| include ("../../include/busok_leftmenu03.php"); ?> |
|
| HOME > /ǷҰ > /Ƿ |
 |
| |
 |
| |
|
| |
|
|
| |
|
|
| |
|
|
| |
̶? |
|
ó : ȯ⳻ - ȭ : 2004.03.11 Է: 2004.03.11 |
| |
|
|
̶? ϴ ̿ ϴ ̴ ̶ 帣 а ٰ ֽϴ. ÿ Ÿ , Ȯ ÿ Ÿ Ȯ ̶ ϴµ, 120/ 80mmHg ǥϸ, 120 , 80 Ȯ Ÿϴ. ǿ ϴ 140mmHg̻̰ų ̿ϱ 90mmHg̻ 츦 մϴ.
ϴ°? ü 90% ̻ ϴ ¼ Ȯ ٸ 쿡 Ѵٴ ڡ ˷ ִµ, ڳ ұ Ȱ , , Ʈ, , , ȯ, մϴ. ¼ а ̳ к ȯ Ǿ ϴ ˷ 2 ü 10% ϸ ſ ų, 䰡 ְų, װ ᵵ ȿ ٰų, ̳ ɿ 쿡 ǽ մϴ.
? Ϲ ѷ Ư¡̸, ϰ ƴմϴ. ټ ȯڵ ϰ Ȱϴ ȯ(dz)̳ ɱٰ ɰ պ Ͽ Կϰ Ǿ ڽ ־ ˰ Ǵ 찡 ϴ. ̷ ħ ڡ θϴ. 30 ̻ 1~2 ѹ ϴ ̿ Դϴ. п պ ϱ ü ȣϴ Ӹ ϴ١, ١, Ƿ ١ Ư Ϲ̸, պ Ŀ ɺ ١ Ǵ ״´١ ȣϰ ̳ ɱٰ ١ ȣϸ ȯ պ ȴٸ ١ Ǵ ١ ȣϰų , , ǽֵ Ư ȣϰ ˴ϴ.
ġ ϴ°? ġ ʰ ġϸ ưȭ Ǿ ̿ , ɱٰ, Űȭ ź ÷¼սǰ ü ߿ ġ պ Ͽ ȸȰ ư ϸ ϰ ˴ϴ. п ġ պ ȯ 30% ֽϴ. պ Ͽ 캸ڽϴ.
1) dz̶ ϴ ϴ ϴ 츮 ü 1 ϰ ֽϴ. ڱ Ͽ ݽŸ ȥ ɰ Ű ġḦ ص ȣ ʴ 찡 Ƿ ö а ϴ ġ̶ ְڽϴ.
2) ȯ Կ 츮 ƿ ưȭ Ǿ ν ѵǾ ٰ ų ϴ ưȭ 鼭 ״ ɱٰ ȯ ̿ ϸ ȯڿ ο 3 Ѵٰ ˷ ֽϴ
3)ź 鸸 ̻ 籸ü ٹ߷ Ǹ 籸ü ϰ ʿ ٽ ϴ ϰ ˴ϴ. Ⱓ ӵǸ 籸ü ϴ ջǾ 籸ü ȭ ϰ ᱹ ϵǾ ź ֽϴ. п ؼ ϵǸ , ° ϰ Һ Ͽ ź Ǹ ƾߐ ְ ˴ϴ.
4) ջް ÷ սǵǰ ÷¼ս ִ պԴϴ.
5)ɺ ɺ ġ ʰ ġϸ з 鼭 ϰ Ǿ ɺ밡 ϰ Ŀ ϵǸ鼭 Ŀ ʿ ϴ ɺ ˴ϴ. ̷ ɺ ο Ͽ ȯڿ 4 ȴٰ ˷ , ״ ü Ȱ ȣ ȣϰ ˴ϴ.
ΰ?
ڽ ݵ 湮Ͽ ڽ л¸ Ȯϰ ľϴ ߿մϴ. Ϸ ߿ ÷ ϱ ¿(5 ̻ ɾƼ) 2ȸ ̻ ġ Ǵϰ ˴ϴ. ⸸ ϸ µǴ 쳪 ϴ Ǵ ϴ о ȵ Ȯ Ͽ 24ð ϴ ϴ. ù 湮 Ḧ մϴ.
1) пܿ ưȭ Ű ٸ ȯ ݵǾ ִ ˾ƺϴ.
켱 û븦 ° » п ȯ ִ Ȯϰ Ǹ Ű εѷ Ͽ θ Ȯϸ ˻縦 Ͽ 索 Ȯϸ ˻縦 Ͽ 氣 ջ ִ ˾ƺϴ.
2) п պ ݵǾ ִ Ȯմϴ.
ɼ Ͽ û븦 Ͽ չ Ͻ ְų ݺ ־ , , չ ° ̻ ӵ ִ ˾ƺ ȯ ɼ ǴܵǴ MRI˻ MRԿ ϰ ˴ϴ. Ǵϱ Ͽ Ȱų ̵ ִ Ȯϸ, ǽɵǴ ϸ ˻縦 ϸ ̳ ˻ ˻縦 ϰ ˴ϴ. ֱٿ CT Կ ְ Ǿ ǽɵǴ 쿡 ȯڵ ϰ ȯ Ȯϰ ֽϴ. ɺ Ұ Ȯϱ ؼ ϸ ɺ Ȯϱ ؼ ɺ Ұ ˱ X ˻縦 ϰ Ȯϱ ˻縦 մϴ. ջ Ȯϱ ˻縦 Ͽ ũƼ ġ ϸ ˻縦 Ͽ ܹ Ȯϸ ˻縦 Ͽ ź ̴ Ұߵ Ȯϰ ˴ϴ. |
|
|
|
| |
|
|
| |
ȯ
|
|
ó : ȯ⳻ - ǻ : 2004.06.23 Է: 2004.06.23 |
| |
|
|
#. ɱ̶ٰ ?
- ⱸ 뵿ƿ ̶ ϸ (ɱ) ȴ. ¸ Ȱ ϱ Ͽ ȯŰ ü ̳ ҳ Ҹ ƾ ϹǷ װ ſ ߿ϴ. ο ǰ ϰ Ǹ ɱ ¿ ̸ Ǵµ ̷ ȯ ̶ Ѵ.
ƿ ưȭ ǰ ̿ Ͽ ü, ưȭ öũ Ŀ̳ ־ Ϻΰ , ɱټ ܵǾ ( ) Ű ɱ̶ٰ մϴ. ۺ а, 帶 縦 ʷ ɼ ϴ. ȯ ȯ 50-70% ź ϰ ִ ȭǾ ̰, 15-20% ϴ ִµ ̴ ַ 索 ȯڳ , ε Ÿ ִ.
#. ɱٰ ? - 漺 Ǵ ȭ̴, ߸ ̷ ħ ϰ ǰ ӵǸ ڲ Ǯ ó ϴ ħ ܴ Į ȴ. ̷ ǰ ɱٿ Ǵ Ͽ, 䱸 Ȳ Ұ ɱ Ÿ ȴ.
ɱ , ִ ưȭ ջ ް ǰ ӿ ִ ǰ ̿ پ Ƕ̶ Ҹ ϰ Ǹ ɱ װ Ǿ ɱ 翡 ̸ ȴ.
ɱٰ Ǵ ưȭ ݵǴµ, ӵ ־ , , , 索 ȴ. , , ݷ ưȭ 3 ڶ ϸ ̷ 3 ̿ܿ ռ 索, , , Ʈ ưȭ Ų.
ۿ ü ̳, ƿ, 뵿 Ǹ ȯ ȯ ִ.
#. ɱٰ
- ũ Ҿ 2 ִ. 쿡 հ Ѱ Ȥ ȣϴ 찡 ȯڴ ̰ йϴ 谨, ̴ , ſ, , ¥ , Į Ȥ , ǥѴ. Ȥ , , , , , ް ĵǸ, δ ȣ, Ƿΰ, , ǽ ȣϴ 쵵 ִ. ̷ Ȱ üȰ, , Ļ , ۽ ( ҿ ߿ ̵ ), 踦 ǿ ƹڼ ϰų л 쿡 Ÿ ȴ. ̶ Ÿ Ͻ(2-15)̾ ϸ 3-5 , Ʈα۸ ϸ 밳 1 ̳ ɴ´. 20 30 ̻ ӵǴ , ӽð 5 ̳̰ų, ȣ , ϴ , ҵǴ , ̳ ҵǴ , 2cm , ؾ ̴. Ҿ ı ϳ ɱٰ ̿ ġѴ. ɱٰ ȯ 30-60% Կ Ҿ Ѵ. ÿ ϰ, ӵǰų Ƚ Ʈα۸ ϴ 츦 Ѵ.
ٸ ִµ ̴ Ȥ ̸ ħ ȣϰ ǰ Ʈα۸ Į .
ɱٰ ϳ 30 ̻ ξ Ÿµ, ̸鼭 ϰ Ÿ Ǵ ٰ ϸ ġ ϴ Ȳ ǥȴ. Ȱ üȰ, , Ļ , ۽ ( ҿ ߿ ̵ ), 踦 ǿ ƹڼ ϰų л 쿡 Ÿ Ǹ ӽð 30 ̻ ӵȴ. ̶ Ʈα۸ ؿ ־Ƶ ʴ´. ̳ , ̱ Ͽ ǰ ʿϴ. Ư 索 ΰ ִ ȯڿ ߺϱ ϹǷ ʾ 찡 .
#. ɱٰ
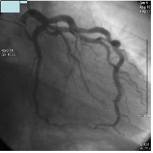
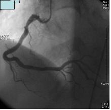
ɱٰ ȯ 밳 ܰ ġḦ Ѵ. ϴ ݺǸ Ǹ ã ϰ ˻縦 ƾ Ѵ. ⺻ ˻δ ݷ ˻, ɱȿ ˻ ִ. Ư ̵ ˻縦 ı ϴ ſ ߿ϴ. Ҿ ɱȿ ġ ST δٸ ST ɱٰ ﰢ ʿϴ. ɱȿ ġ ST ST ɱٰ̳ Ҿ ﰢ Կ ġᰡ ݵ ʿϴ.
ǽɵ ˻, 24ð Holter ˻, (Ȥ ) ˻, ˻ ̿Ͽ ϰ ȴ. ֱٿ CT˻縦 3 ̰ ִ.
 
- CT -
Ȯ ˻ Ÿ Ȥ ȸ ̿Ͽ úα ġŰ Ͽ , Ȯϴ ̴.
  - -
#. ɱٰ ġ - ȯ ġῡ , Ϲݿ, , ü ִ. ưȭ ų ִ ġῡ ݵ ݵǾ Ѵ. Բ ǥ ü ϵ ϰ, ڴ ݵ 踦 Ѵ. ΰ Ͽ 帶 30-40 ˷ ִ. . 索. ̵ ȯ ġ ȯ ġ 濡 ſ ߿ϴ. ݷ δ ¡, Ұ, , , 븥, , ǥ̸ ̵ 븦 ϰ Ĺ⸧ , , ⸧ ȭ 븦 ø ٶϴ.
Ϲ . ù°, ü Ȱ ϸ ־ ȯڰ Ҿ ϹǷ Ͽ ϵ Ѵ. ħ. ȭ Ƿ ħ̳ Ļ Ŀ ӵ ٵ, 2ð ̻ ¿ Ѵ.
δ 꿰, Ÿ-Ƶ巹 ü , Į, ƽǸ ִ. ﰢ ʿ ɱٰ ִ. ð ߿ѵ 2ð 3ð ̳ ȿ ݵ ݱ ִ Ȯϰ ϴ ߿ϴ.
üġ Ÿ Ȥ ո Ͽ dz dz Ȯ κ а ϴ Ȯ (Ʈ) ־ ְ ϴ Ʈ Լ Ѵ. ̴ Ͽ ϴ ġῡ 밡 ʿ 밳 üð 1~2ð ̸̳ Ư ݼӸ ߵ ġ ſ ֱ θ Ǵ ġ̴.

üġ ذ ȯ Ͽ ų ̽ϴ ƿȸ ؾ Ѵ.
ȯ ġĢ 캸 켱 ġḦ ϰ Ȯ˻ ߰ߵ ݼӸ Լ Ѵ. ı ϰ Ȯ ؾ ϸ Ư ɱٰ ִ Ȥ Ȯ ݼӸ Լ Ѿ Ѵ.
|
|
|
|
| |
|
|
| |
Ǹȯ̶?
|
|
ó : ȯ⳻ - ǻ : 2004.07.14 Է: 2004.07.14 |
| |
|
|
1. Ǹ
ΰ Ǹ ũ 2 з ִµ 뵿Ǹ̳ ɳ Ͽ Ǹ
pyloric carbon Ư ݼ ̿ Ǹ ִ.
谡 и 4 (ɹ, ɽ, ½ɹ, ½ɽ) Ǿ ֽϴ. ɹ ü ̰, ɽ Դϴ. 忡 4 Ǹ(õŸ, Ǹ, ¸Ǹ, 뵿Ǹ) ֽϴ. Ǹ ɹ ɽ , ɽǰ ū (, 뵿) ̿ ν θ 帣 Ͼ ʰ մϴ. Ǹ Ƽ 带 ϸ ˴ϴ. ̷ 4 Ǹ ϴ ȯ Ǹȯ̶ θϴ. Ǹȯ Ǹ , ϴ 츦 ̶ ϰ ݴ ʾ ǰ ϴ 츦 ̶ մϴ. Ϻο ϳ Ǹ Ÿ մϴ.
)
õǸ-ɹ ɽ Ǹ; Ǹ-ɽǰ Ǹ; ¸Ǹ-½ɹ ½ɽ Ǹ; 뵿Ǹ-½ɽǰ 뵿 Ǹ
Ǹȯ Ŭ ȣ, Ƿ, αٰŸ ȣϴ ȯڵ鿡 Ǹȯ ϰ, Ǹȯ ġħ ϰ, ġ, ġ, Ǹ ġȯ ġḦ Ǹȯ ȯڵ ü ϰ ֽϴ.
2. Ǹ ȯ
Ǹ ȯ ũ ֽϴ.
ù°, Ƽ Ǹ ȯ Ƽ Ǹ ջ Ÿ ϴ Դϴ. ǥ ¸Ǹ ̸ Ư ϴ.
°, ༺ Ǹ ȯ Ǹ з ¸Ǹ δ밡 þų ĿǾ ¸Ǹ ֽϴ. Ǹ ȸȭ Ǿ ϱ մϴ.
°, õ Ǹ ȯ ο ̿ 뵿Ǹ ϴٰ 40-60 Ǹ ȸȭǾ Ǵ Ϲ̸ Ϻο 20-40 ɿ Ǹ Ÿ մϴ.
̿ܿ ȯ Һи 뵿 ٺΰ 뵿Ǹ ɳ Ǹ ջ ֽϴ.
3. Ǹȯ
Ǹȯ ϱ κ Ÿ Ƿ ϴ Ÿ ġؾ ϴ 찡 κԴϴ.
1) Ƿΰ
2) ȣ - ʱ ÿ Ÿ, Ǹȯ ϵǸ ݸ ƹ ȣ Ͼ ˴ϴ.
3) ƹ ұĢ
4)
5) ǽ
6)
4. Ǹȯ
˻翡 ռ ȯ , Ƿκ ü ˻ Ұ ſ ߿մϴ.
1) ˻ - ˻ Ŀ غ ʿ ˻μ , , 뵿 ̻ Ȯ ִ ⺻ ˻Դϴ.
2) - ϴµ ̸ ü鿡 ϴ Դϴ. ˻ , ȯ Ǵ ִ ⺻ ˻Դϴ.
3) - Ǹȯ ǽɵǸ Ȯ Ȯ ̻ Ȯϱ ˻縦 մϴ. ˻ ȯڿ ϰ , Ǹȯ Ȯ ־ Ǹȯ ܰ ġῡ ־ ߿ ˻Դϴ.
4) ĵ - κ Ǹ ˻ϴ ˻ , ˻ ʴ κ ϱ ؼ ð ĵ ϴ ĵ ˻縦 ϱ մϴ.
5) ϰ˻ - ȯڷ Ͽ ϰų, Ÿ̶ Ͽ а ȭ ȭ մϴ. ܰ ȯ ɷ ϱ ؼ ϴ ˻Դϴ.
6) 24ð Ȱ - ϻ Ȱ ȭ ȮϿ ư õ ȯ ϴ ˻ Դϴ.
7) CT, MRI - ǻ Կ 뵿 , ֱٿ ȯ ϰ ֽϴ.
8) ɵ ˻ - Ư ٶ ̳ Ͽ 峻 ġ ϴ ˻ κ з° Ǹ ȯ ڼ Ȯ ֽϴ.
5. Ǹȯ ġ
1) ġ
Ǹȯ ġ Ǹ ջ δ ٿְ, ȣŰ Դϴ. ȯ ʱ ġḸε , ȯ Ǿ ñ ü̳ ʿմϴ. Ƿ 湮Ͽ ȯ Ͽ մϴ.
2)
¸ ½ɹ濡 , ȸȭ Ǹ ջ dz ī ¸Ǹ ̿ ġŲ dz â Ͼ ¸Ǹ ֽϴ. ̸ ¸Ǹ ̶ մϴ.
3) Ǹ
Ǹ Ͽ ϸ üܼȯ Ưġ ʿմϴ. մϴ. Ǹ ũ ڽ Ǹ ϴ Ǹ ΰǸ üϴ Ǹġȯ , ÿ ̰ ֽϴ.
6. Ǹȯ
Ǹȯ ȯڵ Ǵ ſ ȯڷ ѵ˴ϴ. κ ȯڴ ġḦ ް Ǵµ ̷ ġ ǻ ؼ Ǹ Ͽ ɺ ʵ ϴ ߿մϴ. ó ǻ Ǹ ϸ Ǹ ȭ ɷ ɰ ư ߰ պ ȿ ֽϴ.
|
|
|
|
| |
|
|
| |
ɺ |
|
| |
|
|
| |
|
|
| |
 |
|
| |
|
|
| |
|
|
| |
 |
|
ó : ȯ⳻ - : 2004.10.06 Է: 2004.10.06 |
| |
|
|
ݷ̶ ΰ?
κ ó ݷѿ Ͽ Ǵ ݷ
̳ ƿ ġ Ͽ غ
ϴ. ǻ簡 ݷġ ʹ Ƿ
̳̿ Ҿ ġ ؾ ʿ䰡 ִٰ
쵵 ־ Դϴ.
()
ݷ ϳμ,
鿡 ġ ֽϴ. , ݷ Ǵ װ
忡 ġ ϱ ,
ǻ ̳ ؾ Ͽ ϰ
Դϴ.
ེԵ
̷ ġᰡ µ, ̿ п
ǻ簡 óϴ ֽ Ե˴ϴ.
ϱ , ݷ ۿ ϴ
˾Ƶξ մϴ.
ݷѰ
װ ü ġ ϰ ̸, ٸ
ݷ ߸ ġϴ ˰ Դϴ
ô
ݷ̶
ΰ?
߿
з ݷ ֽϴ. ݷ
ü ж μ 츮 ʿϸ,
װ ʿ ݵ˴ϴ.
ݷ
°?
ݷ Ϻδ 츮 ϴ
, , ġ , κ
츮 ϴ. ݷ LDL
츮 ϴ մϴ.
,
̿ ϴ Ĺ ̴ ſ ߿ѵ,
װ ȭ ϸ ݷ DZ Դϴ.
߿ ݷ ʹ ϰ ,
ݷ üǾ ų ֽϵ
ȭ̶
̸, ߿Ѱ?
· ˴ϴ.
ȭ , , ġ ַ Ĺ
Ϻδ ڳ̳ Ĺ ⸧ Ǿ
ֽϴ. ȭ ϸ ߿ ʹ LDL ݷ
˴ϴ. , ȭ ǰ ˾Ƶΰ װ
ϴ ݷ ġ ߸ ſ ߿մϴ.
()
ݷ Ѱ?
մϴ. ݷ
ġ 5.2mmol/L(200mg/dl)̸̻ ȯ 輺 Ŀ
˴ϴ. 鸸 ݷ ġ
ֽϴ. () ݷ иŭ̳ Դϴ.
LDL
ݷ ۰?
ʹ LDL ݷ
ְ Ǹ װ "ö(Plaque)" ϴ
ϴ. ᱹ, ȿ dz
Ҹ 帧 Ե˴ϴ. , "öװ
ƿ , Ҹ ѱ Ǿ ᱹ
Ű ˴ϴ. öװ
Ͼ Դϴ. ȯ ɰ Դϴ.
ݷ ϰ Ǹ, ̳
ִ ȯ ɸ Ȯ ϴ.
ݷ
ִٴ ǹϴ°?
ݷ ġ ٰ
ؼ ٴ ǹ ʽϴ. ɸ
ִ ° ִٴ ǹմϴ. ݷ
ѷ ġ ̳ ߰ ʷϰ
˴ϴ.
ݷ
ġϱ ؾ ϳ?
˸
ġ ٸ ֽϴ. ̳̿
Ͽ ݷ ֽϴ. ݷ
ģ ߿ ̳ ̿ε װ
ǵ ֽϴ.
̳ ̿ ġῡ ߿ ǻ缱
ġᵵ ؾ Ѵٰ մϴ. ݷ
ȯڵ ϰ սϴ.
Ʒ
, ݷ پ Ǿ
ֽϴ. ݷ
ִ ȸ ñ ٶϴ.
ô
̿
ݷ ϱ Ͽ, ݷ ġ
ġ ͵鿡 Ͽ ô. , ݷ
ġ ߴ ʿ ȹ ô.
Ģ
HDL̶ Ҹ "" ݷ ݴϴ.
HDL LDL ִ ϴ. LDLݷ ٷ
"ö" ݷ̶
Ͻʽÿ.
嵵 ϳ ̶ δ ͵ ߿մϴ. ,
ٸ 嵵 Ȱ ؾ մϴ. ó
ǰ ϱ ߿մϴ. Ͽ ˸´
α ǻ翡 . Ϲ ǰϰ
ϴ 1ȸ 30о 4~5ȸ Դϴ.
ó մϴ. ΰŸ
ãƳϴ. ϰ ϽŴٸ α
Ͻ ֽϴ
*
Ѱ ٴ پ غ
* ʹ ڱ
* ٵ !
α ϰ ǥ LDL ݷ ġ ٰ
ô.
ü ؾ , Ŭ
ġ ߱ Ͽ Ư ߿մϴ. ü ̴
Ӹ ƴ϶, ȯ ҽŰ
ũ մϴ. ϴ , а Ȼ
Դϴ.
ϻȰ
Ȱ
- ϰų ̿ϴ ſ
ɾ ٴ . ȱ ū ̸ ϰ
ֽϴ.
- ͳ ÷ ſ
. ܿ ü Ǹ, ̳ʸ Ű ݴϴ.
-
ûҳ ܵ, پ 巧
ϵ Ȱ⸦ ݴϴ.
̿
¦
̶ Դϴ. Ļ ݷ
ġ ȯ ŵϴ.
ǰĿ
Ͽ Ѱ ؾ , Ư ȭ ϶
Դϴ. װ ܼ ' ݷ' Ļ縦 ǹϴ
ƴ϶, ̶ Դϴ.
: ʽ
Ļ翡 ̸ :
-
ü ֽϴ.
- ݷ ġ
ֽϴ.
ǰ :
, ż , ä, , ߰
ǰ :
ϰ ä, , ݷ ,
, , 꽺, , Ʈ, 䱸Ʈ
ܽ
̰ų ϰ Ƣ
.
巹 .
ġ ü丮
.
ҽ û .
ô
ݷ
߿ ̿ δ 찡
ֽϴ. ̶ ߰ؾ մϴ.
ݷ
ߴ ۿմϴ.
ۿ ϴ.
*
츮 LDL ϴ.
* 츮 ݷ
ȭ ȯŵϴ.
ؾ
, հ ġϵ
ݷ ġϴ ƴ϶ ݷġ ϴ
谡 ȴٴ Դϴ.
''̶
ǹϴ°?
Ȱ ٰ ÷ ٲ ʽϴ.
Ȱ 繰 Ȱ
ֽϴ. ݷ ϴ ͵ Դϴ.
ϴ ݷ Ǹ, Ȱ Ȱ
ְ ˴ϴ
Ʒ ϽŴٸ ȯ
ִٴ Ͻʽÿ.
* Ұ
*
ݷ
* ü
*
ִ α ã
* 踦
ǻ翡
ȯ ִ Ͻʽÿ
ູ
ʱ
* ϱ ؼ ð踦
̿ϴ ͺ Ļ糪 ħ ϻ ̿Ͻʽÿ.
*
̸鼭 ִ Ͻʽÿ.
*
繫̳ Ǵ 濡 Ͻʽÿ.(翡
˸ ິ )
* ɶ ǻ縦
ãʽÿ.
Q :
ݷ̶ Դϱ?
A : ݷ 漺
츮 ʼ Դϴ.
ݷ ʹ ݷ
'ö' , ̰ ᱹ ˴ϴ. ̰
ħϸ ϰ Ǿ
ֽϴ.
Q :
ݷ ġ ؾ մϱ?
A :
ݷ ٰ ܵǸ, ̳̿ Ͽ Ȱ
ٲν װ ֽϴ. ǻ Ͽ
˸ ̿ α õ ֽϴ.
Q : ݷ
ϱ?
A :츮 κ ݷ
ϴ. , 츮 ҷ ݷ κ
Դϴ. 븥ڳ ٷ ݷ Ǿ
, ä, ǰ ݷ
ֽϴ
Q :
ݷ·̶ Դϱ?
A : Ϲ ݷ
ġ 5.2mmol/L(200mg/dl) ̸̻ ݷ̶,
ȯ 輺 ȴٰ մϴ.
Q :
ȭ ȭ ̶ Դϱ?
A : 츮 ϴ
Ĺ ȭ ȭ ϴ.
ȭ κ ڳ̳ ڵ Ĺ Ŀ
ְ, ȭ ַ Ŀ ϴ.
, , Ϳ ġԴϴ. ݷ ġ ߰ Ѵٸ
̷ ǰ ؾ մϴ. ǰ ȭ
ϰ Ƿ ؾ մϴ.
Q :
ǰ ؾ ϰ ؾ մϱ?
A :
ݷ ġ ߰ Ѵٸ ǰ, , ⸧ ,
ǰ 븦 ٿ մϴ. , ż , ä,
, ߰ ݷ ϴ.
, ̿δ ݷ ġ ߱ 쵵
ֽϴ. ̷ 쿡 ġǴ ̸ ߱
óϱ մϴ.
Q : ݷ
ȯ Ű Դϱ?
A : ƴմϴ.
̳ , , , ȯ Ű
ڷ ֵǰ ֽϴ. |
|
|
|
| |
|
|
| |
ȯ |
|
| |
|
|
|
|
|
|
|
| |
include ("../../include/busok_foot.php"); ?> |