½ÅÀå¿°Àº
½ÅÀåÀÇ ¿°ÁõÀ̶õ ¶æÀÇ ´Ü¾î·Î¼ ³ÐÀº Àǹ̷δÂ
½ÅÀåÀÇ ¿°ÁõÀ» ÀÏÀ¸Å°´Â ¸ðµç ÁúȯµéÀ»
¸Á¶óÇϰÚÁö¸¸ Á¤È®ÇÑ ÀÇÇÐÀû ´Ü¾î·Î´Â
'»ç±¸Ã¼ ½Å¿°'À» ÀǹÌÇÕ´Ï´Ù. ¿¹¸¦ µé¸é
½Å¿ì½Å¿°À» ½±°Ô ½ÅÀå¿°À̶ó´Â ´Ü¾î¸¦
½á¼ ÀϹÝÀε鿡°Ô ¼³¸íÇÒ ¼ö ÀÖÁö¸¸ ÀÇÇÐÀûÀ¸·Î´Â
½Å¿ì½Å¿°Àº ¸é¿ª ÀÌ»óÀÌ ¿øÀÎÀÎ »ç±¸Ã¼½Å¿°°ú
´Þ¸® ¼¼±Õ °¨¿°ÀÎ °ÍÀÔ´Ï´Ù.
Áõ»óÀº
¾î¶²°¡¿ä?
»ç±¸Ã¼½Å¿°ÀÇ Áõ»óÀº
°³°³ÀÇ Áúȯµé¸¶´Ù ´Ù¸£Áö¸¸ ÀϹÝÀûÀ¸·Î
Ç÷´¢¿Í ´Ü¹é´¢, ½Å±â´É(»ç±¸Ã¼¿©°úÀ²)
°¨¼Ò, ºÎÁ¾°ú °íÇ÷¾Ð µîÀÇ Áõ»óÀÌ ´ëÇ¥ÀûÀÔ´Ï´Ù.

ºÎÁ¾
¿©·¯
Á¾·ù°¡ ÀÖ³ª¿ä?
1) ±Þ¼º »ç±¸Ã¼½Å¿°
: ¸ñ°¨±âµîÀ¸·Î ¼Ò¾Æ¿¡¼ Àß ¹ßº´Çϸç
°©ÀÚ±â Ç÷´¢¿Í ´Ü¹é´¢, ½Å±â´É ÀúÇÏ, ºÎÁ¾ÀÌ
³ªÅ¸³ª´Â ÁõÈıºÀ¸·Î¼, ¿¬¼â»ó±¸±Õ µîÀÇ
¼¼±Õ, ¹ÙÀÌ·¯½º °¨¿° µîÀÌ ¿øÀÎÀÔ´Ï´Ù.
2)
±Þ¼Ó ÁøÇàÇü »ç±¸Ã¼½Å¿° : Ç÷´¢¿Í ´Ü¹é´¢°¡
³ªÅ¸³ª¸ç 2-3°³¿ù³» ½ÅºÎÀüÀ¸·Î ÁøÇàµÇ´Â
»ç±¸Ã¼½Å¿°µé·Î¼ ±×¿Ü¿¡ °¨¿°, ¾à¹°,
Àü½Å¼º Áúȯ, ´Ù¸¥ »ç±¸Ã¼½Å¿°µîÀÌ ¿øÀÎÀÔ´Ï´Ù.
3)
½ÅÁõÈıº : ½ÉÇÑ ´Ü¹é´¢¿Í ºÎÁ¾À» º¸ÀÌ´Â
°ÍÀ¸·Î, ½ºÅ×·ÎÀ̵忡 ¹ÝÀÀÇÏ´Â ¹Ì¼¼º¯È
½ÅÁõÈıºÀ» ºñ·ÔÇÏ¿© ±¹¼Ò¼º ºÐÀý¼º »ç±¸Ã¼°æÈÁõ,
¸·¼º ½ÅÁõ, ¸·Áõ½Ä¼º »ç±¸Ã¼½Å¿° µîÀÌ
ÀÖ½À´Ï´Ù. Ÿ Áúȯ¿¡ ÀÇÇÑ ÀÌÂ÷¼º »ç±¸Ã¼½Å¿°À¸·Î´Â
³¶Ã¢¼º ½Å¿°°ú BÇü °£¿° ¹ÙÀÌ·¯½º¿¡ÀÇÇÑ
»ç±¸Ã¼½Å¿° ¹× ´ç´¢º´¼º ½ÅÁõÀÌ ¿ì¸®³ª¶ó¿¡¼
´ëÇ¥ÀûÀÔ´Ï´Ù.
4)
¹«Áõ»ó¼º ¿ä ÀÌ»ó : ¾Æ¹«·± Áõ»ó ¾øÀÌ
¿ä°Ë»ç»ó Ç÷´¢ ¶Ç´Â °æÇÑ ´Ü¹é´¢°¡ ¹ß°ßµÇ´Â
°æ¿ì·Î¼ IgA ½ÅÁõ ȯÀÚµéÀÇ ¸¹Àº ¼ö°¡
¿©±â¿¡ ¼ÓÇÕ´Ï´Ù. IgA »ç±¸Ã¼½Å¿°(½ÅÁõ)Àº
¿ì¸®³ª¶ó¿¡¼ Á¦ÀÏ ÈçÇÑ »ç±¸Ã¼½Å¿°À̸ç,
¿ä°Ë»ç»óÀ¸·Î¸¸ Ç÷´¢°¡ ³ªÅ¸³ª°í ¿¹Èİ¡
ÁÁÀº °æ¿ì°¡ ¸¹À¸³ª, ÀϺο¡¼´Â ½ÅÁõÈıº°ú
°íÇ÷¾Ð ¶Ç´Â ½Å±â´É ÀúÇϸ¦ ÀÏÀ¸Å°±âµµ
ÇÕ´Ï´Ù.
5)
¸¸¼º »ç±¸Ã¼½Å¿° : ¼ö³â¿¡¼ ¼ö½Ê³â°£
Áö¼ÓµÇ¸ç ½Å±â´ÉÀÌ ÀúÇϵǴ ÁõÈıºÀ¸·Î
À§ »ç±¸Ã¼½Å¿°µé ´ëºÎºÐÀÌ ¿©±â¿¡ ¼ÓÇÕ´Ï´Ù.
Áø´ÜÀº
¾î¶»°Ô Çϳª¿ä?
»ç±¸Ã¼ ÁúȯµéÀÇ
Áø´ÜÀº ¼Òº¯ ¹× Ç÷¾× »ýÈÇÐ °Ë»ç, Ç÷û
°Ë»ç, ½Å»ý°Ë µîÀ¸·Î ³»·ÁÁý´Ï´Ù. ¼Òº¯°Ë»ç»ó
Ç÷´¢¿Í ´Ü¹é´¢ À¯¹«¸¦ ¾Ë¾Æº¸°í, Ç÷¾×
»ýÈÇÐ °Ë»ç»ó ½Å±â´É ÁöÇ¥ÀÎ Å©·¹¾ÆÆ¼´Ñ°ú
Ç÷Áß ¿ä¼Ò Áú¼Ò, ±×¹Û¿¡ ÄÝ·¹½ºÅ×·Ñ, ¾ËºÎ¹Î
µîÀÇ ¼öÄ¡¸¦ Á¶»çÇÕ´Ï´Ù. Ç÷û °Ë»ç»ó
»ç±¸Ã¼½Å¿°ÀÇ °¡´ÉÇÑ ¿øÀÎÀÎ BÇü °£¿°°ú
CÇü °£¿° Ç¥½ÄÀÚ, È«¹Ý¼º ³¶Ã¢ÀÇ Ç×ÇÙÇ×ü,
Ç÷û º¸Ã¼ÀÇ °¨¼Ò µîÀ» Á¶»çÇÕ´Ï´Ù. ¸¶Áö¸·À¸·Î
½Å»ý°ËÀ¸·Î Á¤È®ÇÑ Áø´Ü¸íÀ» ¾òÀ¸¸é ±×
ÁúȯÀÇ ¿¹Èĸ¦ ÃßÁ¤ÇÒ ¼ö ÀÖÀ¸¸ç Ä¡·á¹ýÀÌ
Á¤ÇØÁý´Ï´Ù. ½Å»ý°ËÀº ½ÅÀåÀü¹®Àǰ¡ ½ÃÇàÇϹǷÎ
°ÅÀÇ ¾ÈÀüÇÏ¸ç ½ÅÀå¿¡´Â Ç÷°üÀÌ ¸¹À¸¹Ç·Î
ÀϺο¡¼ ÃâÇ÷ÇÒ ¼ö ÀÖÀ¸³ª Á¶Á÷°Ë»çÈÄ
¸ð·¡ÁÖ¸Ó´Ï·Î ¾Ð¹Ú ÁöÇ÷ÇÏ°í ¾ÈÁ¤À» ÃëÇϸé
Å« À§ÇèÀº °ÅÀÇ ¾ø½À´Ï´Ù.
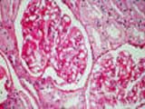
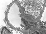
<»ç±¸Ã¼
½Å¿°ÀÇ Á¶Á÷°Ë»ç ¼Ò°ß>

±¤ÇÐ
Çö¹Ì°æ »çÁø ÀüÀÚ Çö¹Ì°æ
»çÁø ¸é¿ª
Çü±¤ »çÁø
°æ°ú/¿¹ÈÄ´Â?
»ç±¸Ã¼½Å¿°µéÀº °¢°¢ ±× Áúº´
°æ°ú ¹× ¿¹Èİ¡ ´Þ¶ó¼, ±Þ¼ºÀ¸·Î ¿Ô´Ù°¡
°ð ȸº¹µÇ´Â °Í, Àç¹ßÀº ÀÚÁÖ µÇ³ª ½Å±â´ÉÀº
Á¤»óÀÎ °Í, ¼ö³â¿¡¼ ¼ö½Ê³â°£ Áö¼ÓµÇ¸ç
½Å±â´ÉÀÌ ÀúÇϵǴ °Í, ±Þ¼ÓÈ÷ ½Å±â´ÉÀÌ
³ªºüÁö°í ¸¶´Â °Í µîÀ¸·Î ´Ù¾çÇÕ´Ï´Ù.
ÇÕº´ÁõÀº
¾ø³ª¿ä?
»ç±¸Ã¼½Å¿°µéÀÇ ÇÕº´ÁõÀ¸·Î´Â
Ãʱ⿡ ½ÉÇÑ »ç±¸Ã¼ ¿°ÁõÀ¸·Î ½Å±â´ÉÀÌ
¶³¾îÁö´Â '±Þ¼º ½ÅºÎÀü'ÀÌ ¿Ã ¼ö ÀÖÀ¸¸ç,
¸¸¼ºÀûÀ¸·Î ½ÅÀå °æÈÁõÀÌ ÁøÇàµÇ¾î ȸº¹µÇÁö
¾Ê´Â '¸¸¼º ½ÅºÎÀü'ÀÌ ÃÊ·¡µÉ ¼ö ÀÖ½À´Ï´Ù.
¶ÇÇÑ »ç±¸Ã¼½Å¿°¿¡ ÀÇÇÑ '½Å¼º °íÇ÷¾Ð'ÀÌ
µ¿¹ÝµÇ¸ç ¸¸¼ºÀûÀ¸·Î µ¿¸Æ°æÈÁõÀÌ ÁøÇàµË´Ï´Ù.
¿ÏÄ¡´Â
°¡´ÉÇѰ¡¿ä?
»ç±¸Ã¼½Å¿° ¹ßº´±âÀüÀÌ
¾ÆÁ÷ ¸ðµÎ È®¸³µÇÁö´Â ¾ÊÀº »óÅÂÀ̳ª ´ëºÎºÐ
¸é¿ª¾ïÁ¦Á¦ Åõ¿©¸¦ Ä¡·áÀÇ ±Ù°£À¸·Î ÇÏ´Â
µ¥ ¾àÁ¦ ¼±Á¤, Ä¡·á±â°£, Åõ¿© ¹æ¹ý µî¿¡
µû¶ó ¿©·¯°¡Áö Ä¡·á¹ýÀÌ ¾Ë·ÁÁ® ÀÖ½À´Ï´Ù.
½ºÅ×·ÎÀ̵å Á¦Á¦¿Í ¼¼Æ÷µ¶¼º¾àÁ¦¸¦ ºñ·ÔÇÏ¿©
»çÀÌŬ·Î½ºÆ÷¸°, ¸é¿ª¾ïÁ¦Á¦ÀÇ °ú·® Ãæ°Ý¿ä¹ýÀ̳ª
Ç÷Àå ´ëü¿ä¹ý, °ú·®ÀÇ ¸é¿ª±Û·ÎºÒ¸°Åõ¿©
µîÀÇ Ä¡·á¹ýÀÌ ½ÃÇàµÇ°í ÀÖÀ¸¸ç, ¸é¿ª
¸Å°³¹°ÁúÀÇ ±æÇ×Á¦³ª ¾ïÁ¦Á¦ µîÀÇ »õ ¾àÁ¦°¡
½ÃÇèµÇ°í ÀÖ½À´Ï´Ù.
ÇÑÆí,
»ç±¸Ã¼½Å¿°µéÀº ¿øÀΰú °ü°è¾øÀÌ ´ëºÎºÐ
°øÅë°úÁ¤À» °ÅÃÄ »ç±¸Ã¼°¡ ±»¾îÁö°í ½Å±â´ÉÀ»
¼Ò½ÇÇÏ°Ô µÇ´Â ½Å°æÈÁõÀ¸·Î ÁøÇàµÇ±â
¶§¹®¿¡ ÀÌ °úÁ¤À» Â÷´ÜÇÏ·Á´Â ¿¬±¸ ³ë·ÂÀÌ
Ȱ¹ßÈ÷ ÁøÇàµÇ¾î ¿Ô½À´Ï´Ù. Áï, ½Å°æÈÁõÀ»
ÃÊ·¡ÇÏ´Â ¼¼Æ÷ ¼ºÀåÀÎÀÚµéÀÇ ¸Å°³ ¿ªÇÒ°ú
ÇÔ²², ƯÈ÷ »ç±¸Ã¼³» °íÇ÷¾ÐÀÌ Áß¿äÇÑ
¿äÀÎÀ¸·Î ¾Ë·ÁÁö°í ÀÖÀ¸¹Ç·Î, À̸¦ Â÷´ÜÇÏ´Â
'¾ØÁö¿ÀÅٽŠº¯È¯È¿¼Ò ¾ïÁ¦Á¦'(ACE ¾ïÁ¦Á¦)°¡
ÀÌ¹Ì ÀÓ»ó¿¡ ÀÀ¿ëµÇ°í ÀÖÀ¸¸ç ´Ü¹é´¢¸¦
ÁÙÀÌ°í ½Å±â´É ÀúÇϼӵµ¸¦ ´õµð°Ô ÇÔÀÌ
ÀÔÁõµÇ°í ÀÖ½À´Ï´Ù. ÃÖ±Ù ¾ØÁö¿ÀÅٽмö¿ëü
Â÷´ÜÁ¦°¡ ³ª¿Í »ç¿ëµÇ°í ÀÖÀ¸¸ç ±× È¿°ú´Â
ACE ¾ïÁ¦Á¦¿Í °°½À´Ï´Ù. ±×¹Û¿¡ Ç÷¼ÒÆÇ
ÀÀÁý ¾ïÁ¦Á¦, Ç×ÀÀ°íÁ¦ Åõ¿©°¡ µµ¿òÀÌ
µÉ °ÍÀ¸·Î ¿©°ÜÁö°í ÀÖ½À´Ï´Ù.
»ç±¸Ã¼
½Å¿°½Ã °íÇ÷¾ÐÀÌ ³ªÅ¸³ª¸é »ç±¸Ã¼ °æÈÁõÀ¸·ÎÀÇ
ÁøÇàÀÌ »¡¶óÁö¹Ç·Î °íÇ÷¾ÐÀ» 125/75 mmHg
Á¤µµ·Î öÀúÈ÷ Ä¡·áÇÔÀÌ Áß¿äÇϸç ACE
¾ïÁ¦Á¦³ª Ä®½· ±æÇ×Á¦°¡ ÃßõµÇ°í ÀÖ½À´Ï´Ù.
¶ÇÇÑ ºÎÁ¾Àº À̸¦ Àû´çÇÑ ¾çÀÇ ÀÌ´¢Á¦¸¦
»ç¿ëÇÏ¿© Á¶ÀýÇÏ¸é ºÎÁ¾°ú Ç÷¾Ð Á¶Àý¿¡
µµ¿òÀÌ µË´Ï´Ù. ½ÄÀÌ¿ä¹ýÀº ºÎÁ¾ ¶§¹®¿¡
½Ì°Ì°Ô µé¾î¾ß Çϸç, Àú´Ü¹é ½ÄÀÌ¿ä¹ýÀº
½Å±â´É ÀúÇϸ¦ ´õµð°Ô ÇÏ´Â Áß¿äÇÑ Ã³Ä¡¿¡
¼ÓÇÕ´Ï´Ù. ´Ü¹é ¼·Ãë·®À» 1ÀÏ Ã¼Áß Kg´ç
0.6-1.0gÀ¸·Î ÁÙÀÌµÇ µ¿¹°¼º (»ì°í±â,
´Þ°¿ÈòÀÚ, »ý¼±)À¸·Î Çϸé ÁÁ½À´Ï´Ù. °íÁöÁúÇ÷ÁõÀÌ
Áö¼ÓµÇ¸é ½ÄÀÌ¿ä¹ý°ú ÁöÁú°ÇÏÁ¦·Î Á¶ÀýÇÏ¿©¾ß
ÇÕ´Ï´Ù.
|