| include ("../../include/busok_leftmenu03.php"); ?> |
|
| HOME > Áø·á°ú/ÀÇ·áÁø¼Ò°³ > Áø·á°ú/ÀÇ·áÁø |
 |
| |
 |
|
| |
|
|
| |
|
|
| |
¾È¸é°æ·Ã ¹× µ¿ÅëŬ¸®´Ð |
|
| |
|
|
´ã´ç±³¼ö
: À̺À¾Ï, ÃÖÇõÀç
¹®ÀÇ : 02-958-8381-2
¾È¸é°æ·Ã
¹× µ¿ÅëŬ¸®´ÐÀº ³ú µÞºÎºÐÀÇ ¼Ò³ú¿Í ³ú±³°¢ ºÎÀ§¿¡¼ ±â¿ø ¹× À§Ä¡Çϰí
ÀÖ´Â ³ú½Å°æ Áï Á¦5(»ïÂ÷½Å°æ), Á¦7(¾È¸é½Å°æ), Á¦8(ÀüÁ¤-û°¢½Å°æ),
Á¦9,10(¼³ÀÎ ¹× ¹ÌÁֽŰæ), Á¦11(ô¼ö-ºÎ½Å°æ)ÀÇ ±â´É Ç×ÁøÀ¸·Î À¯¹ßµÇ´Â
ÁúȯµéÀ» Á¾ÇÕÀûÀ¸·Î Áø´ÜÇÏ°í ¼ö¼úÀû Ä¡·á¸¦ ÇÏ´Â ½Å°æ ¿Ü°ú ºÐ¾ß¿¡¼ÀÇ
Ư¼öŬ¸®´ÐÀÌ´Ù.
¿©±â¿¡
°ü·ÃµÇ´Â ÁúȯÀ¸·Î´Â Á¦5³ú½Å°æÀÌ °ü·ÃµÇ´Â »ïÂ÷½Å°æÅë, Á¦7½Å°æÀÌ °ü·ÃµÇ´Â
¾È¸é°æ·ÃÁõ, Á¦8½Å°æÀÌ °ü·ÃµÇ´Â üÀ§¼º ¾îÁö·¯¿òÁõ°ú À̸Í, Á¦9, Á¦10½Å°æÀÌ
°ü·ÃµÇ´Â ¼³ÀÎ ¹ÌÁֽŰæÅë, Á¦11³ú½Å°æÀÌ °ü·ÃµÇ¾î ¸ñÀÌ ÇÑÂÊÀ¸·Î µ¹¾Æ°¡´Â
°æ·Ã¼º »ç°æ µîÀÌ ÀÌ¿¡ ÇØ´çµÈ´Ù. Ãß°¡ÇÏ¿© ³úÇ÷°üÀÌ ¿¬¼öÀÇ Ç÷¾ÐÁ¶Àý
½Å°æÁßÃ߸¦ ¾Ð¹ÚÇÏ¿© ¹ß»ýµÇ´Â º»Å¼º °íÇ÷¾ÐÀÇ ÀϺεµ ÀÌ Ä¡·áÀÇ ¹üÁÖ¿¡
ÇØ´çµÈ´Ù. À̵é Áúȯ Áß Æ¯È÷ ¾È¸é°æ·ÃÁõ°ú »ïÂ÷½Å°æÅëÀÇ ¹ß»ý·üÀÌ 85%
ÀÌ»óÀ» Â÷ÁöÇϰí ÀÖÀ¸¹Ç·Î ¾È¸é ¹× µ¿ÅëŬ¸®´ÐÀ¸·Î ºÎ¸£°í ÀÖ´Ù.

À̵é
ÁúȯµéÀÇ ¿øÀÎÀ¸·Î´Â ¼Ò³ú±³°¢ ºÎÀ§ÀÇ Áö¹æÁ¾, Ç¥Çdz¶Á¾, ¼ö¸·Á¾, û½Å°æÁ¾
µîÀÇ Á¾¾çÀ̳ª, µ¿Á¤¸Æ±âÇü, µ¿¸Æ·ù µîÀÌ ÀÖÁö¸¸ ÀÌ ºÎÀ§¿¡ Á¸ÀçÇÏ´Â
Ç÷°üµéÀÌ ³ú°£ºÎ¿¡¼ ±â½ÃµÇ´Â ½Å°æ±Ù±â½ÃºÎ¸¦ ¾Ð¹ÚÇϰí ÀÖ´Â Áï Ç÷°ü¾Ð¹ÚÀ¸·Î
ÀÎÇÑ ¿øÀÎÀÌ ´ëºÎºÐÀ» Â÷ÁöÇϰí ÀÖ´Ù.
¾È¸é°æ·ÃÁõÀº
ÀúÀý·Î ÇÑÂÊ ¾ó±¼¿¡ °æ·ÃÀÌ ¹Ýº¹Çؼ ¹ß»ýÇÏ°í ±× ¹ßÀÛ È¸¼ö¿Í °µµµµ
½Ã°£ÀÌ Áö³²¿¡ µû¶ó Á¡Â÷ÀûÀ¸·Î °ÇØÁö°í ÀÚÁÖ ÀϾ´Â °æ·ÃÁõÀÌ´Ù.
ÀÌ °æ·ÃÀº º¸Åë Áß³âÀ̳ª ³ëÀÎ ±×¸®°í ¿©ÀÚ¿¡°Ô¼ Àß ³ªÅ¸³ª¸ç, ÀÚ±â
ÀÚ½ÅÀÇ ÀÇÁö·Î½á ¸ØÃß¾îÁöÁö ¾Ê´Â´Ù. ¶ÇÇÑ ÀÌ °æ·ÃÀº ÀÏ»ó»ýȰ µµÁß¿¡
¹ß»ýÇϸç, ŸÀΰúÀÇ ´ëȳª Áß´ëÇÑ È¸ÀÇ, ±×¸®°í Áß¿äÇÑ ¸ðÀÓ µî¿¡¼
Á¤½ÅÀû ½ºÆ®·¹½º³ª ÇÇ°ï ¹× ±äÀå µîÀÇ ¿äÀο¡ ÀÇÇØ¼ ¾ÇȵDZ⵵ ÇÑ´Ù.
¾ó±¼ÀÇ °¨°¢À» Áö¹èÇÏ´Â ½Å°æÀº »ïÂ÷½Å°æÀ̸ç, ´«°ú ÀÔÀ» ±âÁØÀ¸·Î 3°³ÀÇ
ºÐÁö·Î ³ª´©¾îÁ® ÀÖ´Ù. ¾î´À³¯ °©ÀÚ±â ¾ó±¼ Æ¯È÷ À̸¶³ª ´«ÁÖÀ§, ÄÚÁÖÀ§,
ÀÕ¸ö, ÅÎÁÖÀ§ µî¿¡¼ ¿¹¸®ÇÑ ¹Ù´Ã·Î ƯÈ÷ ºÒ¿¡ ´Þ±º ¼ö½Ê°³ÀÇ ¹Ù´Ã·Î
Â´Â µíÇÑ °Ý·ÄÇÑ ÅëÁõÀÌ ¼¶±¤Ã³·³ ¼öÃÊ ³»Áö ¼öºÐµ¿¾È ¹Ýº¹ÀûÀ¸·Î
»ý±ä´Ù¸é Ʋ¸²¾øÀÌ »ïÂ÷½Å°æÅëÀ̶ó°í Áø´ÜÇÏ¸é µÈ´Ù. ÀÌ ÅëÁõÀº Çѹø
¹ß»ýÇÑ ÈÄ ¼öÀÏ ³»Áö ¼öÁÖ°£ ¾ðÁ¦ ¾ÆÆÍ³Ä´Â µíÀÌ ÀüÇô ¾Æ¹«·¸Áö ¾Ê°Ô
Áö³¾ ¼ö ÀÖ´Â È޽ı⵵ °¡Áö°í ÀÖ´Ù. ÀÕ¸ö¿¡ ÅëÁõÀÌ ÀÖ´Â »ç¶÷µéÀº ÀÏÂ÷ÀûÀ¸·Î
Ä¡°ú¿¡¼ Ä¡·á¸¦ ¹Þ±âµµ ÇÏ°í ¹ßÄ¡¸¦ Çϱ⵵ Çϳª ÀüÇô È£ÀüµÇÁö ¾Ê´Â´Ù.
º» Ŭ¸®´Ð¿¡¼ 2010³â 6¿ù 22ÀϱîÁö 2.377·ÊÀÇ ¾È¸é°æ·Ã°ú ¾È¸éÅëÁõȯÀÚ¸¦
¼ö¼ú·Î¼ Ä¡·áÇÏ¿´À¸¸ç, ±× Ä¡·áÀÇ ¼ºÀûÀº ¹Ì±¹ÀÇ ÀÚ³»Å¸±³¼öÀÇ ¼º°ø·ü
80%º¸´Ùµµ ÈξÀ ³ôÀº ¼ö¼ú È¿°ú¸¦ ³ªÅ¸³»°í ÀÖ´Ù. ƯÈ÷ º» Ŭ¸®´ÐÀº
±× µ¿¾ÈÀÇ Ç³ºÎÇÑ ¼ö¼ú°æÇèÀ» Åä´ë·Î ÇÏ¿© µ¶ÀÚÀûÀ¸·Î ¿©·¯ ¼ö¼úÀ» Á¢¸ñ½ÃŲ
º´ÇÕ¼ö¼ú ¹æ¹ýÀ» °³¹ßÇÏ¿© Rhee's Method¶ó°í À̸§À» ºÙ¿© ¼ö¼úÀ» Çϰí
ÀÖÀ¸¸ç, ±× ¾ÈÀü¼º°ú ¿ÏÄ¡À²À» 95%±îÁö Çâ»ó½ÃÄÑ ÀÌ ºÐ¾ß¿¡ ÀÖ¾î ¼¼°è
Ÿ ¿¬±¸ Ŭ¸®´Ðº¸´Ù ³ôÀº Ä¡·á¼ºÀûÀ» ¿Ã¸®°í ÀÖ´Ù. Ä¡·áµµÁß¿¡ ¹ß»ýÇÑ
¿øÀÎÀÌ ¾ÆÁÖ Èñ±ÍÇÑ ¾È¸é°æ·ÃÁõÀÇ ¿¹¸¦ ¹Ì±¹½Å°æ¿Ü°úÇÐȸÁö 95³â 2¿ùÈ£¿¡
¼¼°è óÀ½À¸·Î º¸°íÇÏ¿© ¼ö·ÏÇϱ⵵ Çß´Ù.
¾È¸é°æ·ÃÀ̳ª
ÅëÁõÀÌ ÀÖ´Â ¸¹Àº ȯÀÚµéÀº ¿ì¸®³ª¶óÀÇ ÀÇÇÐÀû Ư¼º¿¡ ÀǰÅÇÏ¿© óÀ½¿¡´Â
¹Î°£¿ä¹ýÀ̳ª ¾à±¹, ÇÑÀÇ¿ø, Ä¡°ú µî¿¡¼ Ä¡·á¸¦ ¹Þ°í ÀÖ¾î ¿ÔÀ¸³ª
º» Ŭ¸®´ÐÀÌ È°¼ºÈµÇ±â ½ÃÀÛÇÑ ÀÌÈĺÎÅÍ´Â ÀÌ·± ȯÀÚµéÀÌ Àü±¹ °¢Áö¿¡¼
¹®ÀǸ¦ ÇØ¿À°í ÀÖÀ¸¸ç, ÇöÀç ¿¹¾àÁø·á¸¦ Çϰí ÀÖ´Ù. º» Ŭ¸®´Ð¿¡¼ Ä¡·á¸¦
¹ÞÀº ȯÀÚµéÀº Åð¿ø ÈÄ °ð¹Ù·Î ÀüÇô ÁöÀå¾øÀÌ »çȸ»ýȰ¿¡ º¹±ÍÇϰí ÀÖÀ¸¸ç,
¶ÇÇÑ ¾È¸éÅëÁõ ¾øÀÌ ¿ôÀ¸¸é¼ ÀÏ»ó»ýȰÀ» ¿µÀ§Çϰí ÀÖ´Ù. ÀÌ·± Á¤»óÀûÀÎ
»çȸ»ýȰ¿¡ º¹±ÍÇÑ È¯ÀÚµéÀÌ ÀڽŰú µ¿ÀÏÇÑ ÁúȯÀ» ¾Î°í ÀÖ´Â ¸¹Àº ȯÀڵ鿡°Ô
°æÈñÀÇ·á¿øÀÇ º» Ŭ¸®´Ð¿¡ ¼Ò°³Çϰí ÀÖ¾î Ä¡·áÇýÅÃÀ» ¹Þ´Â ȯÀÚµéÀÇ
¼ö°¡ Áõ°¡µÇ°í ÀÖ´Â ½ÇÁ¤ÀÌ´Ù. |
|
|
|
| |
|
|
| |
³úÇ÷°ü(³úÁ¹Áß,Áßdz)Ŭ¸®´Ð |
|
| |
|
|
´ã´ç±³¼ö
: ±è±¹±â, ÀÓ¿µÁø, °íÁؼ®
³úÇ÷°ü
Áúȯ ÈçÈ÷ ¸»ÇÏ´Â ÁßdzÀº ¿ì¸®³ª¶ó¿¡¼
¾Ï ´ÙÀ½À¸·Î ³ôÀº »ç¸Á·üÀ» º¸ÀÌ´Â ÁúȯÀ̸ç
´ÜÀÏ ÁúȯÀ¸·Î µûÁö¸é ¾Ïº¸´Ù ´õ ³ôÀº
À¯º´À² ¹× »ç¸Á·üÀ» °¡Áö°í ÀÖ´Â º´ÀÔ´Ï´Ù.
¿ì¸®³ª¶ó »ç¶÷µé¿¡°Ô ÀÖ¾î ³úÁ¹ÁßÀº À߸ø
¾Ë·ÁÁø ºÎºÐµµ ¸¹¾Æ ÀÔÀÌ µ¹¾Æ°¡°Å³ª ÈûÀÌ
ºüÁú °æ¿ì º´¿ø¿¡ ¹æ¹®Çϱ⺸´Ù ¹Î°£¿ä¹ýÀ̳ª
ÇÑ¹æ µî¿¡ ÀÇÁöÇÏ´Â °æ¿ì°¡ ¸¹¾Ò½À´Ï´Ù.
±Þ¼º ³úÁ¹Áß(Áßdz)ÀÇ °æ¿ì ¾ó¸¶³ª »¡¸®,
¾ó¸¶³ª Á¤È®È÷ Áø´Ü°ú Ä¡·á°¡ ÀÌ·ç¾îÁö´À³Ä°¡
ȯÀÚÀÇ »ý»ç¿Í Àå¾Ö Á¤µµ¸¦ °áÁ¤Áþ´Â µ¥
ÀÖ¾î Áß¿äÇÕ´Ï´Ù. º» Ŭ¸®´ÐÀÇ °æ¿ì 24½Ã°£
Ç׽à °¡µ¿µÇ´Â ÀÇ·áÁø°ú ³ú CT³ª MRI,
°æµ¿¸Æ ÃÊÀ½ÆÄ °Ë»ç, ³úÇ÷·ù ÃøÁ¤, ½ÉÀå°Ë»ç,
°æµ¿¸Æ ¹× ³úµ¿¸Æ Á¶¿µ°Ë»ç¸¦ ½ÃÇàÇÒ ¼ö
ÀÖÀ¸¸ç À̸¦ ÀÌ¿ëÇÏ¿© ³úÁ¹ÁßÀÇ ºü¸¥ Áø´Ü°ú
Á¶±â óġ¸¦ µµ¸ðÇϰí ÀÖ½À´Ï´Ù.
³úÁ¹ÁßÀº
³úÇ÷°üÀ̳ª °æµ¿¸ÆÀÌ ´Ù¾çÇÑ ¿øÀο¡ ÀÇÇÏ¿©
¸·È÷°Å³ª Á¼¾ÆÁö¹Ç·Î ¼ ³ú¼¼Æ÷ ±â´ÉÀÇ
À¯Áö¿¡ ÇÊ¿äÇÑ Ç÷¾×ÀÌ ºÎÁ·ÇÏ¿© ÀϽÃÀûÀ̰ųª
¿µ±¸ÀûÀ¸·Î ¹Ý½Å¸¶ºñ, ½Ç¾îÁõ µîÀÌ ¹ß»ýµÇ´Â ÇãÇ÷¼º ³úÁ¹Áß°ú °íÇ÷¾Ðµî ¿©·¯
¿øÀÎÀ¸·Î ÀÎÇØ ³úÇ÷°ü¿¡¼ ÃâÇ÷ÀÌ ¹ß»ýÇÏ´Â ÃâÇ÷¼º ³úÁ¹ÁßÀ¸·Î ³ª´²Áý´Ï´Ù.
ÃâÇ÷¼º ³úÁ¹ÁßÀº °íÇ÷¾Ð, ´ç´¢ µîÀ» Àå±â°£
Á¶ÀýÇÏÁö ¾Ê´Â ȯÀÚ¿¡¼ ³úÇ÷°üÀÌ ÆÄ¿µÇ¾î
´ë³ú¿¡ Ç÷Á¾À» Çü¼ºÇÏ´Â °íÇ÷¾Ð¼º ³ú³»ÃâÇ÷°ú
³úÇ¥¸é¿¡ À§Ä¡ÇÑ Å« Ç÷°ü¿¡ ¹ß»ýÇÑ µ¿¸Æ·ù
ȤÀº ³úµ¿Á¤¸Æ±âÇü µîÀÌ ÆÄ¿µÇ¾î ¹ß»ýµÇ´Â ³úÁöÁÖ¸·ÇÏ ÃâÇ÷ µîÀÌ ÀÖ½À´Ï´Ù.
³úÁöÁÖ¸·ÇÏ
ÃâÇ÷ÀÇ ¿øÀÎÀÌ µÇ´Â ³úµ¿¸Æ·ù´Â
Àü Àα¸ÀÇ ¾à 1%¿¡¼ ¹ß»ýµÇ³ª ÆÄ¿µÇ´Â
°æ¿ì´Â ¿ì¸®³ª¶ó¿¡¼ 1³â¿¡ ¾à 5000¿©¸í
Á¤µµÀ̰í ÀÌÁß10-20%´Â ÆÄ¿ ÈÄ º´¿ø¿¡
µµÂøÀÌÀü¿¡ »ç¸ÁµÇ´Â ¹«¼¿î ÁúȯÀÔ´Ï´Ù.
ÆÄ¿µÇ¸é ¸Ó¸®°¡ ÅÍÁú µíÇÑ ½ÉÇÑ µÎÅëÀÌ
¹ß»ýµÇ¸ç ÀǽÄÀ» Àұ⵵ ÇÏ¸ç ±¸Åä ¹×
°æºÎ°Á÷ÀÌ µ¿¹ÝµÇ´Âµ¥ ÀÌ °æ¿ì´Â ºñ±³Àû
¿ëÀÌÇÏ°Ô Áø´ÜµÇ³ª 1Â÷ ÆÄ¿½Ã °æ¹ÌÇϰÔ
Áõ¼¼°¡ ¹ß»ýµÇ¾î ÆíµÎÅë, ±äÀ强 µÎÅë,
°¨±â, ¸ñµð½ºÅ©µîÀ¸·Î ¿ÀÁøµÇ¾î Ä¡·á½Ã±â¸¦
³õÄ¡¾î »ý¸íÀ» ÀÒ´Â °æ¿ìµµ ÀÖÀ¸¹Ç·Î Áø´Ü¿¡
ƯÈ÷ À¯À§ÇÒ Çʿ䰡 ÀÖ½À´Ï´Ù. ȯÀÚ »óŰ¡
ºÒ·®ÇÏÁö ¾ÊÀ¸¸é ´Ù½Ã Æø¹ßÇϱâ Àü¿¡ ³úµ¿¸Æ·ù¸¦
Á¦°ÅÇϱâ À§ÇÑ ¼ö¼úÀ» ½ÃÇàÇÏ´Â °ÍÀÌ ÁÁ°í
º» Ŭ¸®´Ð¿¡¼µµ Á¶±â¿¡ ³úµ¿¸Æ Á¶¿µ°Ë»ç¸¦
½ÃÇàÇÏ°í ¼ö¼úÀ» ½ÃÇàÇÏ¿© ÁÁÀº °á°ú¸¦
¾ò°í ÀÖ½À´Ï´Ù. ³úµ¿Á¤¸Æ±âÇüÀº
¼ö¼úÀÌ ¿ëÀÌÇÑ ºÎÀ§ÀÇ °æ¿ì ¼ö¼ú·Î½á Ä¡·áÇϱ⵵
ÇÏÁö¸¸ ½ÉºÎ¿¡ À§Ä¡ÇÑ °æ¿ì µî ¼ö¼úÀûÄ¡·á
Èûµé°Å³ª º¹ÀâÇÑ °æ¿ì¿¡´Â Ãֽſ¹ Ä¡·á
±â¼úÀÎ °¨¸¶³ªÀÌÇÁ Ä¡·á³ª ÁßÀçÀû Ç÷°ü³»¼ö¼ú·Î
ÀÌ»óÀûÀÎ °á°ú¸¦ ¾ò°Ô µÇ´Â °æ¿ì°¡ ¸¹½À´Ï´Ù.
¶ÇÇÑ ÃÖ±Ù º»¿ø ¹æ»ç¼±°ú¿¡ À¯·´°ú ¹Ì±¹
À¯ÇÐÀ» ¸¶Ä¡°í µ¹¾Æ¿Â ½Å°æ¹æ»ç¼±°úÆÀÀÌ
ÇÕ·ùÇÏ¸é¼ º» ³úÇ÷°ü Ŭ¸®´Ð¿¡ ´õ¿í ´õ
ÈûÀ» ½Ç¾îÁÖ°í ÀÖ½À´Ï´Ù.
ÀϽÃÀûÀ¸·Î
³úÇ÷·ù°¡ ºÎÁ·ÇÏ¿© °©Àڱ⠸¶ºñ³ª ½Ç¾îÁõÀÌ
¹ß»ýµÈ °æ¿ì ÀϽÃÀû ÇãÇ÷¼º ³úÁ¹ÁßÀÇ
¿øÀÎÀÌ °æµ¿¸ÆÀÇ ÇùÂøÀ̳ª ±Ë¾çÀÎ
°æ¿ì ¹Ì¼¼»öÀüÀ̳ª ÇùÂøÀÌ ¿øÀÎÀÎ µ¿¸Æ°æÈ¼º
°áÀýÀ» Á¦°ÅÇÏ´Â ³»°æµ¿¸Æ ³»¸·ÀýÁ¦¼ú »Ó¸¸ ¾Æ´Ï¶ó ÃÖ±Ù¿¡´Â Ç÷°ü ³»¿¡ ±×¹°¸Á(½ºÅÙÆ®)¸¦
ÀÌ¿ëÇÑ ¼ö¼úÀÌ ½ÃÇàµÇ°í ÀÖ´Ù. ¿ì¸®³ª¶ó¿¡¼µµ
³ë·ÉÀα¸ÀÇ Áõ°¡ ¹× ½Ä»ýȰÀÇ º¯È·Î Á¡Â÷
³»°æµ¿¸Æ ÇùÂøÁõ ȯÀÚ°¡ Áõ°¡µÇ´Â Ãß¼¼·Î
¼ö¼úÀÇ ´ë»óÀ» Á¶±â¿¡ ¹ß°ßÇÏ¿© °æµ¿¸Æ
ÇùÂøÀ̳ª ±Ë¾çÀ» Ä¡·áÇÔÀ¸·Î½á ³ú°æ»öÀÇ
¹ß»ýÀ» ¿¹¹æÇÒ ¼öµµ ÀÖ´Ù.
±×¿Ü
¾çÃø °æµ¿¸ÆÀÌ Á¡Â÷ ÇùÂøµÇ¸ç ³ú±âÀúºÎ¿¡
ÀÌ»óÇ÷°ü¸ÁÀ» Çü¼ºÇÏ´Â ¸ð¾ß¸ð¾ßº´ÀÇ
100·Ê¿¡ ´ëÇÑ ÀÚ¿¬ º´·ÂÀÇ ¿¬±¸µµ º» Ŭ¸®´Ð¿¡¼
½ÃÇàÇϰí ÀÖ´Ù.
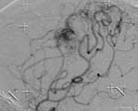
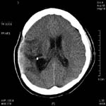
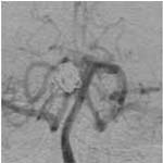
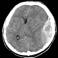
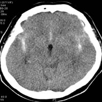
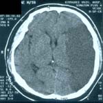
<ÇãÇ÷¼º
³úÁ¹Áß>

ÁÂÃø
Áß³úµ¿¸ÆÀÇ Æó»öÀ¸·Î ÀÎÇÑ ³ú°æ»ö¼Ò°ß(Ç÷°üÁ¶¿µ¼ú»ó
Áß³úµ¿¸ÆÀÌ º¸ÀÌÁö ¾Ê°í ÀÖ´Ù)
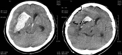
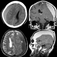
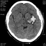
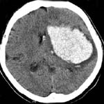
<°íÇ÷¾Ð¼º
³úÃâÇ÷>

<¼ö¼ú
Àü> <¼ö¼ú
ÈÄ>
¿ìÃø
Çǰ¢ºÎ ÃâÇ÷ȯÀÚÀÇ ³úCT¼Ò°ß(¼ö¼úÈÄ Ç÷Á¾ÀÌ
Á¦°ÅµÇ¾îÀÖ´Ù)
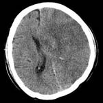
<³úÁöÁÖ¸·ÇÏÃâÇ÷>

<¼ö¼ú
Àü>
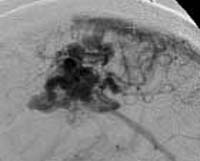
³úµ¿¸Æ·ù¿¡
ÀÇÇÑ ÁöÁÖ¸·ÇÏÃâÇ÷ÀÇ CT¼Ò°ß ¹× Ç÷°üÁ¶¿µ¼ú¿¡¼
Àü±³Å뵿¸Æ¿¡ µ¿¸Æ·ù°¡ º¸À̰í ÀÖ´Ù.

<¼ö¼ú
Àå¸é> <¼ö¼ú
ÈÄ>
¼ö¼ú
ÈÄ µ¿¸Æ·ù°¡ º¸ÀÌÁö ¾ÊÀ¸¸ç µ¿¸Æ·ù °æºÎ¿¡
Ŭ¸³ÀÌ µé¾î°¡ ÀÖ´Â °ÍÀÌ º¸À̰í
ÀÖ´Ù.
<³úÁ¤µ¿¸Æ±âÇü>

 
½Ã»óµ¿
ÀÎÁ¢ºÎ ºÎÀ§ÀÇ ³úÁ¤µ¿¸Æ±âÇüÀÇ MRI¿Í Ç÷°üÁ¶¿µ¼ú
¼Ò°ß
<¸ð¾ß¸ð¾ßº´(¼Ò¾ÆÁßdz)>
 
¿ìÃø
³»°æµ¿¸ÆÀÇ Æó»ö¼Ò°ß°ú °æµ¿¸ÆºÎÀ§ÀÇ
ÀÌ»óÇ÷°ü¸Á ¼Ò°ßÀÌ º¸À̰í ÀÖ´Ù. |
|
|
|
| |
|
|
| |
³úÁ¾¾çÁúȯŬ¸®´Ð |
|
| |
|
|
´ã´ç±³¼ö
: ±èżº, À̺À¾Ï, ÀÓ¿µÁø.
Á¾¾çÀ̶ó
ÇÔÀº ½Åü ³»¿¡ ºñÁ¤»óÀûÀ¸·Î Àڶ󳪴Â
¸ðµç Á¶Á÷µ¢¾î¸®¸¦ ¸»ÇÏ¸ç µÎ°³°³»¿¡
¹ß»ýÇÒ °æ¿ì ³úÁ¾¾çÀ̶ó°í ÇÕ´Ï´Ù. ÀÌ·±
³úÁ¾¾çÀÇ Áõ¼¼´Â ¹ßº´Ãʱ⿡ Àß ³ªÅ¸³ªÁö
¾Ê±â ¶§¹®¿¡ µÎÅëÀ̳ª ¸¶ºñ, ±¸Åä, °æ·Ã
µîÀÇ ½Å°æÇÐÀû Áõ»óÀÌ ³ªÅ¸³¯ °æ¿ì À̹Ì
¾î´À Á¤µµ ÁøÇà µÈ °æ¿ì°¡ ¸¹½À´Ï´Ù. ³úÁ¾¾çÁúȯÀÇ
Ä¡·á´Â ÀÏÂ÷ÀûÀ¸·Î ¼ö¼úÀû Ä¡·á¿Í ¹æ»ç¼±Ä¡·á,
Ç×¾ÏÁ¦Åõ¿© µîÀÇ ¹æ¹ýÀÌ ÀÖÀ¸¸ç ³úÁ¾¾çÀÇ
¼ö¼úÀº Á¤»ó ³úÁ¶Á÷ÀÇ ¼Õ»ó ¾øÀÌ ½ÃÇàÇØ¾ß
Çϰí Á¾¾çÀÇ ÇØºÎÇÐÀû À§Ä¡¿¡ µû¶ó ¼ö¼úÀû
Á¢±ÙÀÌ ¾î·Á¿î °æ¿ì°¡ ÀÖ¾î °íµµ·Î ¼÷·ÃµÈ
½Å°æ¿Ü°úÀÇ»çÀÇ ¼ö¼ú¼ö±â¸¦ ¿äÇÏ°Ô µË´Ï´Ù.
°æÈñÀÇ·á¿ø ½Å°æ¿Ü°ú´Â ¹Ì¼¼Çö¹Ì°æ ¼ö¼úÀÌ
À¯ÇàÇÏÁö ¾Ê´ø 1982³â ¹Ì¼¼Çö¹Ì°æÀ» ÀÌ¿ëÇÑ
°æÁ¢Çüµ¿ Á¢±ÙÀ» ÀÌ¿ëÇÑ ³úÇϼöü ¼±Á¾
Á¦°Å¼úÀ» ¼º°ø½ÃŲ ÀÌ·¡ ´Ù¾çÇÑ ³úÁ¾¾ç
Ä¡·á °æÇèÀÌ ¸¹À¸¸ç ÃÖ±Ù¿¡´Â °¨¸¶³ªÀÌÇÁ¶ó´Â
µÎ°³°À» ¿Áö ¾Ê°í ½ÃÇàÇÏ´Â ¹«Ç÷¼ö¼úÀ»
µµÀÔÇÏ¿© ´Ù¾çÇÑ È¯ÀÚÄ¡·áÀÇ ÀÌ¿ëÇϰí
ÀÖ½À´Ï´Ù.
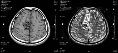
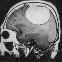
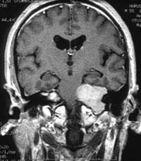
<¾È¿ÍºÎ
³ú¼ö¸·Á¾>

<¼ö¼ú
Àü>
<¼ö¼ú ÈÄ>
¿ìÃø
½Ã·Â°¨¼Ò¿Í ¾È±¸¿îµ¿Àå¾Ö¸¦ º¸ÀÌ´ø ȯÀÚ¿¡¼
¹ß°ßµÈ ¾È¿ÍºÎ ¼ö¸·Á¾ ³úMRI ¼Ò°ß(¼ö¼úÀûÄ¡·á·Î
ÀüÀûÃâµÇ¾ú´Ù)
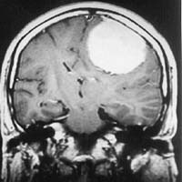
<ÃøµÎºÎ
³ú¼ö¸·Á¾>
 

<½Ã¼ú
Àü> <½Ã¼ú
ÈÄ>
¿ìÃø
Æí¸¶ºñ¸¦ ÁÖ¼Ò·Î ³»¿øÇÑ È¯ÀÚÀÇ ³úMRI¼Ò°ß
¹× ³úÇ÷°üÃÔ¿µ¼ú ¹× Ç÷°üÆó»ö¼ú¼Ò°ß
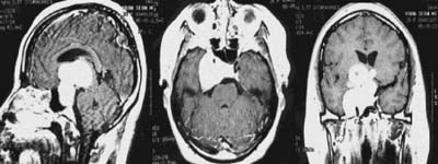
<³úÇϼöüÁ¾¾ç>

½Ã¾ß°á¼Õ°ú
È£¸£¸óÀÌ»óÀ» ÁÖ¼Ò ³»¿øÇÑ È¯ÀÚÀÇ Á¢Çüµ¿
MRI ¼Ò°ß
<ÈĵκÎ
û½Å°æÃÊÁ¾>

ÁÂÃø
À̸í°ú û·ÂÀúÇϸ¦ ÁÖ¼Ò·Î ³»¿øÇÑ È¯ÀÚÀÇ
³ú MRI¼Ò°ß |
|
|
|
| |
|
|
| |
ôÃß(¸ñ, Ç㸮µð½ºÅ©) Ŭ¸®´Ð |
|
| |
|
|
´ã´ç±³¼ö
: ±è żº, À̺À¾Ï
Àΰ£Àº
µ¿¹°°ú ´Þ¸® Á÷¸³ º¸ÇàÀ» ÅëÇØ µÎ¼ÕÀ»
ÀÚÀ¯·Ó°Ô ¾µ ¼ö ÀÖ°Ô µÊÀ¸·Î¼ ¿©·¯ ÀåÁ¡À»
°®°í ÀÖÁö¸¸. ÀÌ·Î ÀÎÇØ ôÃß°¡ ´Ù¸¥ µ¿¹°µéº¸´Ù
ºÒ¾ÈÁ¤ÇÏ°Ô µÇ¾ú°í °á±¹ ¸¸¼ºÀûÀÎ ¿äÅëÀ̳ª
ÆÈ, ´Ù¸®ÀÇ Àú¸², ÈİæºÎ(¸ñ´ú¹Ì ºÎ±Ù)
ÅëÁõÀ¸·Î °íÅë ¹Þ´Â °æ¿ì°¡ ÁÖÀ§¿¡ ÇÑ
»ç¶÷Àº ÀÖÀ» Á¤µµ·Î ÈçÈ÷ Á¢ÇÒ ¼ö ÀÖ´Â
ÁúȯÁßÀÇ ÇϳªÀÔ´Ï´Ù. ¿ì¸® º´¿øÀÇ Ã´ÃßÁúȯ
Ŭ¸®´ÐÀº ÁßÃ߽Űæ°èÀÇ ÀϺÎÀΠô¼ö¿Í
À̸¦ µÑ·¯½Î°í Àִ ôÃß¿¡ ¹ß»ýÇÑ ¸ðµç
Á¾·ùÀÇ ÁúȯÀ» Ä¡·áÇÏ´Â °÷À¸·Î¼ ÀϹÝÀûÀ¸·Î
µð½ºÅ©·Î ¾Ë·ÁÁ® ÀÖ´Â Ãß°£ÆÇÅ»ÃâÁõ »Ó¸¸ ¾Æ´Ï¶ó ôÃß°ü ÇùÂøÁõ, ôÃßÀü¹æÀüÀ§Áõ µîÀÇ ÅðÇ༺Áúȯ°ú ô¼öÁ¾¾ç, ô¼öÇ÷°üÁúȯ µîÀ» Ä¡·áÇÕ´Ï´Ù.
ôÃß(ƯÈ÷
ÇϺοäÃß)´Â üÁߺÎÇϸ¦ ¸¹ÀÌ ¹ÞÀ» »Ó
¾Æ´Ï¶ó ¸¹Àº ¿îµ¿À» ´ã´çÇϰí ÀÖ¾î ÅðÇ༺
º¯È°¡ ½±°Ô ÀϾ´Â °÷ÀÔ´Ï´Ù. ÈçÈ÷
µð½ºÅ©¶ó°í ºÒ¸®´Â Ãß°£¹ÝÀº ¼öÇÙ°ú ¼¶À¯·ûÀ¸·Î
±¸¼ºµÇ¾î Àִµ¥, ¼öÇÙÀº ¹Ý°íü¼º gel
ÇüÅ·ΠµÇ¾î ÀÖ¾î ÇÏÁßÀ» Èí¼öÇÏ°í ¼¶À¯Á¶Á÷À¸·Î
±¸¼ºµÈ ¼¶À¯·ûÀº ÀÌ ÈûÀÌ ¼öÆò¹æÇâÀ¸·Î
°úµµÇÏ°Ô À̵¿µÇ´Â °ÍÀ» Á¦ÇÑÇÏ´Â ¿ªÇÒÀ»
Çϰí ÀÖ½À´Ï´Ù.

<Á¤»ó
ôÃßÀǸð½À>
Ãß°£ÆÇÀº
¾Æµ¿±â¿¡´Â ¼öºÐÇÔÀ¯·®ÀÌ ¸¹Áö¸¸(90%)
ÀÌÈÄ Á¡Â÷ ³ªÀ̰¡ Áõ°¡ÇÔ¿¡ µû¶ó ¼öºÐÀÌ
°¨¼ÒÇÏ¿©(74%) ÅðÇ༺ º¯È¸¦ ÀÏÀ¸Å°°Ô
µË´Ï´Ù. ÀÌ·¯ÇÑ »óÅ¿¡¼ ¹«°Å¿î ¹°°ÇÀ»
µé¾î¿Ã¸®°Å³ª ÁÁÁö ¾ÊÀº ÀÚ¼¼¸¦ ¿À·§µ¿¾È
Áö¼ÓÇϸé Ãß°£¹Ý¿¡ °ú´ÙÇÑ ÇÏÁßÀÌ °¡ÇØÁ®
µüµüÇØÁø ¼öÇÙÀÌ ¾àÇØÁø ¼¶À¯·ûÀ» ¹Ð°í
µ¹ÃâµÇ°Å³ª ¼¶À¯·ûÀ» ¶Õ°í ¼öÇÙÀÇ ÀϺΰ¡
¹ÛÀ¸·Î ºüÁ®³ª¿À´Â °ÍÀ» ôÃß°£ÆÇÅ»ÃâÁõ Áï, ÈçÈ÷ µð½ºÅ©¶ó°í ºÎ¸¨´Ï´Ù.
µð½ºÅ©´Â ¹ß»ýºÎÀ§º°·Î´Â ¿äÃߺο¡¼ °¡Àå
ÈçÇÏ°Ô ¹ß»ýÇÏ°í ´ÙÀ½ÀÌ °æÃߺÎÀ̸ç, ÈäÃߺο¡¼´Â
¸Å¿ì µå¹°°Ô ¹ß»ýµÈ´Ù. ¶ÇÇÑ Ã´Ãß°£ÆÇÀÇ
ÅðÇ༺ º¯È¿Í Å»Ãâ·Î ÀÎÇÏ¿© Ãß°£¹ÝÀÇ
³ôÀ̰¡ ÁÙ¾îµé°í ÈİüÀýµ¹±â, Ȳ»öÀδë
µî¿¡µµ ÅðÇ༺ º¯È°¡ ÀϾ°Ô µÇ¸é ôÃß°ü
ÇùÂøÁõÀ¸·Î ÁøÇàµÇ±âµµ ÇÕ´Ï´Ù. ±×
¿Ü·Î ¿¬·ÉÀÌ Áõ°¡ ȤÀº ¿Ü»ó µîÀ¸·Î ¹ß»ýÇϴ ôÃßÀü¹æÀüÀ§ÁõµîÀÌ ÀÖ½À´Ï´Ù.
ô¼öÁ¾¾çÀº
¿ø·¡ ô¼ö ½ÇÁú³»¿¡¼ ¹ß»ýÇÏ´Â Á¾¾ç¸¸À»
ÀǹÌÇϳª ÈçÈ÷ ôÃß° ³»¿¡¼ ¹ß»ýÇÏ¿©
ô¼ö¸¦ ħ¹üÇϰųª ¶Ç´Â ô¼ö¸¦ ¾Ð¹ÚÇÏ´Â
Á¾¾çµéÀ» ÅëÆ²¾î ô¼öÁ¾¾çÀ̶ó°í ÇÕ´Ï´Ù.
°¢°³ÀÇ Ã´¼öÁ¾¾çÀÇ Á¶Á÷ÇÐÀû Ư¡Àº ³úÁ¾¾ç°ú
Â÷À̰¡ ¾øÀ¸³ª ¹ß»ýºóµµ´Â ³úÁ¾¾ç¿¡ ºñÇØ
ÈξÀ ³·½À´Ï´Ù.(ÁßÃ߽Űæ°è Á¾¾çÁß 15%).
¹ß»ýºÎÀ§´Â »óÀǼ¼Æ÷Á¾(ependimoma), ¼º»ó¼¼Æ÷Á¾(astrocytoma),
½Å°æÃÊÁ¾(schwannoma), ¼ö¸·Á¾(meningioma),
µîÀº ô¼ö½Å°æ¿¡, ÀüÀ̼º Á¾¾ç,
°ñÁ¾¾ç, ÀÓÆÄÁ¾, °ñ¼öÁ¾(myeloma),µîÀº
ôÃßü¿¡ ¹ß»ýÇÕ´Ï´Ù.
º»
Ŭ¸®´Ð¿¡¼´Â ÀÌ·¯ÇÑ Ã´Ãß ÁúȯÀÇ Æ¯¼º¿¡
ºÎÇÕÇϱâ À§ÇØ ´Ù¾çÇÑ Ä¡·á¹ýÀ» ½ÃµµÇÏ¿©
ȯÀÚµéÀ» Ä¡·áÇϰí Àִµ¥ Á÷Á¢ ôÃß º´º¯À»
ã¾Æ ±³Á¤ÇÏ´Â ¼ö¼úÀû Ä¡·áºÎÅÍ
´Ù¸¥ Ä¡·á¹ý¿¡ ºñÇØ Àý´ëÀûÀ¸·Î ¿ì¼öÇÑ
È¿°ú¸¦ º¸À̰í ÀÖ´Â ½Å°æ¿Ü°úÀÇ ÃֽŠġ·á¹ýÀÎ °íÁÖÆÄ ¿ÀÀ°í¼ú(Radiofrequency)À»
ÀÌ¿ëÇÑ ½Å°æÂ÷´Ü¼ú, ¾à¹°Ä¡·á, ¹°¸®Ä¡·á
µîÀ» ÀûÀýÈ÷ È¥ÇÕÇÏ¿© Ä¡·á¸¦ ½ÃÇàÇÒ »Ó¸¸
¾Æ´Ï¶ó Çѹ溴¿ø°úÀÇ ÇùÁø¼¾ÅÍÀÎ µ¿¼Ã´Ãß¼¾Å͸¦
¿î¿µÇÏ¿© Çѹæ Ä¡·á¸¦ ¾ç¹æ Ä¡·á¿¡ Á¢¸ñ
½ÃŰ´Â µî Ÿ º´¿ø°ú Â÷º°ÈµÇ´Â ÃÖ½Å
Ä¡·á¹ýÀ» ´Ù¾çÇÏ°Ô ½ÃµµÇϰí ÀÖ½À´Ï´Ù.
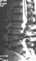
<¸ñµð½ºÅ©>

<¼ö¼úÀü>
<¼ö¼úÈÄ>
¾çÃø
»óÁö ÅëÁõÀ» ÁÖ¼Ò·Î ³»¿øÇÑ È¯ÀÚÀÇ °æÃߺÎ
MRI¼Ò°ß, ¼ö¼úÈÄ ¼Ò°ß
<Ç㸮µð½ºÅ©>

<¼ö¼úÀü>
<¼ö¼úÈÄ>
Á¦
4.5¹ø ¿äÃߺΠÃß°£ÆÇ Å»ÃâÁõÀ¸·Î ¼ö¼úÇÑ
ȯÀÚÀÇ ¿äÃß MRI¼Ò°ßÀ¸·Î ¼ö¼úÈÄ Å»Ãâ
µð½ºÅ©ÀÇ Á¦°ÅµÈ ¸ð½À°ú ÀûÃâµÈ µð½ºÅ©¸¦
º¼ ¼ö ÀÖ´Ù.
<ôÃß°ÇùÂøÁõ>

¾çÃø
ÇÏÁö ¹æ»çÅë°ú °£ÇæÀû ÆÄÇàÀ» ÁÖ¼Ò·Î ³»¿øÇÑ
ȯÀÚÀÇ ¿äÃߺΠMRI ¼Ò°ßÀ¸·Î ôÃß°ü ÇùÂøÀ¸·Î
ÀÎÇØ ô¼ö½Å°æÀÌ ¾Ð¹Ú ¹Þ´Â ¼Ò°ßÀ» º¼
¼ö ÀÖ´Ù.
<ôÃßÀü¹æÀüÀ§Áõ>

<¼ö¼úÀü>
<¼ö¼úÈÄ>
¾çÃø
ÇÏÁö ¹æ»çÅëÀ» ÁÖ¼Ò·Î ¼ö¼ú ½ÃÇàÇÑ ¸ð½ÀÀ¸·Î
Ãß°æ ³ª»ç¸ø°íÁ¤¼ú ¹× Ãß°£À¶ÇÕ¼ú½ÃÇà·Ê
<ô¼öÁ¾¾ç>
 
<°æÃߺÎ
»óÀǼ¼Æ÷Á¾> <ÈäÃߺÎ
¼ö¸·Á¾>
|
|
|
|
| |
|
|
| |
°¨¸¶³ªÀÌÇÁŬ¸®´Ð |
|
| |
|
|
´ã´ç±³¼ö
: ÀÓ¿µÁø, ÃÖÇõÀç
ÀÇÇй°¸®ÇÐÀÚ : ¼¿ø¼·
°¨¸¶³ªÀÌÇÁ
¼Ò°³
°¨¸¶³ªÀÌÇÁ ¼ö¼ú¹ýÀº ±âÁ¸ÀÇ
¸Ó¸®¸¦ Àý°³ÇÏ´Â ³ú¼ö¼ú°ú´Â ´Þ¸® ÆÄÀåÀÌ
ªÀº °¨¸¶¼±À» º´¼Ò¿¡ Á¶»ç ÇÔÀ¸·Î¼ Á¾¾çÀ̳ª
Ç÷°ü±âÇü µîÀ» Á¦°ÅÇÏ´Â ¹æ»ç¼± ¼ö¼ú¹ýÀ»
¸»ÇÑ´Ù. ÀÏ¹Ý ¹æ»ç¼±Ä¡·á¿Í ´Ù¸¥ Á¡Àº
ÀÏ¹Ý ¹æ»ç¼±Ä¡·á°¡ ¹æ»ç¼±ÀÌ ¸ðµç ºÎÀ§¿¡
¶È°°ÀÌ ÂÉ¿©Á® Á¤»ó ³úÁ¶Á÷¿¡µµ ¾î´À Á¤µµÀÇ
¼Õ»óÀ» ÁÖ´Â °Í°ú´Â ´Þ¸® °¨¸¶³ªÀÌÇÁ´Â
201°³ÀÇ ÀÛÀº ±¸¸ÛÀÌ ¶Õ¸° ¹Ý±¸Çü Çï¸ä(½ÃÁرâ,
collimator)À» ÅëÇØ µ¸º¸±â·Î ºûÀÌ ¸ðÀ̵í
º´¼Ò(º´ÀÌ ÀÖ´Â À§Ä¡)¿¡¸¸ Á¤±³ÇÏ°Ô ÂÉ¿©Áö´Â
°ÍÀ¸·Î Á¤»ó ³úÁ¶Á÷ÀÇ ¼Õ»óÀ» ÃÖ¼ÒÈ Çϸé¼
º´º¯Á¦°Å°¡ °¡´ÉÇÑ ÃֽŠġ·á¹ýÀÌ´Ù. ¶ÇÇÑ
Á¤»óÁ¶Á÷°ú Á¾¾çÀÇ °æ°èºÎÀ§¸¦ ¿ÀÂ÷ 0.1§®ÀÌÇÏÀÇ
Á¤È®µµ·Î Á¶ÀýÇϱ⠶§¹®¿¡ ÅëÁõÀ̳ª Á¤»ó
³úÁ¶Á÷ ¼Õ»ó, »óó, ÈäÅÍ µîÀÇ ºÎÀÛ¿ëÀ̳ª
ÇÕº´ÁõÀÌ ÀüÇô ¾ø´Â °ÍÀÌ ÀåÁ¡ÀÌ´Ù.
°æÈñÀÇ·á¿ø
°¨¸¶³ªÀÌÇÁ¼¾ÅÍ
°æÈñÀÇ·á¿ø °¨¸¶³ªÀÌÇÁ
¼¾ÅÍ´Â 1992³â ±¹³»¿¡¼´Â µÎ¹øÂ°·Î °¨¸¶³ªÀÌÇÁ¸¦
µµÀÔ ÇÏ¿´À¸¸ç ÀÌÈÄ Áö¼ÓÀûÀÎ ³ë·ÂÀ¸·Î
ÀÎÇÏ¿© ÇöÀç´Â ±¹³» ³úÁ¤À§ ¹æ»ç¼±¼ö¼ú
ºÐ¾ßÀÇ ÁÖµµÀûÀÎ À§Ä¡¸¦ ´ÙÁö°Ô µÇ¾ú´Ù.
ÇöÀç
12³â ÀÌ»ó °¨¸¶³ªÀÌÇÁ¼¾Å͸¦ ´ã´çÇϰí
ÀÖ´Â ÀÓ¿µÁø ±³¼ö´Â ±¹³»¿¡¼ °¡È÷ µ¶º¸ÀûÀÎ
°¨¸¶³ªÀÌÇÁ °æ·ÂÀ» º¸À¯Çϰí ÀÖÀ¸¸ç ±¹³»¿¡¼
À¯ÀÏÇÏ°Ô °¨¸¶³ªÀÌÇÁÀÇ ¹ß»ýÁöÀÌÀÚ Áö½ÄÀÇ
¸ÞÄ«·Î ¾Ë·ÁÁø ½º¿þµ§ Ä«·Î¸°½ºÄ« º´¿øÀ»
À¯ÇÐÇÏ°í µ¹¾Æ¿ÔÀ¸¸ç ÀÌÈÄ ±¹³»¿¡¼ ¿Õ¼ºÇÑ À» ÅëÇØ º»¿øÀÇ °¨¸¶³ªÀÌÇÁ °æÇèÀ»
Ÿ º´¿ø¿¡ Àü¼öÇØ ÁÖ°í ÀÖ´Ù
9³â°
º» ¼¾ÅÍ¿¡¼ ÀÓ¿µÁø ±³¼ö¿Í ´õºÒ¾î °¨¸¶³ªÀÌÇÁ
¼¾Å͸¦ ¿î¿µÇϰí ÀÖ´Â ÀÇÇй°¸®ÇÐÀÚ ¼¿ø¼·
¿¬±¸¿øÀº ÀÌÁ¦ ÀÓ¿µÁø ±³¼öÀÇ °¡Àå µçµçÇÑ
Á¶·ÂÀÚÀÎ µ¿½Ã¿¡ ±¹³» ¹æ»ç¼± ÀÇÇÐ ¹°¸®ÇÐ
ºÎ¹®¿¡¼ ´Ü¿¬ µ¸º¸ÀÌ´Â À§Ä¡¸¦ ´ÙÁ®°¡°í
ÀÖ´Ù. 2004³â ÇöÀç 1500·Ê ÀÌ»óÀÇ Ç³ºÎÇÑ
°¨¸¶³ªÀÌÇÁ °æÇèÀ» ¹ÙÅÁÀ¸·Î ÃÖ°íÀÇ ½Ã¼ú
È¿°ú ¹× ÃÖ¼ÒÀÇ ºÎÀÛ¿ë ¹ß»ýÀ²À» Áö¼ÓÀûÀ¸·Î
°»½ÅÇØ ³ª°¡°í ÀÖ´Ù.2002³â¿¡´Â °¨¸¶³ªÀÌÇÁ½Ç¿¡
°ú°¨ÇÑ ÅõÀÚ¸¦ ÅëÇØ ¼ö¼ú ½Ã½ºÅÛ°ú ¼ö¼ú
Àåºñ¸¦ ÃÖ½ÅÇüÀ¸·Î ¾÷±×·¹À̵å ÇÏ´Â ÇÑÆí
½Ã¼³µµ ´ëÆøÀûÀÎ ¸®¸ðµ¨¸µÀ» ½ÃÇàÇÏ¿´´Ù.
°¨¸¶³ªÀÌÇÁ ¼¾ÅÍÀÇ ´ë±â½Ç¿¡¼´Â º¸È£ÀÚµéÀÌ
°¨¸¶³ªÀÌÇÁ ¼ö¼ú°úÁ¤À» óÀ½ºÎÅÍ ³¡±îÁö
¸ð´ÏÅÍ·Î ½ÃûÇÏ¸ç ¼ö¼úÀÌ ³¡³¯ ¶§±îÁö
Æí¾ÈÇÏ°Ô ½¯ ¼ö ÀÖ´Â °ø°£À» È®º¸ÇÏ¿´À¸¸ç
¼ö¼ú½Ç ³»ºÎµµ ü¸®¸ñ ºÐÀ§±â·Î ¹Ù²Ù¾î
º´¿øÀÌ ¾Æ´Ñ È£ÅÚ°ú °°Àº ºÐÀ§¸¦ ¸¸µé¾î
ȯÀÚ·Î ÇÏ¿©±Ý Æí¾ÈÇÑ ½Ã¼úÀ» ¹ÞÀ» ¼ö
ÀÖ°ÔÇÏ¿´´Ù
°¨¸¶³ªÀÌÇÁ
°úÁ¤, ½Ã¼ú½Ã°£, Ä¡·á°á°ú
°¨¸¶³ªÀÌÇÁ
½Ã¼úÀº ½Ã¼ú ´çÀÏ ¿ÀÀü µÎ°³°ñ ³»ÀÇ ±¸Á¶¹°À»
3Â÷¿ø ÁÂÇ¥È ½Ã۱â À§ÇÑ Á¤À§ ±â±¸¸¦
ȯÀÚ ¸Ó¸®¿¡ °íÁ¤½ÃŰ¸é¼ ½ÃÀÛÇϴµ¥
ÀÌ ½Ã¼úÀº °£´ÜÇÑ ±¹¼Ò¸¶Ã븸À¸·Î °¡´ÉÇÏ´Ù.
ÀÌÈÄ
Ä¡·á°èȹÀ» ¼ö¸³Çϱâ À§ÇÑ Á¤¹Ð°Ë»ç ½ÃÇàÈÄ(¾à
30ºÐ °¡·®) ÀÇ·áÁøÀÌ Ä¡·á°èȹÀ» ¼ö¸³ÇÏ´Â
2~3½Ã°£ µ¿¾È ȯÀÚ´Â º´½Ç¿¡¼ °¡º¿î
À½·á¿Í ½Ä»ç¸¦ ÇÏ¸ç ´ë±âÇÏ°Ô µÈ´Ù.
ÀÌÈÄ
Ä¡·á¿¡ µé¾î°¡°Ô µÇ´Âµ¥ Ä¡·á´Â ¸¶Ã볪
ÅëÁõ ¾øÀÌ ½ÃÇàµÇ°Ô µÈ´Ù. ½Ã¼ú½Ã°£Àº
º´º¯ÀÇ ¸ð¾ç°ú Å©±â¿¡ µû¶ó 5¡30ºÐ Á¤µµ
¼Ò¿äµÇ¸ç, ½Ã¼ú ÈÄ 1¡2ÀÏ ÈÄ¿¡´Â Åð¿øÀÌ
°¡´ÉÇÏ´Ù.
Ä¡·áÀ²Àº
Áúȯ¿¡ µû¶ó 80¡95% Á¤µµÀÌ¸ç º» °¨¸¶³ªÀÌÇÁ
¼¾Å¸¿¡¼ Ä¡·á¹ÞÀº 1000¿©¸íÀÇ È¯ÀÚ Áß
³úµ¿Á¤¸Æ±âÇüÀº 85%À̻󿡼 ¿ÏÀüÆó»öÀ»
º¸¿´°í, ¾ç¼ºÁ¾¾ç¿¡¼´Â 95%À̻󿡼 ¼ºÀå
¾ïÁ¦À²À» º¸¿´´Ù. ÃÖ±Ù¿¡´Â ÀüÀ̼º³úÁ¾¾ç,
»ïÂ÷½Å°æÅë, ÆÄŲ½¼¾¾º´ µî¿¡ ´ëÇÑ ½Ã¼úÀÌ
Á¡Â÷ Áõ°¡Çϰí ÀÖ´Â Ãß¼¼ÀÌ´Ù
°æÈñÀÇ·á¿ø
°¨¸¶³ªÀÌÇÁ¼¾ÅÍ À¥»çÀÌÆ® ¹æ¹®Çϱâ

<°¨¸¶³ªÀÌÇÁ½Ã¼ú>
<ÃÖ½ÅÇüÀåºñ>

<³»ºÎÀü°æ>
<°¨¸¶³ªÀÌÇÁÁ¤¸é>
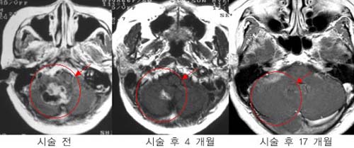
û½Å°æÁ¾¾ç

¿ìÃø
û½Å°æÁ¾¾ç ȯÀÚÀÇ MRI »çÁø. °¨¸¶³ªÀÌÇÁ
¹æ»ç¼±¼ö¼ú 4³â ÈÄ Á¾¾çÀÇ Å©±â°¡ ÇöÀúÈ÷
°¨¼ÒÇÏ¿´À¸¸ç ½Ã¼ú ÈÄ 10³â° ¸ðµÎ ¿ÏÄ¡µÇ¾ú´Ù.

Å©±â°¡
Å« ¾ç¼ºÁ¾¾ç(û½Å°æÁ¾¾ç)ÀÇ °æ¿ì ¼ö¼úÀû
Ä¡·á·Î¼ ¿ÏÀüÀûÃâÀÌ µÇÁö ¾ÊÀº ³²Àº Á¾¾ç¿¡
°¨¸¶³ªÀÌÇÁ ¹æ»ç¼± ¼ö¼úÀ» ½ÃÇàÇÏ¿© ¿ÏÄ¡µÊ
³ú¼ö¸·Á¾

ÅÍŰ¾È
»óºÎ ¼ö¸·Á¾ ȯÀÚÀÇ MRI »çÁø.°¨¸¶³ªÀÌÇÁ
¹æ»ç¼±¼ö¼ú 16°³¿ùÈÄ Á¾¾çÀÇ Å©±â°¡ ÇöÀúÈ÷
°¨¼ÒÇÏ¿´´Ù
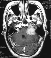
³úÇϼöüÁ¾¾ç

¼ºÀåÈ£¸£¸ó
°ú´ÙºÐºñÇü °Å´ë³úÇϼöü Á¾¾çÀÇ °æ¿ì
°æÁ¢Çü°ñ ³úÇϼöü ÀûÃâ¼úÀ» ½ÃÇà ÈÄ ³²Àº
Á¾¾ç¿¡ ´ëÇØ °¨¸¶³ªÀÌÇÁ ¹æ»ç¼± ¼ö¼úÀ»
½ÃÇàÇÏ¿© ¿ÏÄ¡µÊ.¼ºÀåÈ£¸£¸ó ¼öÄ¡µµ ¼ö¼ú
Àü 58.6 ng/ml¿¡¼ °¨¸¶³ªÀÌÇÁ ½Ã¼ú ÈÄ
28°³¿ù° Á¤»ó¼öÄ¡ÀÎ 2.3 ng/mlÀ¸·Î °¨¼ÒµÇ¾ú´Ù.

ºñ±â´É¼º
°Å´ë³úÇϼöü Á¾¾çÀ¸·Î ÀÎÇÑ ½Ã·Â»ó½ÇÀ»
ÁÖ¼Ò·Î ³»¿øÇÑ È¯ÀÚÀÇ MRI ÀÀ±Þ
³ú¼ö¼úÀ» ÅëÇØ Á¾¾çÀ» Á¦°ÅÇÑ ÈÄ ³²Àº
Á¾¾ç¿¡ ´ëÇØ °¨¸¶³ªÀÌÇÁ ¹æ»ç¼± ¼ö¼úÀ»
½ÃÇàÇÏ¿© ¿ÏÄ¡µÊ

¹Ì¼¼³úÇϼöü
Á¾¾çÀ¸·Î ÀÎÇÑ Äí½ÌÁõÈıºÀ¸·Î °¨¸¶³ªÀÌÇÁ
¹æ»ç¼± ¼ö¼úÀ» ½ÃÇàÇÑ È¯ÀÚÀÇ MRI. ¹æ»ç¼±
¼ö¼ú 13°³¿ù ÈÄ ¿ÏÄ¡µÈ ¼Ò°ßÀ» º¸¿´´Ù
ÀüÀ̼º³úÁ¾¾ç

ÀڱþÏÀÇ
¼Ò³úÀüÀÌ·Î ÀÔ¿øÇÑ È¯ÀÚÀÇ MRI. 4°³¿ù¶§¿¡
Å©±â°¡ ¸¹ÀÌ ÁÙ¾îµé¾úÀ¸¸ç 17°³¿ùÈÄ ÀüÀ̾ÏÀº
°ÅÀÇ °üÂûµÇÁö ¾Ê¾Ò´Ù. ÀüÀ̾ÏÀÇ °æ¿ì
Á¾¾çÀ» ¿ÏÄ¡½Ãų¼ö´Â ¾ø´õ¶óµµ ¹æ»ç¼±
¼ö¼úÀ» ÅëÇØ Áõ»óÀ» ºü¸¥ ½Ã°£³»¿¡ ȸº¹½Ã۸é¼
ȯÀÚÀÇ 2³â »ýÁ¸·üÀÇ ¿¬Àå ¹× »îÀÇ ÁúÀ»
Çâ»ó½Ãų¼ö ÀÖ´Ù
³úµ¿Á¤¸Æ
񃀁

³ú
±íÀº °÷¿¡ À§Ä¡ÇÏ¿© ³úÃâÇ÷À» ÀÏÀ¸Å² 17¼¼
¿©ÀÚȯÀÚÀÇ MRI ¹× ³úÇ÷°üÃÔ¿µ¼ú »çÁø.

³úÀÇ
±íÀº °÷¿¡ ³úµ¿Á¤¸Æ±âÇüÀÌ À§Ä¡ÇÏ¿© ¼ö¼úÀû
Ä¡·á°¡ ºÒ°¡´ÉÇÏ¿´À¸³ª °¨¸¶³ªÀÌÇÁ ½Ã¼ú
ÈÄ 24°³¿ù°¿¡ ¸ðµÎ ¿ÏÄ¡µÇ¾ú´Ù

°æ·ÃÀ»
ÁÖ¼Ò·Î ÀÔ¿øÇÑ È¯ÀÚÀÇ MRI ¹× ³úÇ÷°üÃÔ¿µ¼ú
»çÁø.
µ¿Á¤¸Æ±âÇüÀÇ
Å©±â°¡ Ä¿¼ ¼ö¼úÀÇ À§Ç輺ÀÌ ³ô¾Æ °¨¸¶³ªÀÌÇÁ¸¦
°èȹÇÏ¿´´Ù. º´º¯ÀÇ Å©±â°¡ Ä¿¼ °¨¸¶³ªÀÌÇÁ
¹æ»ç¼±¼ö¼úÀ» ¸îÂ÷·Ê¿¡ ³ª´©¾î¼ ½ÃÇàÇÏ·Á
ÇÏ¿´À¸³ª ÇÑÂ÷·ÊÀÇ °¨¸¶³ªÀÌÇÁ ½Ã¼ú ÈÄ
24°³¿ù° ¸ðµÎ ¿ÏÄ¡µÇ¾ú´Ù.

º´º¯ÀÇ
Å©±â°¡ Å« µ¿Á¤¸Æ±âÇüÀÇ °æ¿ì °¨¸¶³ªÀÌÇÁ
¹æ»ç¼±¼ö¼úÀ» ¸îÂ÷·Ê¿¡ ³ª´©¾î¼ ½ÃÇàÇÏ¿©¾ß
Çϳª ÀϺΠȯÀÚÀÇ °æ¿ì ÇÑÂ÷·ÊÀÇ °¨¸¶³ªÀÌÇÁ
½Ã¼ú·Îµµ ¿ÏÄ¡¸¦ º¸¿´´Ù
»ïÂ÷½Å°æÅë

»ïÂ÷½Å°æÅëÀÇ
°æ¿ì¿¡µµ °¨¸¶³ªÀÌÇÁ ¹æ»ç¼±¼ö¼úÀ» ÀÌ¿ëÇÏ¿©
80% ÀÌ»óÀÇ ÁÁÀº ȸº¹À²À» º¸À̰í ÀÖ´Ù |
|
|
|
| |
|
|
| |
Á¤À§ ³ú¼ö¼úŬ¸®´Ð |
|
| |
|
|
´ã´ç±³¼ö
: ÀÓ¿µÁø, ÃÖÇõÀç
³úÁ¤À§
¼ö¼úŬ¸®´ÐÀº µÎ°³ºÎ¿¡ Á¤À§¼ö¼ú±â±¸(stereotatic
frame)¸¦ °íÁ¤½ÃŰ°í ¹æ»ç¼± ÃÔ¿µÀ¸·Î
³ú¼ÓÀÇ ±¸Á¶¹°(landmark)À» È®ÀÎÇϰí,
ÀÌ ±¸Á¶¹°·ÎºÎÅÍ X, Y, ZÀÇ »ïÂ÷¿øÀû Á÷±³ÁÂÇ¥°è(rectangular
coordinate)¸¦ ÀÌ¿ë, ¿øÇϴ ǥÀû¿¡ Àü±Ø(electrode)
ȤÀº Žħ(probe) µîÀ» »ðÀÔÇÏ¿© Ç¥ÀûºÎÀ§ÀÇ Ç÷Á¾À» ¹è¾× ½Ã۰í Á¾¾çÀ»
Á¶Á÷»ý°ËÇÏ´Â µîÀÇ ¼ö¼úÀ» ½ÃÇàÇϴ Ŭ¸®´ÐÀÔ´Ï´Ù.
»çÀüÀÇ Ã¶ÀúÇÑ Áغñ¿Í °èȹÀ» °ÅÄ¡±â ¶§¹®¿¡
Á¤»ó ³úÁ¶Á÷ÀÇ ¼Õ»óÀ» ÃÖ¼ÒÈÇÏ°í ¼ö¼ú
½Ã°£À̳ª ÃâÇ÷, ÅëÁõ µîÀ» ÁÙ¿© ¼ö¼ú ¼º°ø·ü
°³¼± ¹× ½ÉºÎ ³ú¼ö¼úÀÇ ½Å¼ÓÇÏ°í ¾ÈÀüÇÑ
½ÃÇà µîÀ» °¡´ÉÄÉ ÇÏ´Â ¹æ¹ýÀ¸·Î ÃÖ±Ù ÆÄŲ½¼¾¾º´, »ïÂ÷½Å°æÅë, ¿îµ¿Àå¾ÖÁúȯ,
°Á÷, ÅëÁõ, °£Áú, ³»ºÐºñÁúȯ µî¿¡±îÁö
±× ¿µ¿ªÀÌ Á¡Â÷ È®´ëµÇ°í ÀÖ½À´Ï´Ù. ¶ÇÇÑ
º» º´¿ø¿¡¼ ¿À·£ ³ëÇϿ츦 Áö´Ï°í ÀÖ´Â
°¨¸¶³ªÀÌÇÁ¼ö¼ú°ú ÃÖ±Ù µµÀÔµÈ ÃֽŠÃÊÀ½ÆÄ
¿ÀÀ°í±â(Radiofrequency) µîÀ» ³úÁ¤À§¼ö¼ú°ú
º´ÇàÇÏ¿© ´õ ³ÐÀº Ä¡·á ¿µ¿ªÀ» °³Ã´Çϰí
´õ ³ªÀº Ä¡·á °á°ú¸¦ º¸À̰í ÀÖ´Ù.

³úÁ¤À§
¼ö¼ú¿ë Ʋ(Leksell frame)


³úÁ¤À§¼ö¼úÀÇ
±âº»¿ø¸®: »ïÂ÷¿øÀûÀÎ °ø°£°³³äÀ» ÀÌ¿ëÇÏ¿©
º´º¯ÀÇ Á¦°Å ¹× Ä¡·á·Ê

³ú³»Ç÷Á¾È¯ÀÚ¿¡¼ÀÇ
½Ã¼ú·Ê

½Ã¼úÀ»
À§ÇÑ ³ú CTÃÔ¿µ ¼Ò°ß ¹× ¼ö¼ú ÈÄ Á¾¾ç³»
Žħ(probe)ÀÌ »ðÀÔµÈ ¸ð½À

»ïÂ÷
½Å°æÅë ȯÀÚ¿¡¼ÀÇ ½Ã¼ú·Ê: ½Ã¼úÈÄ È¯ÀÚÀÇ
¾È¸éÅëÁõÀº °ÅÀÇ ¼Ò½ÇµÇ¾ú´Ù.


¿îµ¿Àå¾Ö
ȯÀÚ¿Í Á¤½ÅÁúȯ ȯÀÚ¿¡¼ ½Ã¼úµÈ Ä¡·á·Ê
|
|
|
|
| |
|
|
| |
¿Ü»óŬ¸®´Ð |
|
| |
|
|
´ã´ç±³¼ö : ±èżº,
ÀÓ¿µÁø, °íÁؼ®
½Å°æ¿Ü°ú
¿µ¿ª¿¡¼ÀÇ ¿Ü»óÀº µÎºÎ¿Ü»ó°ú ôÃ߿ܻó,
±×¸®°í ¸»ÃʽŰæ¼Õ»óÀ¸·Î ³ª´©¸ç,
´Ù¸¥ ºÎÀ§ÀÇ ¿Ü»ó°ú´Â ´Þ¸® ½Å°æ°èÀÇ ¿Ü»óÀº
¿µ±¸ÀûÀÎ Àå¾Ö¸¦ ³²±â°Ô µÇ¹Ç·Î ½Å¼ÓÇÑ
Áø´Ü°ú Ä¡·á·Î ÀÌ·± ÈÄÀ¯ÁõÀ» ÃÖ¼ÒÈÇÏ´Â
°ÍÀÌ º» Ŭ¸®´Ð °³¼³ÀÇ ¸ñÀûÀÔ´Ï´Ù.
ÀϹÝÀûÀ¸·Î
¿Ü»óÀÇ ¹ß»ýÀº »çȸÀÇ »ê¾÷È¿Í ±â°èÈ¿¡
ºñ·ÊÇÏ¿© Á¡Â÷ Áõ°¡µÇ°í ÀÖÀ¸¸ç, ƯÈ÷
¿î¼Û¼ö´ÜÀÇ ¹ß´Þ¿¡ ÀÇÇØ ½Åü¿¡ °¡ÇØÁö´Â
¿Ü»óÀÇ ºóµµ¿Í °µµ´Â Á¡Á¡ Áõ°¡µÇ¾î,
±³Åë»ç°í³ª »ê¾÷ÀçÇØ µî¿¡ ÀÇÇÑ ¼Õ»óÀÌ
½É°¢ÇÑ »çȸ¹®Á¦·Î ´ëµÎµÇ°í ÀÖ½À´Ï´Ù.
½ÇÁ¦·Î µÎºÎ¿Ü»óÀº 10´ë »çÀÎÀÇ Çϳª·Î
»ê¾÷ÀçÇØ»ç°í¿¡ °üÇÑ ³ëµ¿ºÎÀÇ Åë°è¿¡¼ ½ÅüºÎÀ§º° »óÇØ·Î´Â µÎºÎ¿Ü»óÀÌ 5.2%~6.2%¸¦
Á¡À¯ÇÏ¿©, °¡Àå ÈçÇÑ »ç¸Á¿øÀÎÀ¸·Î ±â·ÏµÇ°í
ÀÖ½À´Ï´Ù.
ôÃ߿ܻó
ȯÀÚÀÇ Ã´¼ö ¼Õ»óÀÌ ¹ß»ýºóµµ´Â
±¹³» Åë°è´Â ¾ÆÁ÷ È®½ÇÇÏÁö ¾ÊÀ¸³ª ¿Ü±¹ÀÇ
°æ¿ì, ¿¬°£ Àα¸ 100¸¸ ¸í´ç ¿µ±¹Àº ¾à
10~15¸íÀÌ°í ¹Ì±¹Àº ¾à 50¸í²Ã·Î ¹ß»ýÇÑ´Ù°í
º¸°íµÇ°í ÀÖÀ¸¸ç ³²³àÀÇ ºñ´Â ¾à 4:1·Î¼
³²ÀÚ¿¡°Ô ¿ùµîÈ÷ ¸¹Àºµ¥, ÀÌ´Â ³²ÀÚ¿¡¼
ÀÚµ¿Â÷ »ç°íÀ²ÀÌ ³ô±â ¶§¹®ÀÔ´Ï´Ù. ÀþÀº
Ãþ¿¡¼ ¸¹ÀÌ ¹ß»ýÇϰí ÀÖ°í °æÃߺΠ¼Õ»óÀÌ
¾à 55%·Î¼ °¡Àå ¸¹°í ƯÈ÷ ÈäÃߺΠ°¡¿îµ¥
¹Ý ÀÌ»óÀº Èä-¿äÃß °æ°èºÎÀÎ Á¦ 12ÈäÃß
¹× Á¦ 1¿äÃß¼Õ»óÀÌ¸ç ¾Ð¹Ú È¤Àº ºÐ¼â°ñÀýÀÌ
¹ß»ýÇÕ´Ï´Ù.
<µÎ°³°ñÀý>

<¼±»ó°ñÀý>
<ÇÔ¸ô°ñÀý>
µÎ°³°ñÀýÀÇ
³úCT ¼Ò°ß

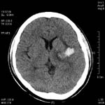
<±Þ¼º°æ¸·¿ÜÃâÇ÷>
<¸¸¼º°æ¸·ÇÏÃâÇ÷>
ÁÂ)
ÁÂÃø ÃøµÎºÎ¿¡ ·»Áî¸ð¾çÀÇ °æ¸·¿Ü ÃâÇ÷ÀÇ
CT¼Ò°ß
¿ì) °æµµÀÇ ¿Ü»ó¿¡µµ
¹ß»ýÇÏ°Ô µÇ´Â ¸¸¼º°æ¸·ÇÏÃâÇ÷ÀÇ ³úMRI¼Ò°ß
<ôÃ߾йڰñÀý½Ã
dz¼±Ã´Ãß¼ºÇü¼ú½ÃÇà·Ê>
  
<¼ö¼ú
Àü> <¼ö¼ú½ÃÇà·Ê>
<¼ö¼ú
ÈÄ>
°ñ´Ù°øÁõȯÀÚ¿¡¼
ôÃ߿ܻóÀ¸·Î ÀÎÇÑ Èä¿äÃߺΠ¾Ð¹Ú°ñÀý¿¡¼
dz¼±¼ºÇü¼ú ½ÃÇà¸ð½À
<ôÃߺмâ°ñÀý½Ã
Ã߰泪»ç¸ø°íÁ¤¼ú ½ÃÇà·Ê>

<¼ö¼ú
Àü> <¼ö¼ú
ÈÄ>
ôÃ߿ܻóÀ¸·Î
ÈäÃߺΠºÐ¼â°ñÀýȯÀÚ¿¡¼ Ã߰泪»ç¸ø °íÁ¤¼ú
½ÃÇà¸ð½À |
|
|
|
| |
|
|
| |
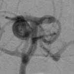
³úÇ÷°ü³» ¼ö¼ú ¹× ÁßÀçÀû ³ú½Å°æ ¹æ»ç Ŭ¸®´Ð |
|
| |
|
|
´ã´ç±³¼ö
: °íÁؼ®
±âÁ¸ÀÇ
³ú ¼ö¼úÀº µÎ°³°ñÀ» Á÷Á¢ ¿°í ÁøÇàÀÌ
µÇ´Â ÀüÅëÀûÀÎ ½Å°æ¿Ü°ú ¼ö¼ú¹æ¹ýÀ» ÀÌ¿ëÇÏ¿©
½ÃÇàµÇ¾î ¿Ô±â ¶§¹®¿¡ ¼ö¼úÀÌ ¼º°øÇÑ´Ù
ÇÏ´õ¶óµµ ¼ö¼ú·Î ÀÎÇÑ ³úÀÇ ¼Õ»óÀ̳ª ¼ö¼ú
ÈÄ ÅëÁõ, Àü½Å¸¶Ãë·Î ÀÎÇÑ ³»°ú ÀûÀÎ ÇÕº´Áõ
¹ß»ý µîÀÇ ÇÇÇÒ ¼ö ¾ø´Â ¹®Á¦µéÀÌ ¹ß»ýµÇ´Â
°æ¿ì°¡ ¸¹¾Ò½À´Ï´Ù. ±×·¯³ª ÃÖ±Ù ³úÇ÷°ü³»
¼ö¼úÀÌ ¹ßÀüµÇ¸é¼ ¿©·¯°¡Áö ¹®Á¦Á¡µéÀÌ
¼¼È÷ ÇØ°áµÇ¾î °¡°í ÀÖ½À´Ï´Ù. ³úÇ÷°ü³»
¼ö¼úÀ̶õ ³úÇ÷°üÁúȯÀÌ Á¸ÀçÇÒ °æ¿ì ±âÁ¸ÀÇ
¼ö¼úó·³ ³ú¸¦ ¿°í µé¾î°¡´Â ¼ö¼ú¹ý ´ë½Å
ȯÀÚÀÇ ´ëÅ𵿸ƿ¡ °¡´À´Ù¶õ ö»ç(guide
wire)¸¦ »ðÀÔÇÏ¿© ´ëÅðÇ÷°ü¿¡¼ ³úÇ÷°ü±îÁö
ÀÛÀº µµ°ü(guide catheter)À» À̵¿½ÃÄÑ
ÁúȯÀ» Ä¡·áÇÏ´Â ¹æ¹ýÀ¸·Î Ç÷°ü ¾È¿¡¼
¸ðµç ½Ã¼úÀÌ ÀÌ·ç¾îÁö´Â ½ÅÄ¡·á¹ýÀÔ´Ï´Ù.
»Ó¸¸¾Æ´Ï¶ó
ÃÖ±Ù¿¡´Â ³úµ¿¸Æ·ùÄ¡·á À̿ܿ¡µµ ³»°æµ¿¸Æ ÇùÂø À̳ª ³úµ¿Á¤¸Æ·ù µîÀÇ Ä¡·á¿¡µµ Àû¿ëµÇ´Â µî ³ú³»Ç÷°ü¼ö¼úÀÌ
±âÁ¸ÀÇ ³ú¼ö¼úÀ» Á¡Â÷ ´ëÃ¼ÇØ °¡°í ÀÖ½À´Ï´Ù.
<ȨÆäÀÌÁö
°¡±â>
<³úµ¿¸Æ·ù>
 
<¼ö¼úÀü>
<¼ö¼úÈÄ>
ÀǽÄÀúÇϸ¦
ÁÖ¼Ò·Î ³»¿øÇÑ È¯ÀÚÀÇ Ç÷°üÃÔ¿µ¼Ò°ßÀ¸·Î
³ú±âÀúµ¿¸ÆÀÇ °Å´ë µ¿¸Æ·ù°¡ º¸À̰í ÀÖÀ¸¸ç±¹¼Ò¸¶ÃëÇÏ¿¡¼
³úÇ÷°ü³» ¼ö¼ú·Î µ¿¸Æ·ù³» ÄÚÀÏÀÌ »ðÀÔµÈ
¼Ò°ß
<³»°æµ¿¸ÆÇùÂø>

<¼ö¼úÀü>
¿ìÃø Æí¸¶ºñ¸¦ ÁÖ¼Ò·Î ³»¿øÇÑ È¯ÀÚÀÇ
°æµ¿¸Æ doppler ¼Ò°ß°ú Ç÷°üÃÔ¿µ¼ú ¼Ò°ß(ÁÂÃø
³»°æµ¿¸ÆÀÇ ½ÉÇÑ ÇùÂøÀÌ º¸À̰í ÀÖ´Ù)

<¼ö¼úÈÄ>
ÁÂ) °æµ¿¸Æ È®Àå¼ú ½Ã¼úÀå¸é
¿ì)
°æµ¿¸Æ È®Àå¼ú ¹× ½ºÅÙÆ® »ðÀÔ¼ú ½ÃÇàÈÄ
¼Ò°ß
(Á¼¾ÆÁ®
ÀÖ¾ú´ø ³»°æµ¿¸ÆÀÇ È®ÀåµÇ¾î ÀÖ´Ù.) |
|
|
|
|
|
|
|
| |
include ("../../include/busok_foot.php"); ?> |