ÀÖ¾î¼ Àú±³Á¤µÈ
±Ù½Ã³ª °ú±³Á¤µÇ¾î ¿ø½Ã°¡ µÇ´õ¶óµµ ´Ù½Ã
±³Á¤ÀÌ °¡´ÉÇÕ´Ï´Ù.
¶ó¼½(LASEK)¼ö¼úÀ̶õ?
LASEK(Laser
assisted epithelial keratomileusis)˼
PRK¿Í LASIKÀÇ ÀåÁ¡À» ÃëÇÕÇÑ »õ·Î¿î ¼ö¼ú¹æ¹ýÀ¸·Î
À¯·´ ¹× ¹Ì±¹¿¡¼ È£ÀÀÀ» ¾ò°í ÀÖ½À´Ï´Ù.
´«ÀÌ À۰ųª, °¢¸·ÀÌ ¾ã°Å³ª, ÄÜÅÃÆ®·»Á
Àå±â°£ Âø¿ëÇß´ø ºÐ µî ±×µ¿¾È ¶ó½Ä¼ö¼ú¿¡
´Ù¼Ò ¾î·Á¿òÀÌ ÀÖ¾ú´ø ȯÀÚµµ ¾ÈÀüÇϰí
Æí¾ÈÇÏ°Ô ·¹ÀÌÀú ½Ã·Â±³Á¤¼ö¼úÀ» ¹ÞÀ»
¼ö ÀÖ°Ô µÇ¾ú½À´Ï´Ù.
  
|
|
|
|
| |
|
|
| |
¾È°Ë(´«²¨Ç®)ÀÇ Áúȯ |
|
| Ãâó : ¾È°ú - ¹ÚÀα⠱³¼ö ÃÖÁ¾¼öÁ¤ : 2005-07-11 ÀÔ·Â : 2005-07-11 |
| |
|
|
ºÎ¾È°Ë(µ¡´«²¨Ç®)
¼±ÃµÀû ¾È°Ë
ÁúȯÀÎ ºÎ¾È°ËÀ̶õ ¾Æ±âµé¿¡¼ ¸¹ÀÌ ³ªÅ¸³ª´Â
ÁúȯÀ¸·Î ¾Æ·¡ÂÊ ´«²¨Ç®ÀÌ ´«ÂÊÀ¸·Î ¸»·Áµé¾î°¡
¼Ó´«½çÀÌ ´«À» Â´Â °æ¿ì·Î, ÀÚÁÖ ºñºñ°í
ÃæÇ÷µÇ¸ç, °ÇÑ ºÒºûÀ̳ª ÇÞºûÀ» ½È¾îÇϰí
´«¹°À» ÀÚÁÖ È긮°Ô µË´Ï´Ù. ÀÌ·± °æ¿ì
°£´ÜÇÑ ¼ö¼ú·Î ±³Á¤ÇØ ÁÖ¸é Áõ»óÀÌ ¼Ò½ÇµË´Ï´Ù.


¼ö¼ú
Àü ¼ö¼ú
ÈÄ
¾È°Ë³»¹Ý,
¾È°Ë¿Ü¹Ý
ƯÈ÷, ³ªÀ̰¡ µé¼ö·Ï
´«²¨Ç®À» ÁöÅÊÇÏ´Â Àδ밡 ´Ã¾î³ª°í, ´«²¨Ç®
ÁÖÀ§¿¡ ±ÙÀ°ÀÌ ¸»·Áµé¾î°¨À¸·Î½á ´«²¨Ç®ÀÌ
¾ÈÀ¸·Î, ȤÀº ¹Ù±ùÀ¸·Î ÇâÇØ ´«½çÀÌ ´«À»
½ÉÇÏ°Ô Â°Å³ª, ´«²¨Ç®ÀÌ ¹ÛÀ¸·Î óÁö´Â
°æ¿ìÀε¥, ´«²¨Ç®À» ¼ö¼úÇÔÀ¸·Î½á ±â´É
¹× ¹Ì¿ëÀ» È£Àü½Ãų ¼ö ÀÖ½À´Ï´Ù.

¾È°Ë¿Ü¹Ý
¾È°Ë³»¹Ý
¾È°ËÇϼö,
¾È°ËÇǺÎÀÌ¿ÏÁõ
¼±ÃµÀû, ¶Ç´Â ÈÄõÀûÀ¸·Î
À§ÂÊ ´«²¨Ç®ÀÌ ¾Æ·¡·Î óÁ® ´«ÀÇ °ËÀº
µ¿ÀÚ¸¦ °¡¸®´Â °æ¿ì·Î ¿øÀΰú Á¤µµ¿¡ µû¶ó
±³Á¤¼úÀ» ÇØ ÁÜÀ¸·Î½á ±³Á¤À» ÇÒ ¼ö ÀÖ½À´Ï´Ù.

¾È°ËÇǺÎÀÌ¿ÏÁõ
¾È°ËÁÖÀ§ÀÇ
¿Ü»ó
¿Ü»ó¿¡ ÀÇÇÑ ´«²¨Ç® ÁÖÀ§¿¡
»ý±ä ÈäÅͳª °á¼Õ, ±×·Î ÀÎÇÑ ÀÌÂ÷ÀûÀÎ
±â´ÉÀå¾Ö°¡ »ý±æ ½Ã, ÇǺÎÀ̽ļú ¹ÝÈçÁ¦°Å,
¾È°ËÀç°Ç¼úµî ÀûÀýÇÑ Ä¡·á·Î ±â´É ¹× ¹Ì¿ëÀ»
È£Àü ½Ãų ¼ö ÀÖ½À´Ï´Ù.
¾È°ËÁÖÀ§ÀÇ
Á¾¾ç
´«²¨Ç® ÁÖÀ§¿¡´Â ´Ù·¡³¢,
»ç¸¶±Í µî¿¡ ÀÇÇÑ ÇǺÎÁÖÀ§ÀÇ ÀÌ»ó ¹×
Ç÷°üÁ¾À̳ª ÀÓÆÄÁ¾ µî ¿©·¯°¡Áö ÇüÅÂÀÇ
¾ç¼ºÁ¾¾ç ¹× ±âÀú¼¼Æ÷Á¾À̳ª ¾Ç¼º Èæ»öÁ¾
µîÀÇ ´Ù¾çÇÑ ¾Ç¼ºÁ¾¾çÀÌ »ý±æ ¼ö ÀÖ½À´Ï´Ù. |
|
|
|
| |
|
|
| |
´©±âÀÇ Áúȯ |
|
| Ãâó : ¾È°ú - ¹ÚÀα⠱³¼ö ÃÖÁ¾¼öÁ¤ : 2005-03-05 ÀÔ·Â : 2005-03-05 |
| |
|
|
ºñ·ç°ü
Æó¼âÁõ
Æò»ó½Ã¿¡ ´«¹°ÀÌ ³ÑÃÄ È帣´Â
°ÍÀº ÀÌ»ó Áõ»óÀÔ´Ï´Ù. ÀÌ·± °æ¿ì´Â Ư
È÷ ´«¹°ÀÇ ¹èÃâ·Î°¡ ¸·Çô¼ ´«¹°ÀÌ ³ª´Â
°æ¿ì°¡ ¸¹½À´Ï´Ù. 1¼¼ ÀÌÀüÀÇ À¯¾Æ¿¡¼´Â
¼±ÃµÀûÀÎ °æ¿ì°¡ ´ëºÎºÐÀ¸·Î ´«¹°È긲À̳ª
ÁÖ ±âÀûÀ¸·Î ´«²ÅÀÌ ³¢°Ô µÇ¾î ÁöÀúºÐÇϰÔ
µË´Ï´Ù. ÀûÀýÇÑ ½Ã±â¿¡ ´«¹°¹èÃâ·Î¸¦ ¶Õ¾îÁÖ¸é
°ÅÀÇ Á¤»óÀ¸·Î µ¹¾Æ¿À°Ô µË´Ï´Ù.¼ºÀÎÀÇ
°æ¿ì´Â ³ªÀ̰¡ ¸¹¾ÆÁü¿¡ µû¶ó »ý±â´Â °æ¿ì°¡
¸¹°í ¿©¼º¿¡°Ô ¸¹ÀÌ »ý±â´Âµ¥, ¾à¹°Ä¡·á³ª
´Ü¼øÈ÷ ´«¹°¹èÃâ·Î ¶Õ¾îÁÖ´Â °ÍÀ¸·Î ÇØ°áÀÌ
µÇÁö ¾Ê½À´Ï´Ù. Á¤µµ¿¡ µû¶ó ½Ç¸®ÄܰüÀ»
»ðÀÔÇÏ´Â °£´ÜÇÑ ¼ö¼ú·ÎºÎÅÍ ´«¹°ÀÌ Èê·¯³ª°¥
¼ö ÀÖ´Â Åë·Î¸¦ »õ·ÎÀÌ ÄÚ ¼Ó¿¡ ¸¸µé¾î
ÁÖ´Â ¹æ¹ý±îÁö ´Ù¾çÇÕ´Ï´Ù. ƯÈ÷ ÃÖ±Ù¿¡´Â
³»½Ã°æÀ» ÅëÇÑ ¼ö¼ú, ·¹ÀÌÀú¸¦ »ç¿ëÇÑ
¹æ¹ý µîÀ» ÀÌ¿ëÇØ ¼ö¼úÀ» Çϰí ÀÖ½À´Ï´Ù.
|
|
|
|
| |
|
|
| |
¾È¿ÍÀÇ Áúȯ |
|
| Ãâó : ¾È°ú - °ûÇü¿ì ±³¼ö ÃÖÁ¾¼öÁ¤ : 2005-03-21 ÀÔ·Â : 2005-03-21 |
| |
|
|
¾È¿Í°ñÀý
ÁÖ¸ÔÀ̳ª
°ø¿¡ ÀÇÇÑ ´« ÁÖÀ§ÀÇ Á÷Á¢ÀûÀÎ Ãæ°Ý½Ã,
´« ÁÖÀ§ÀÇ »ÀµéÀÌ ¼Õ »ó¹Þ±â ½±½À´Ï´Ù.
ƯÈ÷, ¾È¿ÍÀÇ ÇϺ®, ³»º® µîÀº ±²ÀåÈ÷
¾ã¾Æ ½±°Ô ºÎ·¯Áý´Ï´Ù. ½ÉÇÑ °æ¿ì´Â »À
Á¶Á÷µé ¼Ó¿¡ ¾È±¸ÁÖÀ§ÀÇ ±ÙÀ°ÀÌ ³¢°Ô µÇ
¾î º¹½Ã(µÎ°³·Î º¸ÀÓ)°¡ »ý±â°í, ½Ã°£ÀÌ
°¥¼ö·Ï ´«ÀÌ ²¨Áö°Ô µË´Ï´Ù. ÀÌ·± °æ¿ì
Á¶±â¿¡ ¼ö¼úÀ» Çϸé ÁÁÀº °á°ú¸¦ º¸À̰Ô
µË´Ï´Ù.

¾È¿Í°ñÀýÀÇ
±âÀü
¾È¿Í³»ÀÇ
Á¾¾ç
´«»À³» ¶Ç´Â ÁÖÀ§¿¡ ¼±ÃµÀû
¶Ç´Â ÈÄõÀûÀ¸·Î Á¾¾çÀÌ »ý±æ ¼ö Àִµ¥
°¡²û ¾Ç¼ºÁ¾¾çµµ ¹ß»ýÇϱ⵵ ÇÕ´Ï´Ù. ¼¼¹ÐÇÑ
°Ë»ç¿¡ ÀÇÇÑ Áø´Ü°ú ÀûÀýÇÑ Ä¡·á¸¦ ÇÔÀ¸·Î½á
Á¦°ÅÇϰųª ¾ïÁ¦ ÇÒ ¼ö ÀÖ½À´Ï´Ù.
¾È±¸Á¦°Å
¹× ÀûÃâ¼ú
¿Ü»óÀ̳ª Áúº´¿¡ ÀÇÇØ
¾È±¸¸¦ Á¦°ÅÇØ¾ß µÉ °æ¿ì³ª ´«ÀÌ ¼öÃàÇØÁ®
¹Ì¿ë»ó Á¦°Å¸¦ ¿øÇÏ´Â °æ¿ì¿¡ ¿òÁ÷ÀÓÀ»
ÁÁ°Ô ÇØÁÖ´Â ÀÇ¾È »ðÀÔ¼ú·Î ȯÀÚÀÇ ¸¸Á·µµ¸¦
³ô¿© ÁÙ ¼ö ÀÖ½À´Ï´Ù.
|
|
|
|
|
|
|
|
| |
include ("../../include/busok_foot.php"); ?> |