| include ("../../include/busok_leftmenu03.php"); ?> |
|
| HOME > Áø·á°ú/ÀÇ·áÁø¼Ò°³ > Áø·á°ú/ÀÇ·áÁø |
 |
| |
 |
|
| |
|
|
| |
|
|
| |
µ¿ÅëŬ¸®´Ð |
|
Ãâó : ÀçȰÀÇÇаú - ±èÈñ»ó ±³¼ö ÃÖÁ¾¼öÁ¤ : 2004.07.16 ÀÔ·Â: 2004.07.16 |
| |
|
|
µ¿Åë
Ŭ¸®´ÐÀ̶õ ½Å°æ, ±ÙÀ°, »À, ¹× °üÀýÀÇ
¿øÀÎÀ¸·Î ÀÎÇÑ ±Þ¼º ¶Ç´Â ¸¸¼º µ¿ÅëÀ»
È¿À²ÀûÀ¸·Î Ä¡·á ¹× °ü¸®ÇÏ´Â µ¿Åë Àü¹®Ä¡·á
Ŭ¸®´ÐÀÔ´Ï´Ù.

<
Ãß°£ÆÇ Å»ÃâÁõÀÇ Á¤µµ >
µ¿Åë
Ŭ¸®´ÐÀÇ ´ë»ó ÁúȯÀ» »ìÆìº¸¸é ´ÙÀ½°ú
°°½À´Ï´Ù.
- µð½ºÅ©(Ãß°£ÆÇ Å»ÃâÁõ)¸¦
Æ÷ÇÔÇÑ ¿äÅë
- °æºÎÅë
- ¸¸¼º µÎÅë
¹× ÆíµÎÅë
- À¯Âø¼º °ß°üÀý ³¶¿°(Àϸí
¡®¿À½Ê°ß¡¯)
- ±Ù¸·Åë ÁõÈıº(Àϸí
¡®´ã¡¯)
- °üÀý¿°À¸·Î À¯¹ßµÈ µ¿Åë
-
½ºÆ÷Ã÷ ¼Õ»ó(±Ù ¿°Á ¹× °üÀý ¿°ÁÂ)
-
±³Åë»ç°í¿Í °°Àº »ç°í ÈÄ µ¿Åë µî

<Ãß°£ÆÇ
Å»ÃâÁõÀÇ MRI >
À̿ܿ¡
Ưº°ÇÑ Áúȯ¿¡ ÀÇÇÑ µ¿ÅëÀ» ´Ù·ç°í ÀÖÀ¸¸ç
¹æ»ç¼±ÇÐÀû ¹× ±âŸ °Ë»ç »ó¿¡ ƯÀÌÇÑ
ÀÌ»ó ¾øÀÌ ¹ß»ýµÈ µ¿Åë¿¡ ´ëÇØ¼ Áø´ÜÇϰí
´Ù°¢ÀûÀÎ Ä¡·á¹æÄ§À¸·Î µ¿ÅëÀ» °¨¼Ò½ÃÄÑ,
»çȸ·Î ´Ù½Ã º¹±Í½Ã۰í Àç¹ßÀ» ¹æÁöÇÏ´Â
Ä¡·á¸¦ Çϰí ÀÖ½À´Ï´Ù.
Ä¡·á
¹æ¹ýÀ» °£´ÜÈ÷ ¼³¸íÇϸé, ȯÀÚ¿Í °¡Á·¿¡°Ô
µ¿ÅëÀÇ ¿øÀÎ, Áõ»ó, ¹× ÀÚ¼¼ÀÇ ±³À°(¿äÅë
Çб³ ¿î¿µ), ¿îµ¿¿ä¹ý, ÀçȰġ·á±â±âÀÇ
»ç¿ë, ¾à¹°¿ä¹ý, Ư¼ö ÁÖ»ç¿ä¹ý(°æ¸·¿Ü
ÁÖ»ç¿ä¹ý, ½Å°æ±Ù Â÷´Ü¼ú, ÈİüÀý°³»
ÁÖ»ç¿ä¹ý) µîÀ» ÀÌ¿ëÇÑ µ¿ÅëÀÇ ¿¹¹æ, È¿À²Àû
Ä¡·á ¹× Ä¡·á ±â°£ ´ÜÃà, Àç¹ß ¹æÁö, »çȸȰµ¿
Á¶±â º¹±Í ¹× °Ç°ÇÑ ½ÅüÀ¯Áö µîÀ» ±³À°ÇÔÀ¸·Î½á
ÅëÁõÀ¸·ÎºÎÅÍ ¹þ¾î³¯ ¼ö ÀÖµµ·Ï µµ¿Í µå¸±
°ÍÀÔ´Ï´Ù.
  
<ÈİüÀý°³»
ÁÖ»ç¿ä¹ý>
<µ¿Åë Ä¡·á µµ±¸>
|
|
|
|
| |
|
|
| |
³úÁ¹ÁßŬ¸®´Ð |
|
Ãâó : ÀçȰÀÇÇаú - À±µ¿È¯ ±³¼ö ÃÖÁ¾¼öÁ¤ : 2002.06.11 ÀÔ·Â: 2002.06.11 |
| |
|
|
³úÁ¹ÁßÀ̶õ?
³úÁ¹ÁßÀº
ÈçÈ÷ ÁßdzÀ̶ó°í ¾Ë·ÁÁø º´À¸·Î, ¿ì¸®³ª¶óÀÇ
»ç¸Á ¿øÀÎ Áß¿¡ »ó À§¸¦ Â÷ÁöÇϰí ÀÖÀ¸¸ç,
½Å°æ°è Àå¾ÖÀÇ °¡Àå ÈçÇÑ ¿øÀÎÀÔ´Ï´Ù.
³úÁ¹Áß(Áßdz) À̶ó ÇÔÀº ³úÇ÷°üÀÌ ¸·È÷°Å³ª,
ÅÍÁ®¼ °©Àڱ⠿±â´ÉÀ» »ó½ÇÇϰí, °¨°¢ÀÌ
º¯ÈÇϸç, ÀÎÁö±â´ÉÀÇ Àå¾Ö¿Í ¾ð¾î±â´ÉÀÇ
Àå¾Ö, ±ÕÇü °¨°¢ÀÇ ¼Ò½Ç, ÀÇ½Ä ¼Ò ½Ç °°Àº
°ÍÀ» Ư¡À¸·Î ÇÏ´Â ½Å°æ°è ÁúȯÀÔ´Ï´Ù.
³úÁ¹ÁßÀÇ
¿øÀÎÀº Å©°Ô ³úÃâÇ÷°ú ³ú°æ»öÀÇ µÎ °¡Áö·Î
³ª´ ¼ö ÀÖÀ¸¸ç, ÇãÇ÷ ¼º ÁúȯÀº 24½Ã°£
³»¿¡ ¸·Çû´ø Ç÷°üÀÌ ´Ù½Ã ¶Õ·Á ½Å°æÇÐÀû
ÈÄÀ¯ÁõÀ» ³²±âÁö ¾Ê´Â Àϰú¼º ³ú ÇãÇ÷Áõ°ú
¿µ±¸ÀûÀ¸·Î Ç÷°üÀÌ ¸·È÷´Â ³ú°æ»öÀ¸·Î
³ª´¹´Ï´Ù. ±×¸®°í ³úÃâÇ÷Àº ÁöÁÖ¸·ÇÏ ÃâÇ÷°ú
³ú½ÇÁúÀÇ ÃâÇ÷·Î ³ª´ ¼ö Àִµ¥ ¿øÀÎÀº
°¢°¢ µ¿¸Æ·ù ÆÄ¿°ú °íÇ÷¾ÐÀÌ °¡Àå ¸¹½À´Ï´Ù.
¿ì¸®³ª¶ó¿¡¼´Â Á¡Â÷ °æ»öÀÌ Áõ°¡Çϰí
ÀÖÀ¸³ª, ¾ÆÁ÷µµ ¹Ì±¹À̳ª À¯·´¿¡ ºñÇØ¼
ÃâÇ÷ÀÇ ºóµµ°¡ ÈξÀ ³ôÀº ÆíÀÔ´Ï´Ù. ±×
¿Ü °æ·Ã¼º Áúȯ(°£Áú)À̳ª ³úÁ¾¾ç, ³ú¿°À̳ª
³ú¸·¿° °°Àº °¨¿° ¼º Áúȯ, ´ç´¢º´ ȯÀÚ¿¡¼
ÀúÇ÷´çÀ̳ª °íÇ÷´ç¿¡ ÀÇÇÑ ÀǽļҽÇ, °£°æÈ¸¦
¾Î°í ÀÖ´Â »ç¶÷ÀÌ °©Àڱ⠾ÇȵǾî ÀǽÄ
¼Ò½ÇÀÌ ³ªÅ¸³ª´Â °Í °°Àº °ÍÀº ³ú Á¹ÁßÀ̶ó°í
ÇÏÁö ¾Ê½À´Ï´Ù.
 
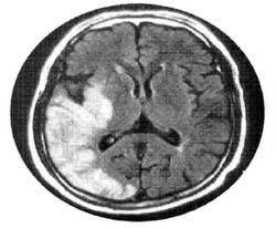
<Áß´ë³úµ¿¸Æ
ÁÖÁÙ±âÀÇ ³ú°æ»ö> <°æ¸·ÇÏ
Ç÷Á¾ÀÇ ¼ö¼ú ÈÄ CT>
³úÁ¹Áß
ȯÀÚÀÇ Áõ»óÀº ±× ħ¹ü ºÎÀ§³ª Å©±â¿¡
µû¶ó ´Ù¸£³ª ÀϹÝÀûÀ¸·Î, ¸¶ºñ ¹× ºÎÀü
¸¶ºñ, °¨°¢ ¼Ò½Ç ¹× ÀÌ»ó °¨°¢, °æÁ÷,
½Ã¾ß°á¼Õ, ÀÎÁöÀå¾Ö, ÆÇ´Ü ¹× °èȹÀÇ Àå¾Ö,
Ãæµ¿Áõ, ½ÇÁ¶, ÀÇ»ç ¼ÒÅëÀÇ Àå¾Ö(½Ç¾îÁõ,
±¸À½Àå¾Ö, ¹ß¼ºÀå ¾Ö), ¿¬Çϰï¶õ, °¨Á¤Àû
ºÒ¾È °°Àº Áõ»óÀ» ³ªÅ¸³À´Ï´Ù. ³úÁ¹ÁßÀÇ
¹ß»ýÀ» ÀÇ½É ÇÏ°Ô ÇÏ´Â ¸î °¡Áö À§ÇèÇÑ
¡ÈÄ(ÀüÁ¶ Áõ»ó)·Î´Â ¡®°©ÀÚ±â ÇÑÂÊ ¾ó±¼À̳ª
ÆÈ, ´Ù¸® µî¿¡ ÈûÀÌ ºüÁö°Å³ª Àú¸° ´À³¦ÀÌ
¿Â´Ù¡¯, ¡®°©Àڱ⠸»À» ¸øÇϰųª, ¸»±Í¸¦
¸ø ¾Ë¾Æµè°Å³ª ȤÀº ¹ßÀ½ÀÌ ¾î´ÇØÁø´Ù¡¯,
¡®°©ÀÚ±â ÇÑÂÊ ´«ÀÌ Ä§Ä§ÇØÁö°Å³ª, ½Ã¾ßÀÇ
ÇÑÂÊ ºÎºÐÀÌ Àß ¾È º¸Àδ١¯, ¡®°©ÀÚ±â
¾îÁö·´°Å³ª, ÇÑÂÊÀ¸·Î ÀÚ²Ù ¾²·¯ Áö·Á°í
ÇÑ´Ù¡¯, ¡®Æò¼Ò µÎÅëÀÌ ¾ø´ø »ç¶÷ÀÌ °©ÀÚ±â
½ÉÇÑ µÎÅëÀ» È£¼ÒÇϰųª, Ȥ Àº Æò¼ÒÀÇ
µÎÅë°ú´Â ´Ù¸¥ ¾ç»óÀÇ µÎÅëÀ» º¸Àδ١¯
µîÀÌ ÀÖ½À´Ï´Ù.
³úÁ¹Áß
ȯÀÚÀÇ ¿¹ÈÄ´Â ±× ħ¹üºÎÀ§ ¹× Å©±â¿¡
µû¶ó ´Ù¸£³ª, ÀϹÝÀûÀ¸·Î Ãâ Ç÷ÀÇ °æ¿ì°¡
°æ»öÀÇ °æ¿ìº¸´Ù ³ª»Ú°í, ÀüüÀûÀ¸·Î ¾à
18%´Â »ç¸ÁÇϸç, 9% ¿¡¼ ¿ÏÀü ȸº¹ÀÌ
ÀϾ¸ç, 73%¿¡¼ ºÒ¿ÏÀü ȸº¹ÀÌ ÀϾ´Â
°ÍÀ¸·Î ¾Ë·Á Á® ÀÖ½À´Ï´Ù.
³úÁ¹ÁßÀÇ
¿¹¹æ
³úÁ¹ÁßÀÇ
À§Çè ÀÎÀڷδ °íÇ÷¾Ð, ´ç´¢º´, Èí¿¬,
½ÉÀå Áúȯ, °íÁöÇ÷Áõ, ºñ¸¸ µî°ú °°ÀÌ
³úÁ¹ÁßÀ» Àß ÀÏÀ¸Å³ ¼ö ÀÖ´Â ÁúȯµéÀÌ
Àִµ¥, ÀÌ´Â ¿¹¹æÇÒ ¼ö ÀÖ ´Â À§Çè ÀÎÀÚÀ̹ǷÎ
¹Ì¸® Á¶±â¿¡ ¹ß°ßÇÏ¿© Æò¼Ò¿¡ Àß °ü¸®ÇÏ´Â
°ÍÀÌ ³úÁ¹Áß À» °¡Àå ½±°í È®½ÇÇÏ°Ô Ä¡·áÇÏ´Â
±æÀ̶ó°í ÇÒ ¼ö ÀÖ½À´Ï´Ù.
°íÇ÷¾ÐÀÇ
°æ¿ì¿¡´Â ±ÔÄ¢ÀûÀÎ ÀÏ»ó»ýȰÀ» Çϸé¼
Á¤½ÅÀû ½ÅüÀû ¾ÈÁ¤À» µµ ¸ðÇϰí § À½½ÄÀ»
ÇÇÇÏ¸é¼ ¹«¸®ÇÏÁö ¾Ê´Â ±ÔÄ¢ÀûÀÎ ¿îµ¿°ú
ÇÔ²² Ç÷¾Ð °ÇÏ Á¦¸¦ Åõ¿©Çϸé, »ç¸Á·üÀ̳ª
³úÁ¹ÁßÀÇ Àç¹ß·üµµ Àý¹ÝÀ¸·Î °Ý°¨ÇϰÔ
µË´Ï´Ù. ´ç´¢º´Àº ´çºÐ ¹× ¿·®Á¦ÇÑ, ºñ¸¸ÀÇ
Á¶Àý, Àû´çÇÑ ¿îµ¿, °æ±¸ Ç÷´ç °ÇÏÁ¦ÀÇ
Åõ¿© ¹× Àν¶¸° Ä¡·á µîÀ¸·Î Ä¡·áÇϸé
¿ª½Ã ³úÁ¹ÁßÀ» ¿¹¹æÇÒ ¼ö ÀÖ°Ô µË´Ï ´Ù.
¶ÇÇÑ Èí¿¬Àº Ç÷°ü¿¡ ÀÌ»óÀ» ÀÏÀ¸ÄѼ µ¿¸Æ°æÈÁõÀÌ
ÀÖ´Â °æ¿ì¿¡ ÀÖ¾î¼ ´Â ³úÁ¹ÁßÀÇ ¹ß»ý
ºóµµ¸¦ ³ôÀÌ°Ô µË´Ï´Ù.

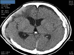
<³úÃâÇ÷ÀÇ
CT>
Áï,
Æò»ó½Ã¿¡ Ç÷¾ÐÀ» ÃøÁ¤ÇÏ¿© ¼öÃà±â¿Í È®Àå±â
Ç÷¾ÐÀ» Àß Á¶ÀýÇϰí Ç÷û ³»ÀÇ ÄÝ·¹½ºÅ×·ÑÀ̳ª
Áß¼ºÁö¹æÀÇ Á¶Àý, ½ÉÀüµµ¸¦ °Ë»çÇØ º¸¸é¼
ÀÌ»ó À¯¹« ¸¦ °Ë»çÇÏ¿© ÀÌ»ó ¼Ò°ßÀÌ ¹ß°ßµÉ
¶§¿¡´Â Ä¡·á¸¦ ½ÃÇàÇϸç, ´ç´¢º´ÀÇ Á¶Àý,
±ÝÁÖ, ±Ý¿¬ µîÀ» ÇÏ¸é¼ Á¤½ÅÀû ½ÅüÀû
¾ÈÁ¤À» µµ¸ðÇÑ´Ù¸é ³úÁ¹ÁßÀ» ¿¹¹æÇÒ ¼ö
ÀÖ°Ô µË´Ï´Ù.
³úÁ¹ÁßÀÇ
ÀçȰ
³úÁ¹Áß
ȯÀÚ¿¡°Ô Á¶±â ÀçȰġ·á¸¦ ½Ç½ÃÇÏÁö ¾Ê¾ÒÀ»
¶§¿¡´Â ¿¹¹æÀÌ °¡´ÉÇÑ ÇÕº´ÁõÀÌ¶óµµ ÃßÈÄ
¹ß»ýÇÏ°Ô µÇ´Âµ¥ °£´ÜÈ÷ ±× Á¾·ù¸¦ ¿°ÅÇÏ¿©
º¸¸é, ¿ì¿ï Áõ, ÁöÀû ´É·ÂÀÇ ÅðÇà, °æÁ÷,
°üÀý ¹× ±ÙÀ°ÀÇ ±¸Ãà, ´ë¼Òº¯ ±â´ÉÀå¾Ö,
ºñ´¢±â°è °¨¿°, ¼Õ°ú ¹ßÀÇ ºÎÁ¾, ¾î±ú
ÅëÁõ, ¾î±úÀÇ ¾ÆÅ»±¸, ½ÉºÎÁ¤¸Æ Ç÷ÀüÁõ
µîÀ» µé ¼ö ÀÖ½À´Ï´Ù. ÇÏÁö¸¸ ÀÌ ¸ðµÎ´Â
ºü¸¥ ÀçȰġ·á·Î¼ °£´ÜÈ÷ ¿¹¹æÇÒ ¼ö ÀÖ½À´Ï´Ù.
³úÁ¹Áß
ȯÀÚÀÇ Á¶±â ÀçȰġ·á·Î´Â ħ´ë¿¡¼ ÀÚ¼¼¸¦
±³À°Çϰí, ±¸ÃàÀ» ¹æÁö Çϱâ À§ÇÑ °üÀý
¿îµ¿À» ½Ã۸ç, ħ´ë¿¡¼ ½ÃÇà °¡´ÉÇÑ
¿îµ¿ÀÇ ±³À° ¹× ´Ù¸é ÀûÀ¸·Î °¨°¢À» ÀڱؽÃ۰í
ÃËÁøÇÏ´Â ¹æ¹ýÀ» »ç¿ëÇÏ¿© ´õ ºü¸¥ ±â´Éȸº¹À»
µ½½À´Ï´Ù. ±× ÈÄ Ä§´ë¸¦ ¹þ¾î³ª ÀçȰġ·á½Ç¿¡¼
±â¸³ÀÚ¼¼¸¦ À¯µµ½ÃŰ´Â ÇÁ ·Î±×·¥À» ¼øÂ÷ÀûÀ¸·Î
½ÃÇàÇϸé¼, Á¾±¹ÀûÀ¸·Î´Â ½º½º·Î °Èµµ·Ï
À¯µµÇÏ°Ô ÇÕ´Ï´Ù. À̶§ °æÁ÷ÀÇ °úµµÇÑ
Áõ°¡³ª ±ÙÀ°ÀÇ ÈûÀÌ Àû´Ù°í ÆÇ´ÜÀÌ µÇ¸é
º¸Á¶ ±â¸¦ ó¹æÇÏ¿© ´õ¿í ȯÀÚ¿¡°Ô ¾ÈÁ¤°¨
ÀÖ´Â Ä¡·á¸¦ ½ÃÇàÇÏ°Ô µË´Ï´Ù. »Ó¸¸ ¾Æ´Ï¶ó
¼Õ°ú ¹ßÀÇ ¹Ì¼¼ÇÑ ±â´ÉÀÇ ¼Õ½Ç°ú °íÂ÷¿øÀûÀÎ
Á¤½ÅȰµ¿ÀÇ ÀúÇϸ¦ ÃÖ ´ëÇÑ µÇ»ì·Á ÁÖ¾î
ÀÏ»ó»ýȰ¿¡¼ µ¶¸³ÀûÀΠȰµ¿À» ¼öÇàÇϱâ
À§ÇÑ ¸ñÀûÀ¸·Î ÀÛ¾÷Ä¡·á¸¦ µ¿½Ã¿¡ ½ÃÇàÇϰí,
¾ð¾î ±â´É¿¡ ÇöÀúÇÑ Àå¾Ö¸¦ °¡Áø ȯÀÚ¿¡°Ô
¾ð ¾î ±â´ÉÀÇ ºü¸¥ ȸº¹À» À§ÇØ ¾ð¾î Ä¡·á¸¦
½ÃÇàÇÕ´Ï´Ù. ÇâÈÄ ³úÁ¹ÁßÀÇ ¿øÀÎ °ú Àç¹ß¿¡
´ëÇÑ È¯ÀÚ ¹× °¡Á·ÀÇ »ó´ã°ú Åð¿ø ÈÄ Áö¼ÓÀûÀÎ
ÃßÀûÀ» ÅëÇÏ¿© Àç ¹ß ¹æÁö¸¦ À§ÇØ ³ë·ÂÇϰÔ
µË´Ï´Ù.

<¿îµ¿Ä¡·á½Ç>
|
|
|
|
| |
|
|
| |
ô¼ö¼Õ»óŬ¸®´Ð |
|
Ãâó : ÀçȰÀÇÇаú - À±µ¿È¯ ±³¼ö ÃÖÁ¾¼öÁ¤ : 2002.06.11 ÀÔ·Â: 2002.06.11 |
| |
|
|
ô¼ö´Â
³ú¿Í ´õºÒ¾î ¿ì¸® ¸öÀÇ ÁßÃß ½Å°æ°è¸¦
±¸¼ºÇϰí ÀÖÀ¸¸ç, ³úÀÇ ¸í·ÉÀ» ½Åü¿¡
Àü´ÞÇÏ´Â Áß¿äÇÑ ¿¬°áÅë·ÎÀÔ´Ï´Ù. µû¶ó¼
±³Åë»ç°í³ª Ãß¶ô»ç°í ¶Ç´Â °¢Á¾ ÁúȯÀ¸·Î
ô¼ö ¼Õ»óÀÌ ¿À°Ô µÉ °æ¿ì¿¡´Â ¼Õ»ó ºÎÀ§
ÀÌÇÏÀÇ ¿îµ¿°ú °¨°¢ ±â´ÉÀÌ ¼Ò½ÇµË´Ï´Ù.
ô¼ö ¼Õ»ó Ŭ¸®´Ð¿¡¼´Â ÀÌ·¯ÇÑ Ã´¼ö ¼Õ»ó
ȯÀÚµéÀ» Àü¹®ÀûÀ¸·Î Ä¡·áÇÏ°í ¿¬±¸Çϰí
ÀÖÀ¸¸ç, ÀÔ¿ø ¹× ¿Ü·¡ ô¼ö ¼Õ»ó ȯÀÚµéÀ»
À§ÇÑ È¯ÀÚ ¸ðÀÓ, »çȸÀûÀÀ ÈÆ·Ã, ¼º ÀçȰ
µî ´Ù¾çÇÑ ÇÁ·Î±×·¥À» °³¹ßÇÏ¿© ¿î¿µÇϰí
ÀÖ½À´Ï´Ù.
ô¼ö
¼Õ»óÀÇ ¿øÀÎ
ô¼ö ¼Õ»óÀ̶õ ô¼ö¿¡
°¡ÇØÁø ¿Ü»óÀ¸·Î ÀÎÇØ Á¤»óÀûÀÎ ¿îµ¿,
°¨°¢ ¹× ÀÚÀ²½Å°æ±â´É¿¡ ÀÌ»óÀÌ »ý±ä »óŸ¦
¸»Çϸç, ½É½Å ¾ç¸éÀ¸·Î ½É°¢ÇÑ ÈÄÀ¯ Àå¾Ö¸¦
ÃÊ·¡ÇÏ´Â Áúȯ Áß ÇϳªÀÔ´Ï´Ù. ÀϹÝÀûÀ¸·Î
ô¼ö ¼Õ»óÀº ÈçÇÏÁö ¾ÊÀº »óÇØÀÔ´Ï´Ù.
±×·¯³ª ô¼ö ¼Õ»óÀÇ ´ëºÎºÐÀº Àþ°í Ȱµ¿ÀÌ
¸¹Àº »ç¶÷µé¿¡°Ô¼ ¹ß»ýÇϸç, ȯÀÚÀÇ 50%
ÀÌ»óÀÌ 30¼¼ ¹Ì¸¸À¸·Î ±× Áß 85%°¡ ÀÛ¾÷
Áß¿¡ »ç°í¸¦ ´çÇÑ °ÍÀ¸·Î º¸°í µÇ°í ÀÖ½À´Ï´Ù.
ô¼ö ¼Õ»óÀÇ ¿øÀÎÀº ¿ì¸®³ª¶óÀÇ °æ¿ì ±³Åë»ç°í°¡
°¡Àå ¸¹À¸¸ç(45.4%), Ãß¶ô(16.8%), ½ºÆ÷Ã÷
¼Õ»ó(16.3%), ±×¸®°í ÆøÇà(14.6%)ÀÇ ¼øÀÔ´Ï´Ù.

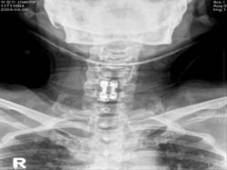
<ô¼ö
¼Õ»ó ÈÄ ¼ö¼ú °á°ú>
ô¼ö
¼Õ»óÀ» ´çÇÏ°Ô µÇ¸é ºÎÀ§¿¡ µû¶ó °¨°¢,
¿îµ¿½Å°æ ¿Ü¿¡ ¹æ±¤°ú ´ëÀå±â´ÉÀ» Á¶ÀýÇÏ´Â
ÀÚÀ²½Å°æÀÇ ±â´ÉÀ» »ó½ÇÇÏ°Ô µÇ¸ç ´Ù¾çÇÑ
ÀÓ»óÁõ»óÀ» º¸ÀÌ°Ô µË´Ï´Ù. ¸¶ºñµÈ ¸öÀÇ
ºÎºÐ¿¡ µû¸¥ ºÐ·ù¸¦ º¸¸é, »çÁö ¸¶ºñ´Â
¸ñ ºÎºÐ¿¡¼ ô¼ö°¡ ¼Õ»óµÇ´Â °ÍÀ¸·Î ¸öÅë°ú
»çÁöÀÇ ¿îµ¿ ¶Ç´Â °¨°¢±â´ÉÀÌ ¼Ò½ÇµÉ »Ó
¾Æ´Ï¶ó ¹æ±¤, ´ëÀå ¹× ¼º ±â´É±îÁöµµ ¼Ò½ÇµË´Ï´Ù.
¶ÇÇÑ ÇÏÁö ¸¶ºñ´Â µî»À ÀÌÇÏ(ÈäÃß, ¿äÃß)
ºÎÀ§¿¡¼ ô¼ö°¡ ¼Õ»óµÇ´Â °ÍÀ¸·Î ¸öÅë°ú
ÇÏÁöÀÇ ¸¶ºñ¿Í ¹æ±¤, ´ëÀå, ¼º ±â´É µîÀÇ
Àå¾Ö°¡ ÀÖ°Ô µË´Ï´Ù. ±× ¿Ü¿¡ ȯÀÚ°¡ ÀÏ»ó»ýȰ¿¡¼
½º½º·Î ±â´ÉÀûÀ¸·Î ¾î¶² µ¿ÀÛÀ» ¼öÇàÇÒ
¼ö ÀÖ´ÂÁö¸¦ ¾Ë·ÁÁÖ´Â ½Å°æÇÐÀû ±â´É ¼öÁØ¿¡
µû¸¥ ºÐ·ù·Î´Â °¨°¢ ¹× ¿îµ¿±â´ÉÀ» ÀüºÎ
ȤÀº ºÎºÐÀûÀ¸·Î »ó½ÇÇÑ °ÍÀ» ³ªÅ¸³»´Â
¿ÏÀü, ºÒ¿ÏÀü ô¼ö ¼Õ»óÀÌ ÀÖ½À´Ï´Ù.

<ô¼ö
¼Õ»ó ȯÀÚÀÇ MRI>
°¡Àå
ÈçÇÑ Ã´¼ö ¼Õ»óÀÇ ÇÕº´Áõ
1.
¿åâ
¿åâÀº ½ÅüÀÇ ÇÑ ºÎÀ§¿¡ Ç÷¾×
¼øÈ¯ÀÌ µÇÁö ¾Ê¾Æ ÇǺΠÁ¶Á÷ÀÌ ±«»çÇÏ´Â
°ÍÀ¸·Î ÇǺο¡ ¾Ð·ÂÀÌ ¿À·§µ¿¾È ÁÖ¾îÁöÁö
¾Êµµ·Ï ÇÏ´Â °ÍÀÌ °¡Àå Áß¿äÇÕ´Ï´Ù. ¾Ð·Â
¿Ü¿¡µµ ¾µ¸², ¸¶Âû, ½À±â µîÀÌ ¿øÀÎÀ¸·Î
ÀÛ¿ëÇÕ´Ï´Ù. ¿åâÀº õ°ñ ºÎÀ§, ²¿¸®»À
ºÎÀ§, Á°ñ ºÎÀ§, ¹ß µÚ²ÞÄ¡ µî¿¡ ÈçÈ÷
»ý±â¸ç, ´ÙÀ½ÀÇ ³»¿ëÀ» Ç×»ó ÁÖÀÇÇØ¾ß
ÇÕ´Ï´Ù.
- ÈÙü¾î¿¡¼´Â
ÃÖ¼ÒÇÑ 30ºÐ¸¶´Ù ¾Ð·ÂÀ» Á¦°ÅÇØ¾ß
ÇÕ´Ï´Ù.
- ħ»ó¿¡¼´Â
ÃÖ¼ÒÇÑ 2½Ã°£¿¡ Çѹø µ¹¾Æ´¯°í,
¾þµå·Á ÀÖ´Â ÀÚ¼¼¿¡ Àͼ÷ÇØ Á®¾ß
ÇÕ´Ï´Ù.
- ¼ö½Ã·Î
ÇǺθ¦ °üÂûÇÏ¿©¾ß Çϴµ¥, ÁÖ·Î
²¿¸® »À ºÎÀ§, ÁÂ¿ì ¾ûµ¢ÀÌ, ¹ß²ÞÄ¡
µîÀ» Àß »ìÆìºÁ¾ß ÇÕ´Ï´Ù.
- º¸Á¶±â¸¦
ÇÏ´Â °æ¿ì¿¡´Â 30ºÐ Âø¿ë ÈÄ ºÓ¾îÁö´Â
ºÎÀ§°¡ ÀÖ´ÂÁö »ìÇǰí 2½Ã°£±îÁö
Âø¿ë ÈÄ¿¡µµ ÇǺο¡ ¹®Á¦°¡ ¾ø´Â
Áö È®ÀÎÇÏ¿©¾ß ÇÕ´Ï´Ù.
- ÇǺθ¦
±ú²ýÇÏ°Ô Çϰí Á¥Áö ¾Êµµ·Ï, ³Ê¹«
°ÇÁ¶ÇÏÁö ¾Êµµ·Ï Çϰí Ãʱ⿡
ȯÀÚ¸¦ ¿Å±æ ¶§´Â ²øÁö ¸»°í,
¹øÂ½ µé¾î ¿Å±é´Ï´Ù.
- ħ´ë¿¡¼
ºñ½ºµëÈ÷ ¾É¾Æ ÀÖÁö ¾Êµµ·Ï Çϰí,
±ÜÈ÷°Å³ª »óó ¹ÞÁö ¾Êµµ·Ï ¾ç¸»°ú
³Ë³ËÇÑ ¿îµ¿È Âø¿ëÀ» Çϸç, °¨°¢
¾ø´Â ºÎÀ§¿¡ ¶ß°Å¿î ÂòÁú ÇÏÁö
¾Ê±â, ¹Ýâ°í ¶ª ¶§ ÁÖÀÇÇϵµ·Ï
ÇÕ´Ï´Ù.
- ÃæºÐÇÑ
¿µ¾ç ¼·Ãë(¹°, ´Ü¹éÁú, ºñŸ¹Î)¿Í
´ã¹è ²÷±âµµ Áß¿äÇÕ´Ï´Ù.

<¿åâÀÇ
Á¤µµ>
2.
½Å°æÀμº ¹æ±¤
ô¼ö ¼Õ»óÀÌ ¾ø´Â Á¤»óÀο¡¼´Â
¼Òº¯ÀÌ ¹æ±¤¿¡ ¸ð¿©Áö¸é ³ú·Î ¼Òº¯ÀÌ Ã¡´Ù´Â
½ÅÈ£¸¦ º¸³»°í, ÀÌ ½ÅÈ£¸¦ ¹ÞÀº ³ú´Â ´Ù½Ã
¹æ±¤À¸·Î ½ÅÈ£¸¦ º¸³» ¼Òº¯À» º¸´Âµ¥ ÇÊ¿äÇÑ
±ÙÀ°µéÀ» ¼öÃà½ÃŰ°Å³ª À̿ϽÃÄÑ ¼Òº¯À»
º¸°Ô µË´Ï´Ù.
±×·¯³ª
ô¼ö ¼Õ»ó ÈÄ¿£ ³ú¿Í ¹æ±¤ »çÀÌÀÇ Àǻ縦
Àü´ÞÇÏ´Â Åë·ÎÀΠô¼öÀÇ ±â´ÉÀÌ Â÷´ÜµÇ¹Ç·Î
¼Òº¯À» Á¤»óÀûÀ¸·Î º¼ ¼ö°¡ ¾ø°Ô µË´Ï´Ù.
µû¶ó¼ Á¤»ó°ú ÃÖ´ëÇÑ ºñ½ÁÇÏ°Ô ±ÔÄ¢ÀûÀ¸·Î
¼Òº¯À» ä¿ì°í ºñ¿ï ¼ö ÀÖ´Â ¹æ¹ýÀ» »ç¿ëÇÏ¿©¾ß
ÇÕ´Ï´Ù. Áï ¼Òº¯ Á¶ÀýÀ» À§ÇÑ ¹æ±¤ ÈÆ·ÃÀ»
ÅëÇÏ¿© ¼Òº¯À» º¸¾Æ¾ß Çϸç, ¼ÕÀ» »ç¿ëÇÒ
¼ö ÀÖ´Â »ç¶÷Àº °£ÇæÀû µµ´¢¹ýÀ» ÀÌ¿ëÇϰí,
¼ÕÀ» »ç¿ëÇÏÁö ¸øÇÏ´Â °æ¼ö ¼Õ»ó ȯÀÚ´Â
°£º´ÀÎÀÌ °£ÇæÀû µµ´¢¹ýÀ¸·Î ¹è´¢ÇÏ´øÁö
¡®µÎµå¸®±â Àڱعý¡¯ µî ¹Ý»ç¸¦ ÀÌ¿ëÇÏ¿©
¼Òº¯À» º¼ ¼ö ÀÖ°Ô µË´Ï´Ù.
±×·¯¹Ç·Î
ô¼ö ¼Õ»ó ÈÄ¿¡ ¹ß»ýÇÏ´Â ¼Òº¯ Á¶Àý Àå¾Ö¿¡¼
¹æ±¤ ÈÆ·ÃÀ» ÇÏ´Â ¸ñÀûÀº »óºÎ ºñ´¢±â°èÀÇ
±â´ÉÀ» º¸Á¸Çϰí, ¿ä½Ç±ÝÀÌ »ýȰ¿¡ ÁöÀåÀ»
ÁÖÁö ¾Êµµ·Ï Á¶ÀýÇÏ´Â °ÍÀÔ´Ï´Ù.
¿¹¸¦
µé¸é ÇÏ·ç ¼öºÐ ¼·Ãë·®Àº 2,000cc ÀÌÇÏ·Î
¼·ÃëÇϰí, ½Ä»ç ½Ã°£ ¿Ü¿¡´Â Çѹø¿¡ ³Ê¹«
¸¹Àº ¼öºÐÀ» ¼·ÃëÇÏÁö ¾Êµµ·Ï ÇØ¾ß ÇÕ´Ï´Ù.
¹ã µ¿¾È ¼Òº¯ ¹èÃâ ´É·Â »ó½Ç°ú °ü·ÃµÈ
¹æ±¤ ¼Õ»óÀÇ °¡´É¼º ¹× ¼ö¸é Àå¾Ö¸¦ ¿¹¹æÇϱâ
À§ÇØ, Àú³á 8½Ã ÀÌÈÄ¿¡´Â ¼öºÐ ¼·Ã븦
±ÝÇÏ¿©¾ß ÇÕ´Ï´Ù. ¹æ±¤ ÈÆ·ÃÀº º¸Åë 4½Ã°£
°£°ÝÀ¸·Î ÇÏ·ç 5¹ø Á¤µµ ½Ç½ÃÇÏ°Ô µÇ´Âµ¥,
¼Òº¯ ¾ç¿¡ µû¶ó Ƚ¼ö¸¦ Á¶Á¤ÇÒ ¼öµµ ÀÖÀ¸¸ç,
ÀÏȸ ¼Òº¯ ¾çÀÌ 400cc¸¦ ³ÑÁö ¾Êµµ·Ï ÇØ¾ß
Çϰí, ÀÜ´¢·®Àº 100cc ÀÌÇÏ·Î À¯ÁöÇÏ´Â
°ÍÀÌ ÁÁ½À´Ï´Ù.
3.
¼º ±â´É ÀÌ»ó
ô¼ö ¼Õ»ó ȯÀÚ¿¡¼ ³²¼º
Áß ¹ß±â°¡ °¡´ÉÇÑ °æ¿ì´Â 64-88%±îÁö º¸°íµÇ°í
ÀÖ°í, ¼º±³°¡ °¡´ÉÇÒ Á¤µµÀÇ ÃæºÐÇÑ ¹ß±â´Â
23%¿¡¼ ³ªÅ¸³´Ù°í º¸°íÇϰí ÀÖ½À´Ï´Ù.
ô¼ö Àå¾ÖÀÎÀÇ ¹ß±â´Â ¹Ý»ç¼º ¹ß±â¿Í Á¤½Å¼º
¹ß±â·Î ³ª´©¾îÁý´Ï´Ù. ¹Ý»ç¼º ¹ß±â´Â ¾²´Ùµë°Å³ª
À½¸ð¸¦ ´ç±â´Â °æ¿ì, ±¸°À̳ª Áøµ¿ ÀÚ±ØÀ»
ÁÖ´Â °æ¿ì, ¹æ±¤ÀÌ °¡µæ Âù °æ¿ì µî¿¡¼
ÀϾ¹Ç·Î, »çÀü¿¡ ±³À°À» ÅëÇÏ¿© ¿©¼º
°£º´ÀÎÀ̳ª °£È£»ç, ±×¸®°í ȯÀÚ ÀÚ½ÅÀÌ
´çȲÇÏÁö ¾Êµµ·Ï ÇÏ´Â °ÍÀÌ ÇÊ¿äÇÕ´Ï´Ù.

<Áø°øÈíÀÔ±âÀÇ
¸ð½À°ú »ç¿ë¹æ¹ý>
¹ß±â
´É·ÂÀ» ȸº¹Çϱâ À§ÇØ ¸¹Àº ¹æ¹ýÀ» »ç¿ëÇϰÔ
µÇ´Âµ¥, ÃÖ±Ù¿¡´Â °æ±¸¿ë ¾à¹°ÀÌ ¸¹ÀÌ
¾²À̰í ÀÖÀ¸³ª Ä¡¸íÀûÀÎ ÇÕº´ÁõÀÌ ³ªÅ¸³¯
¼ö ÀÖ¾î ²À Àü¹®ÀÇÀÇ Ã³¹æ¿¡ ÀÇÇØ »ç¿ëÇØ¾ß
Çϸç, ¹ß±â À¯¹ßÁ¦ Áֻ糪 Áø°ø À½°æ ÈíÀÔ±â,
À½°æ º¸Çü¹° »ðÀÔ¼ú µî ¿©·¯ °¡Áö ¹æ¹ýÀÌ
¾²ÀÏ ¼ö ÀÖ½À´Ï´Ù.
¡®¹ß±â
ºÎÀü¡¯, ¡®±ØÄ¡°¨¿¡ µµ´ÞÇÏÁö ¸øÇÔ¡¯,
¡®Ã¼À§ÀÇ ¾î·Á¿ò¡¯ µîÀÇ Ã´¼ö ¼Õ»ó ºÎºÎµéÀÌ
°Þ´Â ¾î·Á¿òÀ» Àü¹®°¡¿ÍÀÇ »ó´ã°ú °¢ »ç·Ê
º°·Î ¸Â´Â Ä¡·á¸¦ ½ÃÇàÇÏ¿© ÀӽŰú Ãâ»ê±îÁö
¼º°øÇÒ ¼ö ÀÖ´Â ¿Ã¹Ù¸¥ ÀçȰ Ä¡·á°¡ ½ÃÇàµÇ¾î¾ß
ÇÒ °ÍÀÔ´Ï´Ù. |
|
|
|
| |
|
|
| |
°ñ´Ù°øÁõŬ¸®´Ð |
|
Ãâó : ÀçȰÀÇÇаú - ±èÈñ»ó ±³¼ö ÃÖÁ¾¼öÁ¤ : 2004.07.16 ÀÔ·Â: 2004.07.16 |
| |
|
|
¾ðÁ¦³ª
Àþ°í °Ç°ÇÏ°Ô »ì°í ½ÍÀº °ÍÀÌ ¸ðµç À̵éÀÇ
¹Ù·¥ÀÌÁö¸¸, ÀϹÝÀûÀ¸·Î »ç¶÷ÀÇ »À´Â 20´ë¿¡
°¡Àå °ÇÏ°í ±× ÀÌÈĺÎÅÍ´Â Á¡Â÷ ¾àÇØÁý´Ï´Ù.
ƯÈ÷ Áß³âÀÌÈÄ¿¡´Â ³ªÀÌ¿¡ µû¶ó Á¡Â÷ °ñ¹Ðµµ
Áï, »ÀÀÇ Ä®½·ÀÌ ÁÙ¾îµé¸ç ¿©¼ºÀÇ °æ¿ì
»ÀÀÇ Ä®½·À» ÁöÄÑÁÖ´Â ¿©¼ºÈ£¸£¸óÀÌ Æó°æ°ú
ÇÔ²² ¼Ò½ÇµÇ¸é¼ °°Àº ¿¬·ÉÀÇ ³²¼ºº¸´Ù
ÈξÀ ´õ ºü¸£°Ô »À°¡ ¾àÇØÁý´Ï´Ù.
»À°¡
¾àÇØÁö¸é ÀϹÝÀûÀ¸·Î ôÃßÀÇ Å©±â°¡ ÁÙ¸é¼
۰¡ ÁÙ¾îµé°í, Ç㸮³ª µîÀÌ ±Á¾îÁö¸ç,
¿äÅëÀÌ »ý±â°í, »ç¼ÒÇÑ Ãæ°Ý¿¡µµ ¾àÇØÁø
»À·Î ÀÎÇØ °ñÀýÀÌ »ý±â±â ½¬¿ö ƯÈ÷ ¼Õ¸ñÀ̳ª
´ëÅð°ñÀÇ °ñÀýÀÌ Àß »ý±â¸ç, ´ÙÄ£ ±â¾ïÀÌ
¾øÀ̵µ ôÃßÀÇ ¾Ð¹Ú°ñÀýÀ» ÈçÈ÷ °Þ°Ô µË´Ï´Ù.
 
<Á¤»ó
°ñ ±¸Á¶> <°ñ´Ù°øÁõÀÇ
°ñ ±¸Á¶>
ÀÌó·³
¿©¼º¿¡¼´Â Æó°æÀÌ µÇ´Â 50¼¼¸¦ ÀüÈÄÇØ¼,
±×¸®°í ³²¼º¿¡¼´Â 70¼¼¸¦ ÀüÈÄ·Î »À°¡
¾àÇØÁö´Â Çö»óÀÌ »ý±â°Ô µÇ´Âµ¥ À̸¦ °ñ´Ù°øÁõÀ̶ó
Çϰí, ¿ì¸®³ª¶ó¿¡µµ Á¡Â÷ °í·ÉÀα¸°¡ Áõ°¡µÊ¿¡
µû¶ó ¸¹Àº ȯÀÚµéÀÌ °ñ´Ù°øÁõÀ¸·Î ÀÎÇÑ
ÅëÁõÀ̳ª °ñÀý·Î °í»ýÇϰí ÀÖ½À´Ï´Ù. ƯÈ÷
°ñ´Ù°øÁõ°ú µ¿¹ÝµÈ ´ëÅð°ñ °ñÀýÀÌ ¹ß»ýÇÑ
°æ¿ì ´ë°³´Â ¼ö¼úÀûÀÎ Ä¡·á°¡ ÇÊ¿äÇϱâ
¶§¹®¿¡, ¼ö¼ú ÈÄ¿¡µµ °í·É ¹× µ¿¹ÝµÇ´Â
°ñ´Ù°øÁõÀ¸·Î ÀÎÇØ Ä¡À¯¿¡ ¾î·Á¿òÀÌ ÀÖÀ¸¸ç
¿©·¯ °¡Áö ÇÕº´ÁõÀ» µ¿¹ÝÇϱ⠽±½À´Ï´Ù.
½ÉÇÑ °æ¿ì 1³â À̳» »ç¸Á·üÀÌ 20% °¡±îÀÌ
µÇ¹Ç·Î ¸·´ëÇÑ °æÁ¦Àû, »çȸÀû ¹®Á¦°¡
¾Æ´Ò ¼ö ¾ø½À´Ï´Ù. µû¶ó¼ °ñÀý ¹ß»ýÀÌÀü¿¡
¿¹¹æÇϰíÀÚ ÇÏ´Â ¸¹Àº ³ë·ÂÀÌ ½ÃÇàµÇ°í
ÀÖ½À´Ï´Ù.
º»
Ŭ¸®´Ð¿¡¼´Â Áø´Ü¹æ»ç¼±°ú, ÇÙÀÇÇаú
µî Ÿ°ú¿Í ±ä¹ÐÈ÷ ÇùÁ¶ÇÏ¿© Á¤È®ÇÑ °ñ´Ù°øÁõ
°Ë»ç¸¦ ½ÃÇàÇϰí ÀÖÀ¸¸ç, °ñ´Ù°øÁõÀÌ ÀÖ´ÂÁö
¶ÇÇÑ ±× ½ÉÇÑ Á¤µµ¸¦ ÆÄ¾ÇÇϰí, ¿øÀÎ °¡´ÉÇÑ
Áúº´ÀÇ µ¿¹Ý À¯¹«¸¦ È®ÀÎÇÑ ÈÄ, Àü¹®ÀûÀÎ
Ä¡·á¸¦ ½ÃÇàÇϰí ÀÖ½À´Ï´Ù.
¿¹¸¦
µé¸é »ÀÀÇ Ä®½·¼Ò½ÇÀ» ¾ïÁ¦ÇÏ´Â ´Ù¾çÇÑ
¾à¹°, Áï ¼±ÅÃÀû ¿©¼ºÈ£¸£¸ó ¼ö¿ëü Á¶ÀýÁ¦Á¦(SERM),
ºñ½ºÆ÷½ºÆ÷³×ÀÌÆ®, ºñŸ¹Î D, ºÎ°©»ó¼±
È£¸£¸ó, Ä®½· µî, ³»º¹¾à°ú ÇÔ²² ÅëÁõ
¿Ïȸ¦ À§ÇÑ ÁÖ»ç¿ä¹ý ¹× º¸Á¶±â ó¹æÀ»
½ÃÇàÇÕ´Ï´Ù. ±×¸®°í °ñ ¼Ò½Ç ¿¹¹æ°ú °ñÀý
¿¹¹æ, ±Ù·Â °È¸¦ À§ÇÑ ¿îµ¿¿ä¹ý°ú ±ÕÇü
ÀâÈù ½ÄÀÌ¿ä¹ýÀÇ ±³À°À» º´ÇàÇϰí ÀÖ½À´Ï´Ù.

<°ñ´Ù°øÁõ
ÈÄ Ã´Ãß °ñÀý¿¡¼ »ç¿ëÇϴ ôÃß º¸Á¶±â>
¾ÕÀ¸·Îµµ
º» Ŭ¸®´Ð¿¡¼´Â ²ÙÁØÈ÷ °ñ´Ù°øÁõ¿¡ ´ëÇÑ
¿¬±¸¸¦ ÁøÇàÇϸé¼, º¸´Ù È¿°úÀûÀÌ°í ¾ÈÀüÇÑ
ÃÖ½ÅÀÇ Ä¡·á¹ýÀ» µµÀÔÇÏ¿©, °ñ´Ù°øÁõ ȯÀÚÀÇ
°íÅëÀ» ÇØ¼ÒÇÒ ¼ö ÀÖµµ·Ï ³ë·ÂÇÒ °ÍÀÔ´Ï´Ù.

<°ñ´Ù°øÁõ¿¡¼ÀÇ
µî Æì±â ¿îµ¿>
|
|
|
|
| |
|
|
| |
³ëÀÎÀçȰŬ¸®´Ð |
|
Ãâó : ÀçȰÀÇÇаú - ±èÈñ»ó ±³¼ö ÃÖÁ¾¼öÁ¤ : 2004.07.16 ÀÔ·Â: 2004.07.16 |
| |
|
|
»çȸ°¡
¹ßÀüÇÏ¸é¼ ³ëÀÎ Àα¸°¡ Á¡Á¡ ´Ã¾î³ª°í,
»ýÁ¸ ¿¬·ÉÀÌ ³ô¾ÆÁö¸é¼ ³ëÀκ´¿¡ ´ëÇÑ
À¯º´·ü°ú »çȸÀûÀÎ °ü½ÉÀÌ Áõ°¡ÇÏ¿© ±Þ¼Óµµ·Î
°Á¶µÇ°í ÀÖ´Â ¿µ¿ªÀÌ ¹Ù·Î ³ëÀκ´ÀÔ´Ï´Ù.
ÀϹÝÀûÀ¸·Î
³ëÀκ´À» ¡®±×³É ³ªÀ̰¡ µé¾î¼ ±×·¯·Á´Ï¡¯Çϰí
Åë»óÀûÀÎ ³ëÈ¿Í È¥µ¿ÇÏ´Â ¼ö°¡ Àִµ¥,
³ëÀκ´À» ³ªÀ̰¡ µé¾î ÀÚ¿¬ÀÇ ¼ø¸®¿¡ µû¶ó
À°Ã¼Àû ¶Ç´Â Á¤½ÅÀû ±â´ÉÀÌ ¶³¾îÁö´Â °ÍÀ̶ó
»ý°¢ÇÏ´Â °ÍÀº À߸øÀÔ´Ï´Ù. Áï ³ëÀκ´Àº
³ëÀθ¸ÀÇ µ¶Æ¯ÇÑ »ý¸®Çö»óÀ» º¸À̸é¼
¹ß»ýÇÏ´Â ½ÅüÀû, Á¤½ÅÀû Áúº´À» ÀǹÌÇÕ´Ï´Ù.
³ëÀκ´ÀÇ
Ư¼ºÀ» »ìÆìº¸¸é ´ÙÀ½°ú °°½À´Ï´Ù.
-
2°¡Áö ÀÌ»óÀÇ Áúº´ÀÌ º´Á¸ÇÏ´Â °æ¿ì°¡
¸¹´Ù.
-
Áõ»ó°ú °æ°ú°¡ ºñÀüÇüÀûÀÌ´Ù.
-
ÀǽÄÀå¾ÖÀÇ ¿øÀÎÀÌ ÁßÃ߽Űæ°èÀÌ¿ÜÀÇ ¿øÀο¡
ÀÇÇÑ °æ¿ì°¡ ¸¹´Ù.
-
¼öºÐ ÀüÇØÁú ´ë»ç ÀÌ»óÀÌ Àß ³ªÅ¸³´Ù.
- °¢ °Ë»çÄ¡ÀÇ
°³ÀÎÂ÷°¡ Å©´Ù.
-
¾à¹°¿¡ ´ëÇÑ ¹ÝÀÀÀÌ ´Ù¸£°í ºÎÀÛ¿ëÀÌ Àæ´Ù.
- Ä¡·áÀÇ
¸ñÇ¥°¡ »çȸ ȯ°æ¿¡ µû¶ó ´Þ¶óÁø´Ù.
- ±âŸ : ÇÕº´ÁõÀÌ
Àß »ý±ä´Ù, ¾ÇȰ¡ Àߵǰí ȸº¹ÀÌ ´Ê´Ù,
Á¤½ÅÁõ»óÀÇ ¹ßÇöÀÌ Àæ´Ù µî
³ëÀκ´Àº
Áø´Ü°ú Ä¡·á, »çȸ·ÎÀÇ º¹±Í µî¿¡ ¿©·¯
°¡Áö °í·ÁÇÒ Á¡ÀÌ ´Ù¾çÇϱ⠶§¹®¿¡ ÆÀÀ»
±¸¼ºÇϰí ÀÖ´Â ÀçȰÀÇÇаúÀÇ ¸ðµç Àοø(ÀçȰÀÇÇÐ
Àü¹®ÀÇ, ÀçȰ °£È£»ç, ¹°¸®Ä¡·á»ç, ÀÛ¾÷Ä¡·á»ç,
»çȸ»ç¾÷°¡ µî)¿¡ ÀÇÇØ ÀÌ·ç¾îÁö´Â °ÍÀÌ
ÀÌ»óÀûÀ̶ó ÇÒ ¼ö ÀÖ½À´Ï´Ù.
º»
Ŭ¸®´Ð¿¡¼´Â ±Þ,¸¸¼º ÅëÁõ°ú °ñ´Ù°øÁõ,
ÅðÇ༺ °üÀý¿°, ½Åü¼Ò¸ð·ÎºÎÅÍÀÇ È¸º¹,
Ȱµ¿ÀúÇÏ·Î ÀÎÇÑ ½Åü ÇÕº´Áõ µîÀ» ´ë»óÀ¸·Î
´Ù°¢ÀûÀÎ Á¢±Ù°ú ÀçȰ ÇÁ·Î±×·¥À» ½Ç½ÃÇϰí
ÀÖ½À´Ï´Ù. |
|
|
|
| |
|
|
| |
¹ßŬ¸®´Ð |
|
Ãâó : ÀçȰÀÇÇаú - ÀÌÁ¾ÇÏ ±³¼ö ÃÖÁ¾¼öÁ¤ : 2003.09.23 ÀÔ·Â: 2003.09.23 |
| |
|
|
¹ß
Ŭ¸®´ÐÀº ¹ß ¹× ¹ß¸ñ °üÀý, Á·ºÎÀÇ º¯Çü,
´ç´¢º´¼º Á·ºÎÁúȯ, ±â´É¼º ÀÌ»óÀ¸·Î ÇÏÁöÀÇ
ÅëÁõÀ» ÀÏÀ¸Å°´Â °¢Á¾ ÁúȯÀÇ ¿¹¹æ, Ä¡·á
¹× ÀçȰÀ» ½ÃÇàÇÏ´Â Àü¹® Ŭ¸®´ÐÀÔ´Ï´Ù.
¹ß
Ŭ¸®´Ð¿¡¼ÀÇ ÁÖ Ä¡·á ÁúȯÀº ´ÙÀ½°ú °°½À´Ï´Ù.
-
ÆíÆòÁ·(pes planus, Æò¹ß)
-
¿äÁ·(pes cavus)
- ¹«Áö
¿Ü¹ÝÁõ(hallux valgus, ¾öÁö¹ß°¡¶ô ±¸ºÎ·¯Áü)
-
´ç´¢º´¼º Á·ºÎ Áúȯ(diabetic foot)
-
·ù¸¶Ä¡½º¼º Á·ºÎ Áúȯ
-
Á·Àú ±Ù¸·¿°(plantar fascitis, ¹ß¹Ù´Ú
ÅëÁõ)
- Àç¹ß¼º ¹ß¸ñ ¿°ÁÂ(recurrent
ankle sprain, ¹ß¸ñÀÌ »ß²ýÇÏ´Â Áõ»ó)
-
Á·ºÎÀÇ ½ºÆ÷Ã÷ ¼Õ»ó
-
ÀÛÀº ¹ß°¡¶ô ±âÇü
- ³»,¿Ü¹Ý½½(genu
varum & valgum)
-
¾È¯´Ù¸®(in-toeing gait)
 
<»ç¿ëµÇ´Â
±òâÀÇ Á¾·ù> <taping
ÀÛ¾÷ µµ±¸µé>
¸ÅÁÖ
¿ù¿äÀÏ ¿ÀÈÄ ºÎ¼Óº´¿ø ÀçȰÀÇÇаú ¿Ü·¡¿¡¼
¹ß Ŭ¸®´ÐÀÌ ¿î¿µµÇ¸ç, Á¤È®ÇÑ Áø´ÜÀ»
À§ÇØ Á·ºÎ Àü¹® Áø´ÜÀåºñ¿Í ±âÁ¸ÀÇ ¹æ»ç¼±
°Ë»ç ¹× ±â´ÉÀû º¸ÇàºÐ¼® µîÀ» ½ÃÇàÇϰÔ
µË´Ï´Ù. ±×¸®°í ÁúȯÀÇ Á¾·ù¿Í »óÅ¿¡
ÀûÇÕÇÑ ±â´ÉÀûÀÎ ¹ß º¸Á¶±â¿Í ½Å¹ß µîÀ»
ó¹æÇϸç, ÀûÀýÇÑ ¿îµ¿Ä¡·á ¹× ¹°¸®Ä¡·á,
ÀÏ»ó»ýȰ ½À°üÀÇ ±³À°À» º´ÇàÇϰí ÀÖ½À´Ï´Ù. |
|
|
|
| |
|
|
| |
º¸Á¶±âŬ¸®´Ð |
|
Ãâó : ÀçȰÀÇÇаú - ÀÌÁ¾ÇÏ ±³¼ö ÃÖÁ¾¼öÁ¤ : 2003.09.23 ÀÔ·Â: 2003.09.23 |
| |
|
|
¼±Ãµ¼º
±âÇü, ¿Ü»ó, ¼ö¼ú¿¡ ÀÇÇÑ Àý´Ü µîÀ¸·Î
»óÇÏÁöÀÇ ºÎºÐ ȤÀº Àüü°¡ ¾ø´Â Àý´Ü
ȯÀÚ¿¡¼ ÀçȰÀÇ ±Ã±ØÀû ¸ñÇ¥´Â ȯÀÚÀÇ
³²¾ÆÀÖ´Â ´É·ÂÀ» ÃÖ´ëÇÑ ¹ßÈÖ½ÃÄÑ ºÒ±¸(handicap)¸¦
ÃÖ¼ÒÈÇÏ´Â °ÍÀÔ´Ï´Ù. º¸Á¶±â ¿ª½Ã ÀÌ·¯ÇÑ
ÀçȰġ·áÀÇ ÀϺημ ºÒ±¸ ¶Ç´Â ¹«´É·Â
»óÅÂÀÇ È¯ÀÚ°¡ ÀÏ»ó»ýȰÀÇ ¿©·¯ °¡Áö µ¿ÀÛµéÀ»
¼öÇàÇϴµ¥ µµ¿òÀ» ÁÖ´Â °ÍÀ¸·Î, Å©°Ô
ÀÇÁö(Prosthesis)¿Í º¸À屸(Orthosis)·Î
³ª´ ¼ö ÀÖ½À´Ï´Ù.
ÀÇÁö´Â
¸»ÃÊÇ÷°ü Áúȯ, ¿Ü»ó, °¨¿°, Á¾¾ç, ½Å°æ
¼Õ»ó, ¼±Ãµ¼º ±âÇü µîÀ¸·Î ÀÎÇÏ¿© ½ÅüÀÇ
ÀϺκÐÀ» Àý´ÜÇÏ¿´À» ¶§¿¡ »ç¿ëÇÕ´Ï´Ù.
ÀÎüÀÇ ¿ÜºÎÇ¥¸é¿¡ ºÎÂøÇÏ¿© ¿îµ¿À» Á¦ÇÑÇϰųª
üÁߺÎÇϸ¦ °¨¼Ò½ÃÄÑ ÅëÁõÀ» °æ°¨½Ã۰í
º¯ÇüÀ» ±³Á¤, ¿¹¹æÇÏ¸ç ±â´ÉÀ» ÁõÁø½Ã۴µ¥
¸ñÀûÀÌ ÀÖ½À´Ï´Ù. »ýü ¿ªÇÐÀÇ ¿ø¸®¸¦
ÀÌ¿ëÇÏ¿© ȯÀÚÀÇ Àå¾Ö »óÅ¿¡ °¡Àå ¾Ë¸Â°í,
»ç¿ëÀÌ Æí¸®Çϸç, ¹Ì¿ëÇÐÀûÀ¸·Îµµ ÁÁÀº
ÀÇÁö°¡ ÃÖ±ÙÀÇ Á¦ÀÛ¼ú ¹× ÀÇÁö¿¡ »ç¿ëµÇ´Â
¿©·¯ °¡Áö ¹°ÁúÀÇ °³¹ß·Î ÀÎÇØ ´«ºÎ½Å
¹ßÀüÀ» ÇÏ¿´½À´Ï´Ù. ÀÇÁö´Â Å©°Ô »óÁö
ÀÇÁö¿Í ÇÏÁö ÀÇÁö·Î ³ª´©¾îÁö¸ç »óÁö ÀÇÁöÀÇ
Á¾·ù´Â Æ÷ÇÔÇÏ´Â °üÀý¿¡ µû¶ó ¿Ï°üÀý ÀÇÁö,
ÁÖ°üÀý ÇϺΠÀÇÁö, ÁÖ°üÀý ÀÌ´Ü ÀÇÁö,
ÁÖ°üÀý »óºÎ ÀÇÁö·Î ³ª´ ¼ö ÀÖ½À´Ï´Ù.
¸¶Âù°¡Áö·Î ÇÏÁö ÀÇÁö´Â °í°üÀý ÀÇÁö,
½½°üÀý »óºÎ ÀÇÁö, ½½°üÀý ÇϺΠÀÇÁö,
¹ß¸ñ ÀÇÁö µîÀ¸·Î ³ª´ ¼ö ÀÖ½À´Ï´Ù.
º¸À屸´Â
Å©°Ô ÇÏÁö º¸Á¶±â¿Í »óÁö º¸Á¶±â, ôÃß
º¸Á¶±â·Î ±¸ºÐµË´Ï´Ù. º¸À屸ÀÇ ±â´ÉÀº
ȯÀÚ¿¡°Ô Á¶Á¾ÇÒ ¼ö ¾ø´Â ÆÈ, ´Ù¸®¸¦ Á¶Á¾ÇÒ
¼ö ÀÖ°Ô ÇÏ¿© üÁß ºÎÇϸ¦ °¡´ÉÇÏ°Ô Çϸç,
¼±ÃµÀû ȤÀº ÈÄõÀû ¿øÀÎÀ¸·Î ¿À´Â ÆÈ,
´Ù¸®ÀÇ ±âÇüÀ» ±³Á¤ÇÒ ¼ö ÀÖ°Ô ÇÕ´Ï´Ù.
¶ÇÇÑ ±Ù·ÂÀÇ ¾àÈ·Î ºÒ¾ÈÁ¤ÇÑ °üÀýÀ» º¸È£Çϰųª
Æí¸¶ºñ°¡ ÀÖ´Â ³úÁ¹Áß, °ñ´Ù°øÁõÀ¸·Î ÀÎÇÑ
ôÃßÀÇ ±Þ¼º ¾Ð¹Ú °ñÀý°ú °°Àº °æ¿ì¿¡µµ
º¸À屸¸¦ »ç¿ëÇÏ°Ô µË´Ï´Ù.

<Scott-Craig
º¸Á¶±â>
º¸Á¶±â´Â
¹Ýµå½Ã ÀçȰÀÇÇаú Àü¹®ÀÇ¿¡ ÀÇÇÏ¿© ó¹æ
µÇ¾î¾ß ÇÏ¸ç ´Ü¼øÈ÷ º¸Á¶±â¸¦ ó¹æÇÏ´Â
°ÍÀº ÀçȰġ·áÀÇ ½ÃÀÛ¿¡ ºÒ°úÇÕ´Ï´Ù. Àý´Ü´Ü°ú
ȯÀÚÀÇ ±â´ÉÀ» °í·ÁÇÑ ÀÇÁö¿Í º¸À屸ÀÇ
ÀåÂø(Fitting), ÀåÂø ÈÄ ÈÆ·Ã ¹× Æò°¡µµ
Àǻ翡 ÀÇÇÏ¿© ÀÌ·ç¾îÁ®¾ß ÇÏ¸ç ¶ÇÇÑ ÁÖ±âÀûÀÎ
ÃßÀû°üÂû ¿ª½Ã Àý´ÜȯÀÚÀÇ ÀçȰġ·á¿¡
Áß¿äÇÑ ºÎºÐÀ» Â÷ÁöÇÏ°Ô µË´Ï´Ù.
 
<º¸Á¶±â
Ŭ¸®´Ð¿¡¼ÀÇ team approach>
°æÈñ´ëÇб³
Àǰú´ëÇÐ ºÎ¼Óº´¿ø ÀçȰÀÇÇаú¿¡¼´Â ¸ÅÁÖ
¸ñ¿äÀÏ ¿ÀÈÄ 4½Ã 30ºÐ¿¡ º¸Á¶±â Ŭ¸®´ÐÀ»
¿î¿µÇÕ´Ï´Ù. ÀçȰÀÇÇаú Àü¹®ÀǸ¦ Áß½ÉÀ¸·Î
ÀçȰ°£È£»ç, ¹°¸®Ä¡·á»ç, ÀÛ¾÷Ä¡·á»ç µîÀÌ
¸ðµÎ ¸ð¿© ȯÀÚÀÇ º¸Á¶±â 󹿰ú ÈÆ·Ã
¹× Æò°¡¿¡ Âü°¡ÇÏ´Â ÆÀ Á¢±Ù¹ý(team approach)À¸·Î
½ÃÇàµÇ¸ç, ȯÀÚÀÇ Àý´Ü ÈÄ È¤Àº ¼ö¼ú ÈÄÀÇ
Àå¾Ö ¹× ÅëÁõÀ» ÃÖ¼ÒÈÇϰí ȯÀÚ¿¡ ÃÖÀûȵÈ
º¸Á¶±â¸¦ Àû¿ëÇϱâ À§ÇØ ³ë·ÂÇϰí ÀÖ½À´Ï´Ù.

<Àüµ¿ ÀÇÀÚÂ÷>
<³×¹ß ÁöÆÎÀÌ>
|
|
|
|
| |
|
|
| |
½ºÆ÷Ã÷ÀçȰŬ¸®´Ð |
|
Ãâó : ÀçȰÀÇÇаú - ÀÌÁ¾ÇÏ ±³¼ö ÃÖÁ¾¼öÁ¤ : 2003.09.23 ÀÔ·Â: 2003.09.23 |
| |
|
|
½ºÆ÷Ã÷
ÀçȰ Ŭ¸®´ÐÀº ü·Â ´Ü·ÃÀ» µµ¸ðÇÏ´Â °úÁ¤À̳ª
¶Ç´Â Àü¹®ÀûÀ¸·Î °æ±â¿¡ Á¾»çÇÏ´Â ¼±¼ö¿¡°Ô
¶æÇÏÁö ¾ÊÀº ½ºÆ÷Ã÷ ¼Õ»óÀÌ ÀÖÀ» ¶§ °úÇÐÀûÀÎ
Áø´Ü°ú ü°èÀûÀÎ ÇÁ·Î±×·¥À» Àû¿ëÇÔÀ¸·Î½á
ÇöÀåÀ¸·ÎÀÇ ºü¸¥ º¹±Í¸¦ À§ÇÑ Àü¹® Ŭ¸®´ÐÀÔ´Ï´Ù.
½ºÆ÷Ã÷
ÀçȰÀÇ ÁÖ¿ä ³»¿ëÀº ´ÙÀ½°ú °°½À´Ï´Ù.
- ±Þ¼º ¹× ¼ö¼úÀû óġ
-
¿îµ¿ ¿ªÇÐÀû ±³Á¤ ¹× ¿¹¹æÀû Á¶Ä¡
- ¸ö ¸¸µé±â °úÁ¤ (ÇÙ½ÉÀû
±Ù°£ÀÌ µÊ)
- À¯¿¬¼º,
°íÀ¯ À§Ä¡ °¨°¢ ÈÆ·Ã, ½ÉÆó ±â´É
-
½ºÆ÷Ã÷ ½É¸®
½ºÆ÷Ã÷
¼Õ»óÀÇ ¿¹¹æ¿¡´Â ÃæºÐÇϰí ÀûÀýÇÏ¸ç °úÇÐÀûÀÎ
ÈÆ·Ã¹ý(¿îµ¿·®, Áö¼Ó½Ã°£, °µµ, ºóµµ
µî)ÀÇ Ã³¹æ°ú ½ÅüÀû ¿äÀÎ(°Ç°»óÅÂ, ´Ü·Ãµµ,
Àû¼º µî), ȯ°æ ¿äÀÎ(±âÈÄ, ±â±¸, Áö¸®,
½Ã¼³) µîÀÇ ºÐ¼®ÀÌ ÇʼöÀûÀÔ´Ï´Ù.
¼Õ»óÀÌ
ÀÖÀ» ¶§´Â À̸¦ ÃÖ¼ÒÈÇÏ´Â ±â¼ú ½Àµæ
¹× °æ±â ȯ°æ¿¡¼ ¼Õ»ó ¿¹¹æÀ» À§ÇÑ ½Ã¼³À»
¸¶·ÃÇϰí, ÈÄÀ¯ÁõÀ» ÃÖ¼ÒÈÇÏ´Â ÀÀ±Þóġ
¹× ÀçȰóġÀÇ ±³À°, Àå¾ÖºÎÀ§ÀÇ ºÒ¸®ÇÑ
¿©°ÇÀ» °³¼±ÇÏ´Â ¿îµ¿¹ý ¹× ºü¸¥ °æ±â¿¡ÀÇ
º¹±Í¸¦ À§ÇÑ ÈÆ·Ã¹ý µîÀ» ó¹æ, °æ±â ¼öÇà·ÂÀ»
±Ø´ëÈÇÏ´Â °ÍÀÌ Áß¿äÇÕ´Ï´Ù.
ÇöÀç
º»°úÀÇ ÇÁ·Î±×·¥¿¡ Âü¿©Çϰí ÀÖ´Â ¼±¼öµéÀº
¿¬·É, ¼ºº°, Á¾¸ñ¿¡ °ü°è¾øÀÌ ¸Å¿ì ±¤¹üÀ§Çϸç,
ƯÈ÷ ´Ù³â°£ Ÿª¼±¼öÃÌ Àǹ«½ÇÀåÀ¸·Î
±¹°¡´ëÇ¥ ÁÖÄ¡ÀǸ¦ ´ã´çÇß´ø ÀÌÁ¾ÇÏ ±³¼ö¸¦
ºñ·ÔÇÑ ¿ì¼öÇÑ ÀÇ·áÁøÀÌ ¼º½É²¯ ÃÖ¼±À»
´ÙÇØ Áø·á¿¡ ÀÓÇϰí ÀÖ½À´Ï´Ù. |
|
|
|
| |
|
|
| |
±ÙÀüµµÅ¬¸®´Ð |
|
Ãâó : ÀçȰÀÇÇаú - ÀÌÁ¾ÇÏ ±³¼ö ÃÖÁ¾¼öÁ¤ : 2003.09.23 ÀÔ·Â: 2003.09.23 |
| |
|
|
Àü±âÁø´Ü
¶Ç´Â ±ÙÀüµµ °Ë»ç´Â ÁÖ·Î °¨°¢ÀÌ»óÀ̳ª
µ¿ÅëÁúȯ, ±Ù·ÂÀÇ ¾àÈ¿Í ±Ù °æ·Ã µîÀÇ
Áõ»óÀÌ ÀÖ´Â ½Å°æÁúȯ°ú ±ÙÀ°ÁúȯÀÇ Áø´Ü¿¡
Å« µµ¿òÀÌ µË´Ï´Ù. Áï ¸»ÃÊ ¹× ÁßÃß ½Å°æ°è,
±ÙÀ°°èÀÇ Áø´Ü¿¡ »ç¿ëÇÏ´Â º¸Á¶Àû ¼ö´ÜÀ¸·Î,
±âº»ÀûÀÎ º´·Â ¼öÁý°ú ÀÌÇÐÀû °Ë»ç°¡ ¼±ÇàµÇ¾î¾ß
Çϸç ÀÌ ¹ÙÅÁ À§¿¡ Àü±â Áø´ÜÀÇ °á°ú¸¦
º´ÇÕÇÏ¿©¾ß ¿Ã¹Ù¸¥ Áø´ÜÀ» ÇÒ ¼ö ÀÖ½À´Ï´Ù.
±×·¯¹Ç·Î
Àü±âÁø´ÜÀº Á¤È®ÇÑ ÇØºÎÇÐÀû Áö½Ä°ú »ý¸®ÇÐÀû
Áö½ÄÀ» °®Ãá ¼÷·ÃµÈ Àǻ翡 ÀÇÇØ ½ÃÇàµÇ¾î¾ß
ÇÕ´Ï´Ù. º´·Â ûÃë¿Í ÀÌÇÐÀû °Ë»ç¸¦ ÅëÇÏ¿©
°¨º° Áø´ÜÀ» ¿°ÅÇϰí À̸¦ ¹ÙÅÁÀ¸·Î Àü±âÁø´Ü
°Ë»ç¸¦ °èȹ, ½ÃÇàÇϸç, °Ë»ç °á°ú¿¡ µû¶ó
°¨º° Áø´ÜÀ» Ãß°¡Çϰųª Á¼Çô ³ª°¡ ÃÖÁ¾
Áø´Ü¿¡ À̸£°Ô µÇ´Â ¿ªµ¿Àû °úÁ¤À̶ó ÇÒ
¼ö ÀÖ½À´Ï´Ù.
 
<±ÙÀüµµ
±â°è> <±ÙÀüµµ
°Ë»çÀÇ µµ±¸>
Àü±âÁø´ÜÀº
Å©°Ô ħ ±ÙÀüµµ °Ë»ç¿Í ½Å°æÀüµµ °Ë»ç·Î
±¸¼ºµÇ´Âµ¥, °ü·ÊÀûÀ¸·Î Àü±âÁø´ÜÀ̶õ
¸»º¸´Ù´Â ±ÙÀüµµ °Ë»ç·Î Åë¿ëµÇ°í ÀÖ½À´Ï´Ù.
±ÙÀüµµ °Ë»ç´Â óÀ½¿¡´Â ¸»ÃÊ½Å°æ ¹× ±ÙÀ°ÁúȯÀÇ
Áø´ÜÀ» À§ÇÑ ¼ö´ÜÀ̾úÀ¸³ª ÃÖ±Ù¿¡ À̸£·¯
Á¡Â÷ ÁßÃ߽Űæ°èÀÇ Áø´ÜÀ¸·Î ±× ¿µ¿ªÀ»
È®ÀåÇϰí ÀÖÀ¸¸ç ½Å°æ°è ¹× ±ÙÀ°°èÀÇ ±âÃÊÀû
¿¬±¸ÀÇ ÁøÀü ¹× ±â±âÀÇ ¹ß´Þ·Î ÀÎÇÏ¿©
Á¡Â÷ ¼¼ºÐȵǰí ÀÖ½À´Ï´Ù.
Àü±âÁø´ÜÀÇ
±âº» °³³äÀ¸·Î ¿îµ¿´ÜÀ§¸¦ ¾Ë¾Æ¾ß Çϴµ¥,
¿îµ¿À» À§ÇÑ ¸»ÃʽŰæ°èÀÇ ±âº»Àû Ȱµ¿´ÜÀ§¸¦
¿îµ¿´ÜÀ§¶ó°í Çϰí, ÀÌ´Â ½Å°æÀÇ Àü°¢¼¼Æ÷,
Ãà»è°ú ¼öÃʸ¦ Æ÷ÇÔÇÑ ½Å°æ¼¶À¯, ½Å°æ-±ÙÀ°
Á¢ÇÕºÎ, ±×¸®°í ÀÌ¿¡ ¼ÓÇÏ´Â ¸ðµç ±Ù¼¶À¯¸¦
ÅëÆ²¾î ÀÏÄ´ ÇϳªÀÇ »ý¸®Àû ´ÜÀ§ÀÔ´Ï´Ù.
º»°úÀÇ
±ÙÀüµµ Ŭ¸®´Ð¿¡¼´Â ¾î¶² º´º¯ÀÌ ÀÌ ¿îµ¿´ÜÀ§
Áß ¾î´À °÷À» ħ¹üÇϰí ÀÖ´Â °ÍÀΰ¡¸¦
ÆÇº°ÇÏ´Â °Í°ú ±× º´º¯ÀÌ ±¹¼ÒÀû ħ¹üÀΰ¡
Àü½ÅÀû ħ¹üÀΰ¡, ±× º´º¯ÀÇ Ä§¹üÀÌ ¾î´À
Á¤µµ·Î ½ÉÇÑ »óÅÂÀΰ¡, ±×¸®°í ±× º´º¯ÀÇ
ÁøÇàÀÇ ¿©ºÎ ¶Ç´Â ¾ÇÈ¿©ºÎ¸¦ ÆÇº°Çϰí
ÀÖ½À´Ï´Ù.
 
<½Å°æ
Àüµµ °Ë»ç> <ħ
±ÙÀüµµ °Ë»ç>
|
|
|
|
| |
|
|
| |
°üÀý¿°Å¬¸®´Ð |
|
Ãâó : ÀçȰÀÇÇаú - ±èÈñ»ó ±³¼ö ÃÖÁ¾¼öÁ¤ : 2004.07.16 ÀÔ·Â: 2004.07.16 |
| |
|
|
°üÀý¿°
Ŭ¸®´Ð¿¡¼ÀÇ ´ëÇ¥ÀûÀÎ Ä¡·á ÁúȯÀº ÅðÇ༺
°üÀý¿°(°ñ°üÀý¿°), ·ù¸¶Æ¼½º¼º °üÀý¿°,
°Á÷¼º ôÃß¿°, ¹ÝÀÀ¼º °üÀý¿° µîÀ» µé
¼ö ÀÖ½À´Ï´Ù.
°üÀý¿°ÀÇ
Ä¡·á¿¡´Â Á¤È®ÇÑ Áø´Ü°ú Ãֽž๰¿¡ ´ëÇÑ
dzºÎÇÑ ÀÓ»ó°æÇèÀ» ÅëÇÑ ¼÷·ÃµÈ Åõ¿©,
°üÀýÁÖÀ§ ±ÙÀ°°ú Àδ븦 °ÈÇÏ°í ¿¬ºÎÁ¶Á÷ÀÇ
ÀûÀýÇÑ À¯¿¬¼ºÀ» À¯Áö½Ã۱â À§ÇÑ ÀûÀýÇÑ
¿îµ¿Ã³¹æ°ú ÀçÈ°ÈÆ·ÃÀÌ ÇʼöÀûÀÔ´Ï´Ù.

<¼öºÎÀÇ
°ñ°üÀý¿°>
ÀÌ
Áß ÅðÇ༺ °üÀý¿°Àº ´ë°³ ½ÅüÀÇ ³ëÈ¿¡
ÀÇÇÑ °üÀýÀÇ ÅðÇ༺ º¯È·Î ÀÎÇØ ¹ß»ýÇϰÔ
µÇ¹Ç·Î ³ëÀμº ÁúȯÀ̶ó ÇØµµ °ú¾ðÀº ¾Æ´ÏÁö¸¸,
ÀþÀº »ç¶÷¿¡¼µµ ¹«¸®ÇÑ ¿îµ¿°ú ÀÛ¾÷À¸·Î
ÀÎÇÑ ¼Õ»óÀ¸·Î ÀÌ·¯ÇÑ °üÀý¿°ÀÌ À¯¹ßµÇ±âµµ
ÇÕ´Ï´Ù. Á¤»óÀûÀÎ °üÀý¿¡´Â Ãæ°ÝÀ» ¿ÏȽÃÄÑÁÖ´Â
°üÀý ¿¬°ñ, ¼ÒÀ§ ¹°··»À°¡ ÀÖ¾î °üÀýÀÌ
¿øÈ°ÇÏ°Ô ¿òÁ÷À̵µ·Ï ÀÛ¿ëÇϴµ¥, ÅðÇ༺
°üÀý¿°ÀÇ °æ¿ì ÀÌ °üÀý ¿¬°ñ¿¡ Åðȳª
¼Õ»óÀÌ ÃÊ·¡µÇ¾î ´â°Ô µÇ¹Ç·Î, °üÀý ¿¬°ñÀÇ
Àç»ýÀÌ Ä¡·áÀÇ ±Ù°£ÀÌ µÇ¾î¾ß ÇÒ °ÍÀÔ´Ï´Ù.

<Á¤»ó
¿¬°ñÀÇ Á¶Á÷ÇÐÀû ¼Ò°ß>
¾ÆÄ§À̸é
Ç㸮°¡ »»»»Çϰí ÅëÁõÀ» ´À³¢³ª ¿îµ¿À»
ÇÑ ÈÄ Áõ»óÀÌ ¿ÏȵǴ °Á÷¼º ôÃß¿°Àº
û¼Ò³â±â¿¡ È£¹ßµÇ´Â Áúº´Áß ÇϳªÀÔ´Ï´Ù.
ÀϹÝÀûÀ¸·Î °Á÷¼º ôÃß¿° ȯÀÚ´Â Áúº´
¹× ±× °ü¸®¿¡ °üÇÑ Áö½ÄºÎÁ·, ¿°Áõ¿¡ ÀÇÇÑ
°üÀýÀÇ ¼Õ»ó ¹× °Á÷, ±Þ¼º ÅëÁõ¿¡ ÀÇÇÑ
±ÙÀ°ÀÇ ¿¬Ãà°ú ±×·Î ÀÎÇÑ ¼ö¸é Àå¾Ö, ôÃßÀÇ
°¡µ¿¹üÀ§, Áö±¸·Â, ¹× ±â´É °¨¼Ò, °æÃß,
ÈäÃß ¹× ¿äÃßÀÇ ±¼°î °¨¼Ò¿¡ µû¸¥ ÀÚ¼¼
º¯Çü, Èä°ûÀÇ ¿òÁ÷ÀÓ°ú ±Ù·Â °¨¼Ò¿¡ µû¸¥
È£Èí·Â ÀúÇÏ, ½É¸®-»çȸÀû ¹®Á¦ µîÀÌ ÀÖ°Ô
µÇ¸ç, ÀÌ·¯ÇÑ ¹®Á¦Á¡µéÀÌ Àֱ⠶§¹®¿¡
ȯÀÚ¿¡°Ô ÀÌ Áúȯ ¹× °ü¸®¿¡ ´ëÇÑ ÃæºÐÇÑ
±³À°ÀÌ ÇÊ¿äÇÏ°Ô µË´Ï´Ù.

<°Á÷¼º
ôÃß¿°ÀÇ ¹æ»ç¼± »çÁø>
ÇöÀç
º» Ŭ¸®´Ð¿¡¼´Â ¿Ü·¡¸¦ ÅëÇÑ ¿¬°ñ ¼ººÐ
¾àÁ¦ÀÇ ÁÖ»ç¿ä¹ý, ¾à¹°¿ä¹ý, ¹°¸®Ä¡·á,
ÀÚ°¡ ¿îµ¿ ±³À°, º¸Á¶±â ó¹æ ¹× Å×ÀÌÇÎ
¿ä¹ý µîÀ¸·Î ÅðÇ༺ °üÀý¿°À» Ä¡·áÇϰí
ÀÖ½À´Ï´Ù. ¶ÇÇÑ ¸¹Àº °üÀý¿° ȯÀÚ°¡ ¹«ºÐº°ÇÑ
¹Î°£¿ä¹ýÀ» Æ÷ÇÔÇÑ ¾à¹°ÀÇ ¿À³²¿ëÀ¸·Î
ÀÎÇØ ¿ø·¡ÀÇ °üÀý¿°À̿ܿ¡ ¾àÁ¦ÀÇ ºÎÀÛ¿ëÀ¸·Î
°í»ýÀ» ÇÏ´Â ¿¹°¡ ¸¹±â ¶§¹®¿¡, À§À庴À̳ª
°ñ´Ù°øÁõ, ½Å°æÁõ, ³»ºÐºñ °èÅëÀÇ ¹®Á¦µµ
µ¿½Ã¿¡ Ä¡·áÇÏ¿© ȯÀÚÀÇ Ä¡·á ¸¸Á·µµ¸¦
³ôÀ̰í ÀÖ½À´Ï´Ù.


<½½°üÀý
°ñ°üÀý¿°¿¡¼ÀÇ ¿îµ¿ ¹æ¹ý>

<whirlpool
Ä¡·á±â>
|
|
|
|
| |
|
|
| |
¸»ÃʽŰæ¼Õ»óŬ¸®´Ð |
|
Ãâó : ÀçȰÀÇÇаú - À±µ¿È¯ ±³¼ö ÃÖÁ¾¼öÁ¤ : 2002.06.11 ÀÔ·Â: 2002.06.11 |
| |
|
|
¸»ÃʽŰæÀ̶õ
ÁßÃ߽ŰæÀÎ ³ú¿Í ô¼ö¸¦ Á¦¿ÜÇÑ ¿ì¸® ¸öÀ»
Áö¹èÇϰí ÀÖ´Â ½Å°æÀ» ¸»Çϸç, ÀÌ ½Å°æÀÌ
¿Ü»óÀ̳ª ´Ù¸¥ ¿©·¯ °¡Áö Áúȯ¿¡ ÀÇÇØ
¼Õ»óµÇ´Â °æ¿ì °Ë»ç¿Í ÇÔ²² ÀûÀýÇÑ Ä¡·á¸¦
ÁøÇàÇÏ´Â °ÍÀÌ ¸»ÃÊ½Å°æ ¼Õ»ó Ŭ¸®´ÐÀÔ´Ï´Ù.
¸»ÃʽŰæ
¼Õ»ó Ŭ¸®´Ð¿¡¼ Ä¡·áÇÒ ¼ö ÀÖ´Â ´ëÇ¥ÀûÀÎ
ÁúȯÀ» ¿°ÅÇØ º¸¸é ´ÙÀ½°ú °°½À´Ï´Ù.
- ¾È¸é¸¶ºñ(±¸¾È¿Í»ç)
-
±³Åë»ç°í µî¿¡ ÀÇÇÑ »ó¿Ï ½Å°æÃÑ ¶Ç´Â
¿äõÃß ½Å°æÃÑ ¼Õ»ó
-
´Ü¹ß¼º ½Å°æ ¼Õ»ó(Á°ñ½Å°æ ¼Õ»ó, ºñ°ñ½Å°æ
¼Õ»ó, ô°ñ ½Å°æ ¼Õ»ó, ¿ä°ñ½Å°æ ¼Õ»ó
µî)
- Á߳⠿©¼º¿¡¼
ÈçÇÑ ¼Õ Àú¸²À» ÈçÈ÷ ÀÏÀ¸Å°´Â ¼ö±Ù°ü
ÁõÈıº
- ´ç´¢º´¼º
¸»ÃʽŰ溴Áõ

<ô°ñ½Å°æ
¼Õ»óÀÇ Áõ»ó>
ÀúÈñ
¸»ÃÊ½Å°æ ¼Õ»ó Ŭ¸®´Ð¿¡¼´Â ±ÙÀüµµ °Ë»ç¿Í
°°Àº Çö´ëÀûÀÎ Àåºñ¸¦ ÅëÇØ Á¤È®È÷ Áø´ÜÇÑ
³»¿ë¿¡ µû¶ó Ä¡·á°èȹÀ» ¼ö¸³Çϰí, Àú¸²°ú
ÅëÁõÀ» Ä¡·áÇϴ Ư¼ö ÁÖ»ç¿ä¹ý°ú ¾à¹°¿ä¹ý,
½Å°æÀç»ýÀ» À§ÇÑ ¾à¹°¿ä¹ý, ±ÙÀ°ÀÇ Àç±³À°°ú
ÀÜÁ¸ ÀåÇØ¸¦ ÃÖ¼ÒȽÃŰ´Â ´Ù¾çÇÑ ÀçȰ
ÇÁ·Î±×·¥ µîÀ» ¼öÇàÇϰí ÀÖ½À´Ï´Ù. |
|
|
|
| |
|
|
| |
ºñ¸¸¿îµ¿Å¬¸®´Ð |
|
Ãâó : ÀçȰÀÇÇаú - ±èÈñ»ó ±³¼ö ÃÖÁ¾¼öÁ¤ : 2004.07.16 ÀÔ·Â: 2004.07.16 |
| |
|
|
Çö´ëȵÈ
½Ä»ýȰ°ú »ýȰ ½À°üÀÇ ¿µÇâÀ¸·Î ¼·Ãë°¡
¼Òºñ¸¦ ÃʰúÇÏ´Â ¿µ¾ç ºÒ±ÕÇüÀÌ ¹ß»ýÇÕ´Ï´Ù.
ÃʰúµÈ ¿·®ÀÌ Áß¼ºÁö¹æÀÇ ÇüÅ·ΠÁö¹æ
Á¶Á÷¿¡ °úÀ× ÃàÀûµÇ¾î ÀÖ´Â ºñ¸¸Àº ¹Ì¿ë»óÀÇ
¹®Á¦»Ó¸¸ ¾Æ´Ï¶ó °íÇ÷¾Ð, ½ÉÇ÷°ü Áúȯ,
´ç´¢º´, ÁöÁú ¹× Áö´Ü¹é ÀÌ»ó, °üÀý Áúȯ(°ñ°üÀý¿°,
¿äÅë µî), ´ã³¶ Áúȯ, È£Èí±â´ÉÀÇ Àå¾Ö,
¼º±â´É ÀÌ»ó, ÀÛ¾÷´É·Â ÀúÇÏ, ÇÇ·Î ¹×
¹«·ÂÁõ µîÀÇ Áúȯ µîÀ» µ¿¹ÝÇÏ°Ô µË´Ï´Ù.
µû¶ó¼
ºñ¸¸Àº ¹Ýµå½Ã Ä¡·á¸¦ ÇØ¾ß ÇÏ´Â Áúº´À¸·Î
Àνĵǰí ÀÖÀ¸¸ç ü°èÀûÀÎ Áø´Ü, Ä¡·á¸¦
À§ÇØ ºñ¸¸ Ŭ¸®´ÐÀ» ã´Â À̵µ Áõ°¡Çϰí
ÀÖ½À´Ï´Ù.
º»
Ŭ¸®´Ð¿¡¼´Â À¯ÀüÀû ¿øÀÎ, ³»ºÐºñ Áúȯ,
¿îµ¿ ºÎÁ·, °ú½Ä, ¾à¹°(½ºÅ×·ÎÀ̵å, Ç׿ì¿ïÁ¦),
½É¸®Àû ¿äÀÎ µî, ºñ¸¸À» ÀÏÀ¸Å°´Â ¿øÀÎÀ»
¹àÇô³»°í ±× Áß ±³Á¤ÀÌ °¡´ÉÇÑ ÀÎÀÚ¸¦
ã±â À§ÇÏ¿© °¢Á¾ °Ë»ç¹æ¹ýÀ» ½ÃÇàÇϰí
ÀÖ½À´Ï´Ù.
ƯÈ÷
º»°ú¿¡ ºñÄ¡µÈ üÁö¹æ ºÐ¼®±â(InBoby 3.0
- Body Composition Analyser)¸¦ ÀÌ¿ëÇÏ¿©
½Åü °èÃø ¹× üÁö¹æ ºÐ¼®[ü Áö¹æÀ²(%),
ü Áö¹æ·®(kg), ü ¼öºÐ·®(L), »À, ±ÙÀ°·®(kg)
µî]À» ½Ç½ÃÇϰí ÀÖÀ¸¸ç, ÇǺΠµÎ²² ÃøÁ¤±â,
º¹ºÎ ÃÊÀ½ÆÄ, º¹ºÎ CT¸¦ ÅëÇØ °¢ ºÎÀ§º°
»ó´ëÀû Áö¹æ·®À» ÆÄ¾ÇÇÏ¿© °¢ °³Àο¡°Ô
ÀûÀýÇÑ ¾à¹° ó¹æ ¹× ¿îµ¿ ó¹æ, ¿µ¾ç»ó´ã,
½É¸®»ó´ãÀ» ÅëÇØ ¼º°øÀûÀÎ ºñ¸¸ Ä¡·á¸¦
½ÃÇàÇϰí ÀÖ½À´Ï´Ù.

<üÁö¹æ
ºÐ¼®±â>
|
|
|
|
|
|
|
|
| |
include ("../../include/busok_foot.php"); ?> |